Pulmonary Thromboendarterectomy in a Jehovah's Witness Patient, Case Report.

IF 1.3 Q3 ANESTHESIOLOGY
Annals of Cardiac Anaesthesia Pub Date : 2025-07-01 Epub Date: 2025-07-08 DOI:10.4103/aca.aca_208_24
Luz J Pacheco Leal, Fabio A Garcia Salamanca, Julián M Parada, Gianmarco Camelo Pardo, Edgar F Manrique-Hernandez
{"title":"Pulmonary Thromboendarterectomy in a Jehovah's Witness Patient, Case Report.","authors":"Luz J Pacheco Leal, Fabio A Garcia Salamanca, Julián M Parada, Gianmarco Camelo Pardo, Edgar F Manrique-Hernandez","doi":"10.4103/aca.aca_208_24","DOIUrl":null,"url":null,"abstract":"<p><strong>Abstract: </strong>This study describes the perioperative management of a 68-year-old Jehovah's Witness patient with chronic pulmonary thromboembolism, multiple comorbidities, and undergoing pulmonary thromboendarterectomy. The patient had a satisfactory perioperative evolution, demonstrating the feasibility of this complex procedure in this population with a comprehensive and timely approach, complemented by an evaluation from a multidisciplinary team.</p>","PeriodicalId":7997,"journal":{"name":"Annals of Cardiac Anaesthesia","volume":"28 3","pages":"321-324"},"PeriodicalIF":1.3000,"publicationDate":"2025-07-01","publicationTypes":"Journal Article","fieldsOfStudy":null,"isOpenAccess":false,"openAccessPdf":"https://www.ncbi.nlm.nih.gov/pmc/articles/PMC12324745/pdf/","citationCount":"0","resultStr":null,"platform":"Semanticscholar","paperid":null,"PeriodicalName":"Annals of Cardiac Anaesthesia","FirstCategoryId":"1085","ListUrlMain":"https://doi.org/10.4103/aca.aca_208_24","RegionNum":0,"RegionCategory":null,"ArticlePicture":[],"TitleCN":null,"AbstractTextCN":null,"PMCID":null,"EPubDate":"2025/7/8 0:00:00","PubModel":"Epub","JCR":"Q3","JCRName":"ANESTHESIOLOGY","Score":null,"Total":0}
引用次数: 0

Abstract

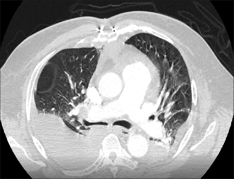
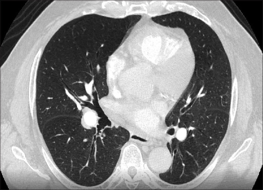
Abstract: This study describes the perioperative management of a 68-year-old Jehovah's Witness patient with chronic pulmonary thromboembolism, multiple comorbidities, and undergoing pulmonary thromboendarterectomy. The patient had a satisfactory perioperative evolution, demonstrating the feasibility of this complex procedure in this population with a comprehensive and timely approach, complemented by an evaluation from a multidisciplinary team.

Abstract Image

Abstract Image

Abstract Image

​患者围手术期进展令人满意,证明了该复杂手术在该人群中采用全面及时的方法的可行性,并辅以多学科团队的评估。
本文章由计算机程序翻译,如有差异,请以英文原文为准。
求助全文
约1分钟内获得全文 求助全文
来源期刊
CiteScore
1.60
自引率
0.00%
发文量
147
审稿时长
26 weeks
期刊介绍: Annals of Cardiac Anaesthesia (ACA) is the official journal of the Indian Association of Cardiovascular Thoracic Anaesthesiologists. The journal is indexed with PubMed/MEDLINE, Excerpta Medica/EMBASE, IndMed and MedInd. The journal’s full text is online at www.annals.in. With the aim of faster and better dissemination of knowledge, we will be publishing articles ‘Ahead of Print’ immediately on acceptance. In addition, the journal would allow free access (Open Access) to its contents, which is likely to attract more readers and citations to articles published in ACA. Authors do not have to pay for submission, processing or publication of articles in ACA.
×
引用
GB/T 7714-2015
复制
MLA
复制
APA
复制
导出至
BibTeX EndNote RefMan NoteFirst NoteExpress
×
提示
您的信息不完整,为了账户安全,请先补充。
现在去补充
×
提示
您因"违规操作"
具体请查看互助需知
我知道了
×
提示
确定
请完成安全验证×
copy
已复制链接
快去分享给好友吧!
我知道了
右上角分享
点击右上角分享
0
联系我们:info@booksci.cn Book学术提供免费学术资源搜索服务,方便国内外学者检索中英文文献。致力于提供最便捷和优质的服务体验。 Copyright © 2023 布克学术 All rights reserved.
京ICP备2023020795号-1
ghs 京公网安备 11010802042870号
Book学术文献互助
Book学术文献互助群
群 号:604180095
Book学术官方微信