Clinical and radiologic outcomes and complications of unilateral S2AI screw fixation in adult spinal deformity surgery: a retrospective cohort study.

Q1 Medicine
Journal of spine surgery Pub Date : 2025-06-27 Epub Date: 2025-06-19 DOI:10.21037/jss-24-172
Koopong Siribumrungwong, Jackapol Kamolpak, Sansern Satthanan, Bunyaporn Wuttiworawanit, Punnawit Pinitchanon, Thongchai Suntharapa
{"title":"Clinical and radiologic outcomes and complications of unilateral S2AI screw fixation in adult spinal deformity surgery: a retrospective cohort study.","authors":"Koopong Siribumrungwong, Jackapol Kamolpak, Sansern Satthanan, Bunyaporn Wuttiworawanit, Punnawit Pinitchanon, Thongchai Suntharapa","doi":"10.21037/jss-24-172","DOIUrl":null,"url":null,"abstract":"<p><strong>Background: </strong>Adult spinal deformity (ASD) poses challenges in achieving optimal spinal alignment, often necessitating rigid lumbosacral fixation. Traditional iliac screw instrumentation has limitations, such as prominent screws, which has led to the exploration of alternative techniques, including sacral-alar-iliac (S2AI) screws. However, S2AI screws have been associated with significant sacroiliac joint pain, as the screw trajectory passes through the normal sacroiliac joint. This study evaluates the feasibility, outcomes, and complications of unilateral S2AI screw fixation in ASD surgery.</p><p><strong>Methods: </strong>A retrospective review of 80 consecutive ASD patients undergoing unilateral S2AI screw fixation was conducted. This study included patients with a mild-to-moderate sagittal deformity, spine flexibility and a normal pelvic incidence who received unilateral lumbopelvic fixation with an S2AI screw. Clinical and radiographic data were analyzed, including pre- and postoperative measurements, complications, and patient-reported outcomes.</p><p><strong>Results: </strong>Among the 80 patients, 72 (90%) were women and the mean age was 68.7±6.7 years. Postoperative radiographic improvements were substantial. Complications included screw loosening, proximal junctional kyphosis, infection, S2AI screw-related pain and rod breakage. The overall complication rate was 21%, and the L5/S1 fusion rate at the 2-year follow-up was 95%.</p><p><strong>Conclusions: </strong>Unilateral S2AI screws appear effective for lumbopelvic fixation in patients with mild to moderate sagittal deformity, achieving outcomes comparable to bilateral fixation. The proposed patient categorization can guide surgical decision-making by aligning fixation methods with patient characteristics. Limitations include the retrospective design and small sample size, underscoring the need for further research to validate these findings and assess the comparative effectiveness of fixation techniques.</p>","PeriodicalId":17131,"journal":{"name":"Journal of spine surgery","volume":"11 2","pages":"286-295"},"PeriodicalIF":0.0000,"publicationDate":"2025-06-27","publicationTypes":"Journal Article","fieldsOfStudy":null,"isOpenAccess":false,"openAccessPdf":"https://www.ncbi.nlm.nih.gov/pmc/articles/PMC12226187/pdf/","citationCount":"0","resultStr":null,"platform":"Semanticscholar","paperid":null,"PeriodicalName":"Journal of spine surgery","FirstCategoryId":"1085","ListUrlMain":"https://doi.org/10.21037/jss-24-172","RegionNum":0,"RegionCategory":null,"ArticlePicture":[],"TitleCN":null,"AbstractTextCN":null,"PMCID":null,"EPubDate":"2025/6/19 0:00:00","PubModel":"Epub","JCR":"Q1","JCRName":"Medicine","Score":null,"Total":0}
引用次数: 0

Abstract

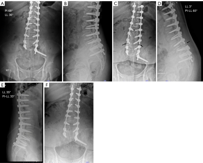
Background: Adult spinal deformity (ASD) poses challenges in achieving optimal spinal alignment, often necessitating rigid lumbosacral fixation. Traditional iliac screw instrumentation has limitations, such as prominent screws, which has led to the exploration of alternative techniques, including sacral-alar-iliac (S2AI) screws. However, S2AI screws have been associated with significant sacroiliac joint pain, as the screw trajectory passes through the normal sacroiliac joint. This study evaluates the feasibility, outcomes, and complications of unilateral S2AI screw fixation in ASD surgery.

Methods: A retrospective review of 80 consecutive ASD patients undergoing unilateral S2AI screw fixation was conducted. This study included patients with a mild-to-moderate sagittal deformity, spine flexibility and a normal pelvic incidence who received unilateral lumbopelvic fixation with an S2AI screw. Clinical and radiographic data were analyzed, including pre- and postoperative measurements, complications, and patient-reported outcomes.

Results: Among the 80 patients, 72 (90%) were women and the mean age was 68.7±6.7 years. Postoperative radiographic improvements were substantial. Complications included screw loosening, proximal junctional kyphosis, infection, S2AI screw-related pain and rod breakage. The overall complication rate was 21%, and the L5/S1 fusion rate at the 2-year follow-up was 95%.

Conclusions: Unilateral S2AI screws appear effective for lumbopelvic fixation in patients with mild to moderate sagittal deformity, achieving outcomes comparable to bilateral fixation. The proposed patient categorization can guide surgical decision-making by aligning fixation methods with patient characteristics. Limitations include the retrospective design and small sample size, underscoring the need for further research to validate these findings and assess the comparative effectiveness of fixation techniques.

Abstract Image

Abstract Image

Abstract Image

成人脊柱畸形手术单侧S2AI螺钉固定的临床和影像学结果及并发症:一项回顾性队列研究
背景:成人脊柱畸形(ASD)在实现最佳脊柱对齐方面提出了挑战,通常需要刚性腰骶固定。传统的髂骨螺钉内固定存在局限性,例如突出的螺钉,这导致了对替代技术的探索,包括骶骨-髂骨(S2AI)螺钉。然而,S2AI螺钉与明显的骶髂关节疼痛有关,因为螺钉轨迹穿过正常的骶髂关节。本研究评估单侧S2AI螺钉固定在ASD手术中的可行性、结果和并发症。方法:对80例连续行单侧S2AI螺钉固定的ASD患者进行回顾性分析。本研究纳入了轻度至中度矢状畸形、脊柱柔韧性和骨盆发生率正常的患者,这些患者接受单侧腰骨盆S2AI螺钉固定。分析临床和放射学数据,包括术前和术后测量、并发症和患者报告的结果。结果:80例患者中,女性72例(90%),平均年龄68.7±6.7岁。术后影像学改善显著。并发症包括螺钉松动、近端关节后凸、感染、S2AI螺钉相关疼痛和棒断裂。总并发症发生率为21%,2年随访时L5/S1融合率为95%。结论:单侧S2AI螺钉对轻度至中度矢状面畸形患者的腰骨盆固定有效,其效果与双侧固定相当。提出的患者分类可以根据患者的特点调整固定方法,从而指导手术决策。局限性包括回顾性设计和小样本量,强调需要进一步研究来验证这些发现并评估固定技术的相对有效性。
本文章由计算机程序翻译,如有差异,请以英文原文为准。
求助全文
约1分钟内获得全文 求助全文
来源期刊
Journal of spine surgery
Journal of spine surgery Medicine-Surgery
CiteScore
5.60
自引率
0.00%
发文量
24
×
引用
GB/T 7714-2015
复制
MLA
复制
APA
复制
导出至
BibTeX EndNote RefMan NoteFirst NoteExpress
×
提示
您的信息不完整,为了账户安全,请先补充。
现在去补充
×
提示
您因"违规操作"
具体请查看互助需知
我知道了
×
提示
确定
请完成安全验证×
copy
已复制链接
快去分享给好友吧!
我知道了
右上角分享
点击右上角分享
0
联系我们:info@booksci.cn Book学术提供免费学术资源搜索服务,方便国内外学者检索中英文文献。致力于提供最便捷和优质的服务体验。 Copyright © 2023 布克学术 All rights reserved.
京ICP备2023020795号-1
ghs 京公网安备 11010802042870号
Book学术文献互助
Book学术文献互助群
群 号:604180095
Book学术官方微信