A Rare Case of Mediastinal Seminoma with Granulomatous Features: Diagnostic and Therapeutic Considerations.

IF 0.7 Q4 SURGERY
Surgical Case Reports Pub Date : 2025-01-01 Epub Date: 2025-07-01 DOI:10.70352/scrj.cr.25-0091
Ryusei Yoshino, Nanami Ujiie, Shunsuke Yasuda, Yuki Kamikokura, Masahiro Kitada
{"title":"A Rare Case of Mediastinal Seminoma with Granulomatous Features: Diagnostic and Therapeutic Considerations.","authors":"Ryusei Yoshino, Nanami Ujiie, Shunsuke Yasuda, Yuki Kamikokura, Masahiro Kitada","doi":"10.70352/scrj.cr.25-0091","DOIUrl":null,"url":null,"abstract":"<p><strong>Introduction: </strong>Although seminomas typically arise in the testes, primary mediastinal seminomas are classified as extragonadal germ cell tumors. Diagnosis is often challenging and requires not only blood tests and imaging but also a tumor biopsy. However, diagnosis may be particularly difficult when the tumor shows nonspecific pathological features or is accompanied by granulomatous changes.</p><p><strong>Case presentation: </strong>The patient was a 25-year-old man who had been experiencing labored breathing when leaning forward for the past month. Physical examination revealed distended jugular veins and neck edema. Chest computed tomography revealed an irregular mass measuring 80 mm in the anterior mediastinum, suggesting invasion of the superior vena cava. Additionally, fluorodeoxyglucose-positron emission tomography showed high accumulation in the same area, with a maximum standardized uptake value of 11.3. A tumor biopsy was performed under thoracoscopic guidance for definitive diagnosis. Histopathological examination of the resected specimen revealed a seminoma with granulomatous changes. Based on these findings, a diagnosis of anterior mediastinal seminoma with superior vena cava syndrome was made. It was classified as having a good prognosis, and the patient received three courses of induction chemotherapy with etoposide, cisplatin, and ifosfamide. Complete remission was achieved. Since then, the patient has been monitored every 3 months, with no recurrence or metastasis observed for approximately 2 years.</p><p><strong>Conclusions: </strong>Immunohistochemical analysis plays a crucial role in the accurate diagnosis of mediastinal seminomas, especially in cases with unusual histological features such as granulomatous changes. Recognizing the immunoprofile of seminomas and differentiating them from thymomas and lymphomas is essential for avoiding diagnostic pitfalls.</p>","PeriodicalId":22096,"journal":{"name":"Surgical Case Reports","volume":"11 1","pages":""},"PeriodicalIF":0.7000,"publicationDate":"2025-01-01","publicationTypes":"Journal Article","fieldsOfStudy":null,"isOpenAccess":false,"openAccessPdf":"https://www.ncbi.nlm.nih.gov/pmc/articles/PMC12226142/pdf/","citationCount":"0","resultStr":null,"platform":"Semanticscholar","paperid":null,"PeriodicalName":"Surgical Case Reports","FirstCategoryId":"1085","ListUrlMain":"https://doi.org/10.70352/scrj.cr.25-0091","RegionNum":0,"RegionCategory":null,"ArticlePicture":[],"TitleCN":null,"AbstractTextCN":null,"PMCID":null,"EPubDate":"2025/7/1 0:00:00","PubModel":"Epub","JCR":"Q4","JCRName":"SURGERY","Score":null,"Total":0}
引用次数: 0

Abstract

Introduction: Although seminomas typically arise in the testes, primary mediastinal seminomas are classified as extragonadal germ cell tumors. Diagnosis is often challenging and requires not only blood tests and imaging but also a tumor biopsy. However, diagnosis may be particularly difficult when the tumor shows nonspecific pathological features or is accompanied by granulomatous changes.

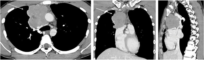
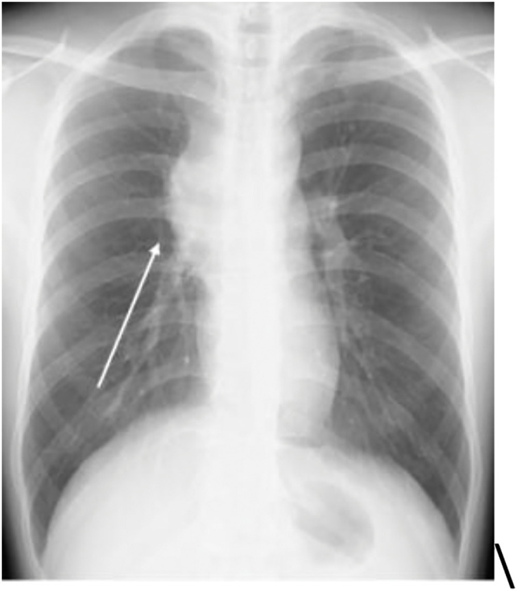
Case presentation: The patient was a 25-year-old man who had been experiencing labored breathing when leaning forward for the past month. Physical examination revealed distended jugular veins and neck edema. Chest computed tomography revealed an irregular mass measuring 80 mm in the anterior mediastinum, suggesting invasion of the superior vena cava. Additionally, fluorodeoxyglucose-positron emission tomography showed high accumulation in the same area, with a maximum standardized uptake value of 11.3. A tumor biopsy was performed under thoracoscopic guidance for definitive diagnosis. Histopathological examination of the resected specimen revealed a seminoma with granulomatous changes. Based on these findings, a diagnosis of anterior mediastinal seminoma with superior vena cava syndrome was made. It was classified as having a good prognosis, and the patient received three courses of induction chemotherapy with etoposide, cisplatin, and ifosfamide. Complete remission was achieved. Since then, the patient has been monitored every 3 months, with no recurrence or metastasis observed for approximately 2 years.

Conclusions: Immunohistochemical analysis plays a crucial role in the accurate diagnosis of mediastinal seminomas, especially in cases with unusual histological features such as granulomatous changes. Recognizing the immunoprofile of seminomas and differentiating them from thymomas and lymphomas is essential for avoiding diagnostic pitfalls.

Abstract Image

Abstract Image

Abstract Image

有肉芽肿特征的纵隔精原细胞瘤1例:诊断和治疗的考虑。
简介:虽然精原细胞瘤通常发生在睾丸,但原发性纵隔精原细胞瘤被归类为生殖道外生殖细胞瘤。诊断通常具有挑战性,不仅需要血液检查和影像学检查,还需要肿瘤活检。然而,当肿瘤表现出非特异性病理特征或伴有肉芽肿变化时,诊断可能特别困难。病例介绍:患者是一名25岁的男性,在过去的一个月里,当身体前倾时,他一直感到呼吸困难。体格检查发现颈静脉扩张及颈部水肿。胸部计算机断层扫描显示前纵隔有不规则肿块,直径约80毫米,提示上腔静脉侵犯。此外,氟脱氧葡萄糖-正电子发射断层扫描显示同一区域的高积聚,最大标准化摄取值为11.3。在胸腔镜指导下进行肿瘤活检以确定诊断。切除标本的组织病理学检查显示精原细胞瘤伴肉芽肿变化。基于这些发现,诊断为前纵隔精原细胞瘤合并上腔静脉综合征。归为预后良好,患者接受依托泊苷、顺铂、异环磷酰胺诱导化疗3个疗程。完全缓解。从那时起,患者每3个月监测一次,约2年未观察到复发或转移。结论:免疫组化分析对纵隔精原细胞瘤的准确诊断具有重要意义,特别是对具有肉芽肿性改变等异常组织学特征的病例。认识精原细胞瘤的免疫特征并将其与胸腺瘤和淋巴瘤区分开来对于避免诊断缺陷至关重要。
本文章由计算机程序翻译,如有差异,请以英文原文为准。
求助全文
约1分钟内获得全文 求助全文
来源期刊
自引率
0.00%
发文量
218
审稿时长
13 weeks
×
引用
GB/T 7714-2015
复制
MLA
复制
APA
复制
导出至
BibTeX EndNote RefMan NoteFirst NoteExpress
×
提示
您的信息不完整,为了账户安全,请先补充。
现在去补充
×
提示
您因"违规操作"
具体请查看互助需知
我知道了
×
提示
确定
请完成安全验证×
copy
已复制链接
快去分享给好友吧!
我知道了
右上角分享
点击右上角分享
0
联系我们:info@booksci.cn Book学术提供免费学术资源搜索服务,方便国内外学者检索中英文文献。致力于提供最便捷和优质的服务体验。 Copyright © 2023 布克学术 All rights reserved.
京ICP备2023020795号-1
ghs 京公网安备 11010802042870号
Book学术文献互助
Book学术文献互助群
群 号:604180095
Book学术官方微信