Rusty Pipe Syndrome: a Rare Syndrome During Breast Feeding-Our Experience.

Georgios Iatrakis, Stefanos Zervoudis, Panagiotis Eskitzis, Vasiliki Michou, Anisa Markja, Panagiotis Peitsidis, Aristidis Tzeferakos, Panagiotis Tsikouras
{"title":"Rusty Pipe Syndrome: a Rare Syndrome During Breast Feeding-Our Experience.","authors":"Georgios Iatrakis, Stefanos Zervoudis, Panagiotis Eskitzis, Vasiliki Michou, Anisa Markja, Panagiotis Peitsidis, Aristidis Tzeferakos, Panagiotis Tsikouras","doi":"10.5455/msm.2025.37.149-152","DOIUrl":null,"url":null,"abstract":"<p><strong>Background: </strong>The presence of blood in breast milk gives it a rusty or brownish color, which is referred to as \"Rusty Pipe Syndrome (RPS)\".</p><p><strong>Objective: </strong>This study presents case reports to raise awareness about RPS and examine differences from existing literature.</p><p><strong>Methods: </strong>Data from six cases with confirmed RPS were collected from Rea Maternity Hospital in Athens, Greece and Alexandroupolis General University Hospital in Alexandroupolis, Greece, from March 2020 until July 2024.</p><p><strong>Results: </strong>Six women aged 25 to 36, experienced RPS during breastfeeding. The majority of them had no previous birth history (83%), were primigravida (83%) and had bilateral presence of blood in the milk (67%), with symptoms appeared on the second postpartum day (50%).</p><p><strong>Conclusion: </strong>Based on extensive studies and literature reviews, RPS is generally considered a benign condition, typically presenting bilaterally. However, unilateral cases, such as those observed in our study, are rare.</p>","PeriodicalId":94128,"journal":{"name":"Materia socio-medica","volume":"37 2","pages":"149-152"},"PeriodicalIF":0.0000,"publicationDate":"2025-01-01","publicationTypes":"Journal Article","fieldsOfStudy":null,"isOpenAccess":false,"openAccessPdf":"https://www.ncbi.nlm.nih.gov/pmc/articles/PMC12212226/pdf/","citationCount":"0","resultStr":null,"platform":"Semanticscholar","paperid":null,"PeriodicalName":"Materia socio-medica","FirstCategoryId":"1085","ListUrlMain":"https://doi.org/10.5455/msm.2025.37.149-152","RegionNum":0,"RegionCategory":null,"ArticlePicture":[],"TitleCN":null,"AbstractTextCN":null,"PMCID":null,"EPubDate":"","PubModel":"","JCR":"","JCRName":"","Score":null,"Total":0}
引用次数: 0

Abstract

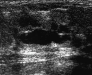
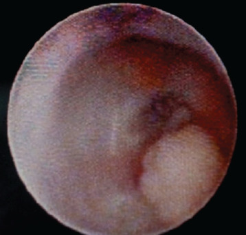
Background: The presence of blood in breast milk gives it a rusty or brownish color, which is referred to as "Rusty Pipe Syndrome (RPS)".

Objective: This study presents case reports to raise awareness about RPS and examine differences from existing literature.

Methods: Data from six cases with confirmed RPS were collected from Rea Maternity Hospital in Athens, Greece and Alexandroupolis General University Hospital in Alexandroupolis, Greece, from March 2020 until July 2024.

Results: Six women aged 25 to 36, experienced RPS during breastfeeding. The majority of them had no previous birth history (83%), were primigravida (83%) and had bilateral presence of blood in the milk (67%), with symptoms appeared on the second postpartum day (50%).

Conclusion: Based on extensive studies and literature reviews, RPS is generally considered a benign condition, typically presenting bilaterally. However, unilateral cases, such as those observed in our study, are rare.

Abstract Image

Abstract Image

Abstract Image

锈管综合征:母乳喂养中一种罕见的综合征——我们的经验。
背景:母乳中有血会使其呈锈色或褐色,这被称为“锈管综合征”。目的:本研究通过病例报告提高对RPS的认识,并分析与现有文献的差异。方法:收集2020年3月至2024年7月在希腊雅典雷亚妇产医院和希腊亚历山德鲁波利斯综合大学医院确诊的6例RPS病例的数据。结果:6名25 ~ 36岁的女性在母乳喂养期间经历了RPS。其中大多数没有分娩史(83%),初产妇(83%),双侧乳中有血(67%),产后第二天出现症状(50%)。结论:基于广泛的研究和文献综述,RPS通常被认为是一种良性疾病,通常表现为双侧。然而,单侧病例,如在我们的研究中观察到的,是罕见的。
本文章由计算机程序翻译,如有差异,请以英文原文为准。
求助全文
约1分钟内获得全文 求助全文
来源期刊
CiteScore
1.80
自引率
0.00%
发文量
0
×
引用
GB/T 7714-2015
复制
MLA
复制
APA
复制
导出至
BibTeX EndNote RefMan NoteFirst NoteExpress
×
提示
您的信息不完整,为了账户安全,请先补充。
现在去补充
×
提示
您因"违规操作"
具体请查看互助需知
我知道了
×
提示
确定
请完成安全验证×
copy
已复制链接
快去分享给好友吧!
我知道了
右上角分享
点击右上角分享
0
联系我们:info@booksci.cn Book学术提供免费学术资源搜索服务,方便国内外学者检索中英文文献。致力于提供最便捷和优质的服务体验。 Copyright © 2023 布克学术 All rights reserved.
京ICP备2023020795号-1
ghs 京公网安备 11010802042870号
Book学术文献互助
Book学术文献互助群
群 号:604180095
Book学术官方微信