Isolated Diffuse Splenic Hemangiomatosis Arising in an Adolescent: A Rare Case Report and Literature Review.

IF 1.7 Q2 PEDIATRICS
Pediatric health, medicine and therapeutics Pub Date : 2025-06-28 eCollection Date: 2025-01-01 DOI:10.2147/PHMT.S516902
Zhuping Chen, Dongdong Zhang
{"title":"Isolated Diffuse Splenic Hemangiomatosis Arising in an Adolescent: A Rare Case Report and Literature Review.","authors":"Zhuping Chen, Dongdong Zhang","doi":"10.2147/PHMT.S516902","DOIUrl":null,"url":null,"abstract":"<p><strong>Background: </strong>Diffuse splenic hemangiomatosis (DSH) is an extremely rare benign vascular disorder characterized by the proliferation of multiple blood vessels within the spleen. It is even rarer in pediatric and adolescent patients, with only a few cases reported in medical literature, which was performed as scientific literature review.</p><p><strong>Case presentation: </strong>We observed a 14-year-old male who presented with intermittent abdominal discomfort and slight splenomegaly. Laboratory tests revealed no abnormalities. Computed tomography (CT) revealed diffuse splenomegaly with round or oval low-density lesions, suggestive of hemangiomatosis or lymphoma. Magnetic resonance imaging (MRI) revealed multiple lesions with slightly prolonged T1 and T2 signals. A CT-guided percutaneous biopsy of a splenic lesion was performed to address splenomegaly and diagnostic uncertainty. Histopathological examination confirmed diffuse splenic hemangiomatosis with lymphocytic infiltration.</p><p><strong>Conclusion: </strong>A rare case of DSH in a childhood was presented. This case underscores the importance of integrating imaging and histopathology for an accurate diagnosis. While the condition is typically benign, tissue biopsy remains the definitive diagnostic method when malignancy cannot be excluded.</p>","PeriodicalId":74410,"journal":{"name":"Pediatric health, medicine and therapeutics","volume":"16 ","pages":"149-155"},"PeriodicalIF":1.7000,"publicationDate":"2025-06-28","publicationTypes":"Journal Article","fieldsOfStudy":null,"isOpenAccess":false,"openAccessPdf":"https://www.ncbi.nlm.nih.gov/pmc/articles/PMC12219155/pdf/","citationCount":"0","resultStr":null,"platform":"Semanticscholar","paperid":null,"PeriodicalName":"Pediatric health, medicine and therapeutics","FirstCategoryId":"1085","ListUrlMain":"https://doi.org/10.2147/PHMT.S516902","RegionNum":0,"RegionCategory":null,"ArticlePicture":[],"TitleCN":null,"AbstractTextCN":null,"PMCID":null,"EPubDate":"2025/1/1 0:00:00","PubModel":"eCollection","JCR":"Q2","JCRName":"PEDIATRICS","Score":null,"Total":0}
引用次数: 0

Abstract

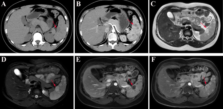
Background: Diffuse splenic hemangiomatosis (DSH) is an extremely rare benign vascular disorder characterized by the proliferation of multiple blood vessels within the spleen. It is even rarer in pediatric and adolescent patients, with only a few cases reported in medical literature, which was performed as scientific literature review.

Case presentation: We observed a 14-year-old male who presented with intermittent abdominal discomfort and slight splenomegaly. Laboratory tests revealed no abnormalities. Computed tomography (CT) revealed diffuse splenomegaly with round or oval low-density lesions, suggestive of hemangiomatosis or lymphoma. Magnetic resonance imaging (MRI) revealed multiple lesions with slightly prolonged T1 and T2 signals. A CT-guided percutaneous biopsy of a splenic lesion was performed to address splenomegaly and diagnostic uncertainty. Histopathological examination confirmed diffuse splenic hemangiomatosis with lymphocytic infiltration.

Conclusion: A rare case of DSH in a childhood was presented. This case underscores the importance of integrating imaging and histopathology for an accurate diagnosis. While the condition is typically benign, tissue biopsy remains the definitive diagnostic method when malignancy cannot be excluded.

Abstract Image

Abstract Image

青少年孤立性弥漫性脾血管瘤病1例报告及文献复习。
背景:弥漫性脾血管瘤病(DSH)是一种极其罕见的良性血管疾病,其特征是脾内多根血管增生。在儿科和青少年患者中更为罕见,只有少数病例在医学文献中报道,这是作为科学文献综述进行的。病例介绍:我们观察了一位14岁的男性,他表现为间歇性腹部不适和轻微的脾肿大。实验室检查显示没有异常。CT示弥漫性脾肿大伴圆形或卵圆形低密度病灶,提示血管瘤病或淋巴瘤。磁共振成像(MRI)显示多发病灶,T1和T2信号稍延长。ct引导下经皮脾病变活检,以解决脾肿大和诊断的不确定性。组织病理学检查证实弥漫性脾血管瘤病伴淋巴细胞浸润。结论:报告了一例罕见的儿童DSH病例。本病例强调了影像学和组织病理学相结合对准确诊断的重要性。虽然这种情况通常是良性的,但当恶性肿瘤不能排除时,组织活检仍然是确定的诊断方法。
本文章由计算机程序翻译,如有差异,请以英文原文为准。
求助全文
约1分钟内获得全文 求助全文
来源期刊
自引率
0.00%
发文量
0
审稿时长
16 weeks
×
引用
GB/T 7714-2015
复制
MLA
复制
APA
复制
导出至
BibTeX EndNote RefMan NoteFirst NoteExpress
×
提示
您的信息不完整,为了账户安全,请先补充。
现在去补充
×
提示
您因"违规操作"
具体请查看互助需知
我知道了
×
提示
确定
请完成安全验证×
copy
已复制链接
快去分享给好友吧!
我知道了
右上角分享
点击右上角分享
0
联系我们:info@booksci.cn Book学术提供免费学术资源搜索服务,方便国内外学者检索中英文文献。致力于提供最便捷和优质的服务体验。 Copyright © 2023 布克学术 All rights reserved.
京ICP备2023020795号-1
ghs 京公网安备 11010802042870号
Book学术文献互助
Book学术文献互助群
群 号:604180095
Book学术官方微信