A Rare Case of a Hypervascular Placental Polyp Leading to Massive Postpartum Hemorrhage Requiring Hysterectomy.

IF 0.8 Q4 OBSTETRICS & GYNECOLOGY
Case Reports in Obstetrics and Gynecology Pub Date : 2025-06-25 eCollection Date: 2025-01-01 DOI:10.1155/crog/4120029
Samantha Kegel, Meena Dhir, Karina Hew, Chanda Reese, Gregory Lewis
{"title":"A Rare Case of a Hypervascular Placental Polyp Leading to Massive Postpartum Hemorrhage Requiring Hysterectomy.","authors":"Samantha Kegel, Meena Dhir, Karina Hew, Chanda Reese, Gregory Lewis","doi":"10.1155/crog/4120029","DOIUrl":null,"url":null,"abstract":"<p><p>A placental polyp is a retained fragment of placental tissue that can lead to postpartum hemorrhage or become a nidus for infection. Hypervascular placental polyps can pose an increased risk of life-threatening postpartum hemorrhage requiring immediate intervention. Thus, prompt recognition and appropriate management are crucial in preventing maternal morbidity and mortality. Here, we present the case of a 29-year-old patient who had a spontaneous vaginal delivery at 36-week gestation after induction of labor due to pre-eclampsia with severe features. Quantitative blood loss at delivery was 1300 mL, and the patient received uterotonic medications. Due to continued bleeding, she underwent a suction curettage with clots and retained tissue removed from the uterine fundus. The total blood loss was estimated to be 4 L, and the massive transfusion protocol was activated. On postpartum Day 1, she underwent a bilateral uterine artery embolization; however, she developed further heavy vaginal bleeding. A second suction curettage was performed after ultrasound showed hypervascular material in the uterine cavity. The patient was subsequently discharged, but represented on postpartum Day 15 with increased bleeding. Imaging again demonstrated a hypervascular intrauterine polypoid mass. The patient desired definitive management and underwent a minimally invasive total hysterectomy.</p>","PeriodicalId":9610,"journal":{"name":"Case Reports in Obstetrics and Gynecology","volume":"2025 ","pages":"4120029"},"PeriodicalIF":0.8000,"publicationDate":"2025-06-25","publicationTypes":"Journal Article","fieldsOfStudy":null,"isOpenAccess":false,"openAccessPdf":"https://www.ncbi.nlm.nih.gov/pmc/articles/PMC12221538/pdf/","citationCount":"0","resultStr":null,"platform":"Semanticscholar","paperid":null,"PeriodicalName":"Case Reports in Obstetrics and Gynecology","FirstCategoryId":"1085","ListUrlMain":"https://doi.org/10.1155/crog/4120029","RegionNum":0,"RegionCategory":null,"ArticlePicture":[],"TitleCN":null,"AbstractTextCN":null,"PMCID":null,"EPubDate":"2025/1/1 0:00:00","PubModel":"eCollection","JCR":"Q4","JCRName":"OBSTETRICS & GYNECOLOGY","Score":null,"Total":0}
引用次数: 0

Abstract

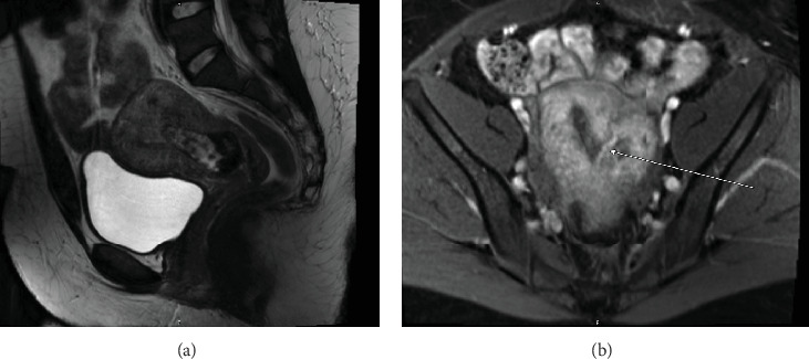
A placental polyp is a retained fragment of placental tissue that can lead to postpartum hemorrhage or become a nidus for infection. Hypervascular placental polyps can pose an increased risk of life-threatening postpartum hemorrhage requiring immediate intervention. Thus, prompt recognition and appropriate management are crucial in preventing maternal morbidity and mortality. Here, we present the case of a 29-year-old patient who had a spontaneous vaginal delivery at 36-week gestation after induction of labor due to pre-eclampsia with severe features. Quantitative blood loss at delivery was 1300 mL, and the patient received uterotonic medications. Due to continued bleeding, she underwent a suction curettage with clots and retained tissue removed from the uterine fundus. The total blood loss was estimated to be 4 L, and the massive transfusion protocol was activated. On postpartum Day 1, she underwent a bilateral uterine artery embolization; however, she developed further heavy vaginal bleeding. A second suction curettage was performed after ultrasound showed hypervascular material in the uterine cavity. The patient was subsequently discharged, but represented on postpartum Day 15 with increased bleeding. Imaging again demonstrated a hypervascular intrauterine polypoid mass. The patient desired definitive management and underwent a minimally invasive total hysterectomy.

Abstract Image

Abstract Image

Abstract Image

一例罕见的高血管性胎盘息肉导致产后大出血,需要子宫切除术。
胎盘息肉是残留的胎盘组织碎片,可导致产后出血或成为感染病灶。胎盘高血管性息肉可增加危及生命的产后出血的风险,需要立即干预。因此,及时认识和适当管理对于预防产妇发病率和死亡率至关重要。在这里,我们提出的情况下,29岁的病人有自然阴道分娩在36周妊娠引产后,由于先兆子痫严重的特点。分娩时定量失血量1300 mL,给予子宫强直药物治疗。由于持续出血,她接受了从子宫底取出血块和残留组织的抽吸刮除术。总失血量估计为4l,并启动了大量输血方案。产后第1天,她接受了双侧子宫动脉栓塞术;然而,她进一步出现大量阴道出血。超声显示子宫腔内有高血管物质后,行第二次吸刮术。患者随后出院,但产后第15天表现为出血增加。影像学再次显示一个高血管的子宫内息肉样肿块。患者希望得到明确的治疗,并接受了微创全子宫切除术。
本文章由计算机程序翻译,如有差异,请以英文原文为准。
求助全文
约1分钟内获得全文 求助全文
来源期刊
Case Reports in Obstetrics and Gynecology
Case Reports in Obstetrics and Gynecology Medicine-Obstetrics and Gynecology
CiteScore
1.30
自引率
0.00%
发文量
64
审稿时长
12 weeks
×
引用
GB/T 7714-2015
复制
MLA
复制
APA
复制
导出至
BibTeX EndNote RefMan NoteFirst NoteExpress
×
提示
您的信息不完整,为了账户安全,请先补充。
现在去补充
×
提示
您因"违规操作"
具体请查看互助需知
我知道了
×
提示
确定
请完成安全验证×
copy
已复制链接
快去分享给好友吧!
我知道了
右上角分享
点击右上角分享
0
联系我们:info@booksci.cn Book学术提供免费学术资源搜索服务,方便国内外学者检索中英文文献。致力于提供最便捷和优质的服务体验。 Copyright © 2023 布克学术 All rights reserved.
京ICP备2023020795号-1
ghs 京公网安备 11010802042870号
Book学术文献互助
Book学术文献互助群
群 号:604180095
Book学术官方微信