Personalized three-dimensional dose calculation method based on multi-modal images in dosimetry assessment of prostate cancer with skull metastasis: a Monte Carlo simulation study.

IF 3.2 2区 医学 Q2 RADIOLOGY, NUCLEAR MEDICINE & MEDICAL IMAGING
Feng Tian, Huan Liu, Yingying Gu, Dandan Zhang, Lijun Tang
{"title":"Personalized three-dimensional dose calculation method based on multi-modal images in dosimetry assessment of prostate cancer with skull metastasis: a Monte Carlo simulation study.","authors":"Feng Tian, Huan Liu, Yingying Gu, Dandan Zhang, Lijun Tang","doi":"10.1186/s40658-025-00781-0","DOIUrl":null,"url":null,"abstract":"<p><strong>Background: </strong>The nuclear medicine treatment based on <sup>177</sup>Lu-PSMA-617 has achieved excellent therapeutic effects on Prostate cancer (PCa), but there is a lack of three-dimensional dosimetry analysis of organs at risk (OARs) and distant metastatic lesions.</p><p><strong>Results: </strong>This work establishes an accurate and personalized three-dimensional dose calculation method based on Monte Carlo simulation and multi-modal images of PCa patients with skull metastasis, and analyzes the three-dimensional dose distribution of metastatic lesions and OARs in the brain. Results show that due to the targeting characteristics of <sup>177</sup>Lu-PSMA-617, metastatic brain lesions of all patients can receive high radiation doses with the average dose of 0.05 mGy/MBq, and the dose distribution are relatively uniform with the average homogeneity index of 1.23. In addition, the radiation dose received by most OARs are much lower than that of metastatic lesions, but for parotid glands, the dose deposited are only 3.99 times less than that of metastatic lesions due to the high absorption of <sup>177</sup>Lu-PSMA-617.</p><p><strong>Conclusion: </strong>Therefore, it is necessary to clarify the three-dimensional dose distribution of OARs and metastatic lesions, so as to optimize the activity injected and achieve the precise killing of metastatic lesions and protection of OARs.</p>","PeriodicalId":11559,"journal":{"name":"EJNMMI Physics","volume":"12 1","pages":"59"},"PeriodicalIF":3.2000,"publicationDate":"2025-07-01","publicationTypes":"Journal Article","fieldsOfStudy":null,"isOpenAccess":false,"openAccessPdf":"https://www.ncbi.nlm.nih.gov/pmc/articles/PMC12214214/pdf/","citationCount":"0","resultStr":null,"platform":"Semanticscholar","paperid":null,"PeriodicalName":"EJNMMI Physics","FirstCategoryId":"3","ListUrlMain":"https://doi.org/10.1186/s40658-025-00781-0","RegionNum":2,"RegionCategory":"医学","ArticlePicture":[],"TitleCN":null,"AbstractTextCN":null,"PMCID":null,"EPubDate":"","PubModel":"","JCR":"Q2","JCRName":"RADIOLOGY, NUCLEAR MEDICINE & MEDICAL IMAGING","Score":null,"Total":0}
引用次数: 0

Abstract

Background: The nuclear medicine treatment based on 177Lu-PSMA-617 has achieved excellent therapeutic effects on Prostate cancer (PCa), but there is a lack of three-dimensional dosimetry analysis of organs at risk (OARs) and distant metastatic lesions.

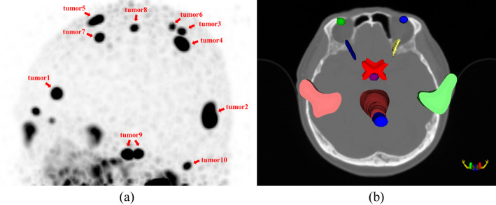
Results: This work establishes an accurate and personalized three-dimensional dose calculation method based on Monte Carlo simulation and multi-modal images of PCa patients with skull metastasis, and analyzes the three-dimensional dose distribution of metastatic lesions and OARs in the brain. Results show that due to the targeting characteristics of 177Lu-PSMA-617, metastatic brain lesions of all patients can receive high radiation doses with the average dose of 0.05 mGy/MBq, and the dose distribution are relatively uniform with the average homogeneity index of 1.23. In addition, the radiation dose received by most OARs are much lower than that of metastatic lesions, but for parotid glands, the dose deposited are only 3.99 times less than that of metastatic lesions due to the high absorption of 177Lu-PSMA-617.

Conclusion: Therefore, it is necessary to clarify the three-dimensional dose distribution of OARs and metastatic lesions, so as to optimize the activity injected and achieve the precise killing of metastatic lesions and protection of OARs.

Abstract Image

Abstract Image

Abstract Image

基于多模态图像的个体化三维剂量计算方法在前列腺癌伴颅骨转移剂量学评估中的蒙特卡罗模拟研究。
背景:基于177Lu-PSMA-617的核医学治疗在前列腺癌(PCa)中取得了良好的治疗效果,但缺乏危及器官(OARs)和远处转移灶的三维剂量学分析。结果:本工作建立了一种基于蒙特卡罗模拟和颅脑转移的PCa患者多模态图像的精确、个性化的三维剂量计算方法,分析了脑内转移灶和桨叶的三维剂量分布。结果显示,由于177Lu-PSMA-617的靶向性,所有患者的转移性脑病变均可接受平均剂量为0.05 mGy/MBq的高辐射剂量,且剂量分布较为均匀,平均均匀性指数为1.23。此外,大多数OARs接受的辐射剂量远低于转移性病变,但对于腮腺,由于177Lu-PSMA-617的高吸收,其沉积剂量仅为转移性病变的3.99倍。结论:因此,有必要明确OARs与转移灶的三维剂量分布,以优化注射活性,实现对转移灶的精确杀伤和对OARs的保护。
本文章由计算机程序翻译,如有差异,请以英文原文为准。
求助全文
约1分钟内获得全文 求助全文
来源期刊
EJNMMI Physics
EJNMMI Physics Physics and Astronomy-Radiation
CiteScore
6.70
自引率
10.00%
发文量
78
审稿时长
13 weeks
期刊介绍: EJNMMI Physics is an international platform for scientists, users and adopters of nuclear medicine with a particular interest in physics matters. As a companion journal to the European Journal of Nuclear Medicine and Molecular Imaging, this journal has a multi-disciplinary approach and welcomes original materials and studies with a focus on applied physics and mathematics as well as imaging systems engineering and prototyping in nuclear medicine. This includes physics-driven approaches or algorithms supported by physics that foster early clinical adoption of nuclear medicine imaging and therapy.
×
引用
GB/T 7714-2015
复制
MLA
复制
APA
复制
导出至
BibTeX EndNote RefMan NoteFirst NoteExpress
×
提示
您的信息不完整,为了账户安全,请先补充。
现在去补充
×
提示
您因"违规操作"
具体请查看互助需知
我知道了
×
提示
确定
请完成安全验证×
copy
已复制链接
快去分享给好友吧!
我知道了
右上角分享
点击右上角分享
0
联系我们:info@booksci.cn Book学术提供免费学术资源搜索服务,方便国内外学者检索中英文文献。致力于提供最便捷和优质的服务体验。 Copyright © 2023 布克学术 All rights reserved.
京ICP备2023020795号-1
ghs 京公网安备 11010802042870号
Book学术文献互助
Book学术文献互助群
群 号:604180095
Book学术官方微信