PERCUTANEOUS CORONARY INTERVENTION OF THE SMALL DIAGONAL BRANCH IN ACUTE MYOCARDIAL INFARCTION WITHOUT ST ELEVATION COMPLICATED BY CORONARY ARTERY PERFORATION AND CARDIAC TAMPONADE.

IF 0.8 4区 医学 Q3 MEDICINE, GENERAL & INTERNAL
Martina Čančarević, Vjekoslav Radeljić, Matias Trbušić, Zdravko Babić, Ivan Zeljković, Nikola Kos
{"title":"PERCUTANEOUS CORONARY INTERVENTION OF THE SMALL DIAGONAL BRANCH IN ACUTE MYOCARDIAL INFARCTION WITHOUT ST ELEVATION COMPLICATED BY CORONARY ARTERY PERFORATION AND CARDIAC TAMPONADE.","authors":"Martina Čančarević, Vjekoslav Radeljić, Matias Trbušić, Zdravko Babić, Ivan Zeljković, Nikola Kos","doi":"10.20471/acc.2024.63.s1.9","DOIUrl":null,"url":null,"abstract":"<p><strong>Introduction: </strong>Small coronary artery disease is more common in elderly patients, smokers, patients with diabetes and chronic kidney disease. Percutaneous interventions on small coronary arteries are associated with an increased risk of complications (perforation, dissection and restenosis). Coronary artery perforation treatment includes cover stents and coil placement.</p><p><strong>Case report: </strong>A 73-year-old patient, without comorbidities, was hospitalized for acute non ST-elevation myocardial infarction. Coronary angiography showed subocclusion of the first diagonal branch (culprit lesion) while the other epicardial coronary arteries were without stenosis. Multiple predilatations of the target vessel were performed, and as it was a vessel with a diameter of less than 2 mm, no stent was placed. The final angiogram showed normal flow and good morphological result. Half an hour after the procedure, cardiac tamponade and cardiorespiratory arrest developed. Emergency pericardiocentesis was performed and after the return of spontaneous circulation, emergency recoronarography was performed. It showed perforation of the diagonal branch with contrast extravasation. Coronary coil was applied proximal to the perforation site. Perforation repair and hemodynamic stabilization were achieved.</p><p><strong>Conclusion: </strong>Coronary artery perforation is a life-threatening complication of percutaneous coronary intervention. The risk of perforation is higher in the case of small coronary arteries; it can be presented by delayed cardiac tamponade, which requires increased supervision of the patient.</p>","PeriodicalId":7072,"journal":{"name":"Acta clinica Croatica","volume":"63 Suppl1","pages":"47-53"},"PeriodicalIF":0.8000,"publicationDate":"2024-03-01","publicationTypes":"Journal Article","fieldsOfStudy":null,"isOpenAccess":false,"openAccessPdf":"https://www.ncbi.nlm.nih.gov/pmc/articles/PMC12207842/pdf/","citationCount":"0","resultStr":null,"platform":"Semanticscholar","paperid":null,"PeriodicalName":"Acta clinica Croatica","FirstCategoryId":"3","ListUrlMain":"https://doi.org/10.20471/acc.2024.63.s1.9","RegionNum":4,"RegionCategory":"医学","ArticlePicture":[],"TitleCN":null,"AbstractTextCN":null,"PMCID":null,"EPubDate":"","PubModel":"","JCR":"Q3","JCRName":"MEDICINE, GENERAL & INTERNAL","Score":null,"Total":0}
引用次数: 0

Abstract

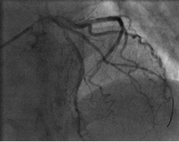
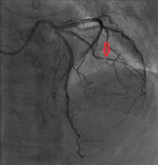
Introduction: Small coronary artery disease is more common in elderly patients, smokers, patients with diabetes and chronic kidney disease. Percutaneous interventions on small coronary arteries are associated with an increased risk of complications (perforation, dissection and restenosis). Coronary artery perforation treatment includes cover stents and coil placement.

Case report: A 73-year-old patient, without comorbidities, was hospitalized for acute non ST-elevation myocardial infarction. Coronary angiography showed subocclusion of the first diagonal branch (culprit lesion) while the other epicardial coronary arteries were without stenosis. Multiple predilatations of the target vessel were performed, and as it was a vessel with a diameter of less than 2 mm, no stent was placed. The final angiogram showed normal flow and good morphological result. Half an hour after the procedure, cardiac tamponade and cardiorespiratory arrest developed. Emergency pericardiocentesis was performed and after the return of spontaneous circulation, emergency recoronarography was performed. It showed perforation of the diagonal branch with contrast extravasation. Coronary coil was applied proximal to the perforation site. Perforation repair and hemodynamic stabilization were achieved.

Conclusion: Coronary artery perforation is a life-threatening complication of percutaneous coronary intervention. The risk of perforation is higher in the case of small coronary arteries; it can be presented by delayed cardiac tamponade, which requires increased supervision of the patient.

Abstract Image

Abstract Image

Abstract Image

无st抬高合并冠状动脉穿孔及心包填塞的急性心肌梗死经皮小斜支介入治疗。
小冠状动脉疾病多见于老年患者、吸烟者、糖尿病患者和慢性肾病患者。经皮介入小冠状动脉与并发症(穿孔、夹层和再狭窄)的风险增加有关。冠状动脉穿孔的治疗包括覆盖支架和线圈置入。病例报告:73岁患者,无合并症,因急性非st段抬高型心肌梗死住院。冠状动脉造影显示第一斜支亚闭合(罪魁祸首病变),而其他心外膜冠状动脉无狭窄。对目标血管进行多次预扩张,由于目标血管直径小于2mm,因此未放置支架。最终血管造影显示血流正常,形态学结果良好。手术半小时后,出现心包填塞和心肺骤停。行急诊心包穿刺,恢复自然循环后行急诊造影。示斜支穿孔伴造影剂外渗。冠状动脉线圈应用于穿孔部位近端。实现了穿孔修复和血流动力学稳定。结论:冠状动脉穿孔是经皮冠状动脉介入治疗中危及生命的并发症。冠状动脉小的患者发生穿孔的风险更高;可表现为迟发性心包填塞,需加强对患者的监护。
本文章由计算机程序翻译,如有差异,请以英文原文为准。
求助全文
约1分钟内获得全文 求助全文
来源期刊
Acta clinica Croatica
Acta clinica Croatica 医学-医学:内科
CiteScore
1.10
自引率
16.70%
发文量
38
审稿时长
6-12 weeks
期刊介绍: Acta Clinica Croatica is a peer reviewed general medical journal that publishes original articles that advance and improve medical science and practice and that serve the purpose of transfer of original and valuable information to journal readers. Acta Clinica Croatica is published in English four times a year.
×
引用
GB/T 7714-2015
复制
MLA
复制
APA
复制
导出至
BibTeX EndNote RefMan NoteFirst NoteExpress
×
提示
您的信息不完整,为了账户安全,请先补充。
现在去补充
×
提示
您因"违规操作"
具体请查看互助需知
我知道了
×
提示
确定
请完成安全验证×
copy
已复制链接
快去分享给好友吧!
我知道了
右上角分享
点击右上角分享
0
联系我们:info@booksci.cn Book学术提供免费学术资源搜索服务,方便国内外学者检索中英文文献。致力于提供最便捷和优质的服务体验。 Copyright © 2023 布克学术 All rights reserved.
京ICP备2023020795号-1
ghs 京公网安备 11010802042870号
Book学术文献互助
Book学术文献互助群
群 号:604180095
Book学术官方微信