Development of reverse transcription loop-mediated isothermal amplification-based assay for rapid and specific detection of human fungal pathogen, Candida auris.

Q3 Medicine
Current Medical Mycology Pub Date : 2024-11-14 eCollection Date: 2024-01-01 DOI:10.22034/cmm.2024.345284.1572
Ankush Kaushik, Zeeshan Fatima, Saif Hameed
{"title":"Development of reverse transcription loop-mediated isothermal amplification-based assay for rapid and specific detection of human fungal pathogen, <i>Candida auris</i>.","authors":"Ankush Kaushik, Zeeshan Fatima, Saif Hameed","doi":"10.22034/cmm.2024.345284.1572","DOIUrl":null,"url":null,"abstract":"<p><strong>Background and purpose: </strong>Due to the ability of <i>Candida auris</i>, a multidrug-resistant human fungal pathogen, to colonize the skin and hospital surfaces, it is pertinent to control its nosocomial outbreaks through rapid diagnosis. Delayed and improper diagnosis of <i>C. auris</i> due to misidentification becomes a major hurdle in the prevention of employment of efficient therapeutics leading to the development of drug resistance. The culture-based methods are slow and less sensitive while PCR-based methods are costly. Loop-mediated amplification (LAMP) is a feasible alternative, but it fails to differentiate between live and dead cells. Therefore, this study aimed to evaluate the diagnostic efficiency of the reverse transcription (RT) LAMP approach and compare it with that of the LAMP assay for the detection of <i>C. auris</i>.</p><p><strong>Materials and methods: </strong>RT-LAMP method was developed for the detection of <i>C. auris</i> and its clinical isolates. The limit of detection (LOD), sensitivity, and specificity were evaluated for the developed method using culture RNA. The RT-LAMP reaction for <i>C. auris</i> detection was standardized using the primers of a specific 869-bp DNA segment (accession no. XM_018317007), encoding a pyruvate: ferredoxin oxidoreductase domain, from the genome of <i>C. auris</i>.</p><p><strong>Results: </strong>The LOD for the RT-LAMP method was 1ag contrary to 10fg for LAMP method using DNA. Specificity was 100% as determined using a gram-negative bacteria and several other <i>Candida</i> species. The RT-LAMP method was intraspecific and displayed no cross reaction even with closely related <i>Candida</i> species. The RT-LAMP method was validated on 10 clinical isolates of <i>C. auris</i> and showed 100% concordance with a culture-based method.</p><p><strong>Conclusion: </strong>The RT-LAMP-based method in the present study offered a proof of concept that warrants clinical validation on a large number of samples. Therefore, its diagnostic potential for the rapid, sensitive, and specific detection of <i>C. auris</i> could be further exploited in resource-limited regions.</p>","PeriodicalId":10863,"journal":{"name":"Current Medical Mycology","volume":"10 ","pages":""},"PeriodicalIF":0.0000,"publicationDate":"2024-11-14","publicationTypes":"Journal Article","fieldsOfStudy":null,"isOpenAccess":false,"openAccessPdf":"https://www.ncbi.nlm.nih.gov/pmc/articles/PMC12205917/pdf/","citationCount":"0","resultStr":null,"platform":"Semanticscholar","paperid":null,"PeriodicalName":"Current Medical Mycology","FirstCategoryId":"1085","ListUrlMain":"https://doi.org/10.22034/cmm.2024.345284.1572","RegionNum":0,"RegionCategory":null,"ArticlePicture":[],"TitleCN":null,"AbstractTextCN":null,"PMCID":null,"EPubDate":"2024/1/1 0:00:00","PubModel":"eCollection","JCR":"Q3","JCRName":"Medicine","Score":null,"Total":0}
引用次数: 0

Abstract

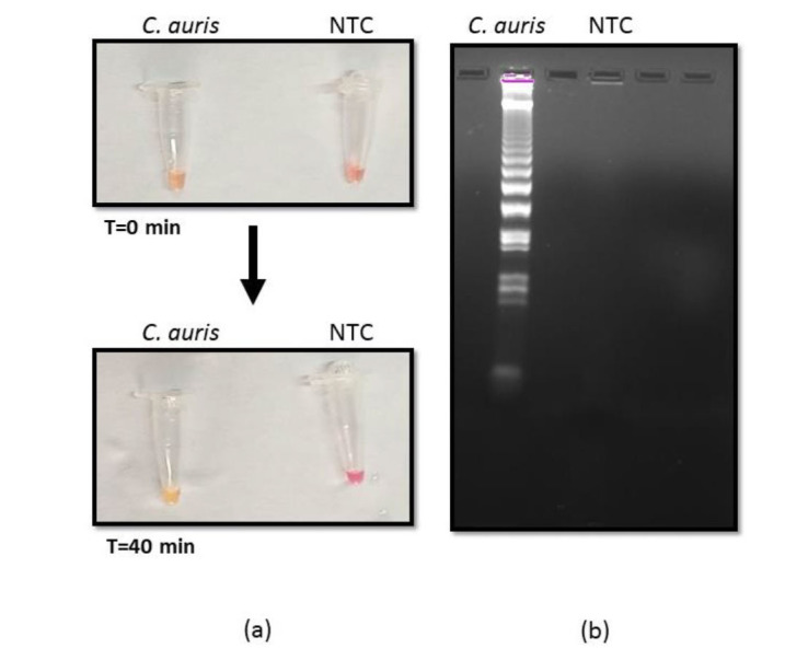
Background and purpose: Due to the ability of Candida auris, a multidrug-resistant human fungal pathogen, to colonize the skin and hospital surfaces, it is pertinent to control its nosocomial outbreaks through rapid diagnosis. Delayed and improper diagnosis of C. auris due to misidentification becomes a major hurdle in the prevention of employment of efficient therapeutics leading to the development of drug resistance. The culture-based methods are slow and less sensitive while PCR-based methods are costly. Loop-mediated amplification (LAMP) is a feasible alternative, but it fails to differentiate between live and dead cells. Therefore, this study aimed to evaluate the diagnostic efficiency of the reverse transcription (RT) LAMP approach and compare it with that of the LAMP assay for the detection of C. auris.

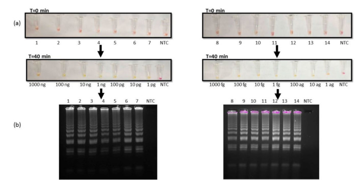
Materials and methods: RT-LAMP method was developed for the detection of C. auris and its clinical isolates. The limit of detection (LOD), sensitivity, and specificity were evaluated for the developed method using culture RNA. The RT-LAMP reaction for C. auris detection was standardized using the primers of a specific 869-bp DNA segment (accession no. XM_018317007), encoding a pyruvate: ferredoxin oxidoreductase domain, from the genome of C. auris.

Results: The LOD for the RT-LAMP method was 1ag contrary to 10fg for LAMP method using DNA. Specificity was 100% as determined using a gram-negative bacteria and several other Candida species. The RT-LAMP method was intraspecific and displayed no cross reaction even with closely related Candida species. The RT-LAMP method was validated on 10 clinical isolates of C. auris and showed 100% concordance with a culture-based method.

Conclusion: The RT-LAMP-based method in the present study offered a proof of concept that warrants clinical validation on a large number of samples. Therefore, its diagnostic potential for the rapid, sensitive, and specific detection of C. auris could be further exploited in resource-limited regions.

Abstract Image

Abstract Image

Abstract Image

基于逆转录环介导的等温扩增快速特异性检测人类真菌病原体耳念珠菌的方法的建立。
背景与目的:由于金黄色念珠菌是一种多重耐药的人类真菌病原体,具有在皮肤和医院表面定植的能力,因此通过快速诊断来控制其在医院的暴发具有重要意义。由于错误鉴定而导致的对金黄色葡萄球菌的延误和不正确诊断成为阻碍有效治疗方法使用的主要障碍,从而导致耐药性的发展。基于培养的方法速度慢,灵敏度低,而基于pcr的方法成本高。环介导扩增(LAMP)是一种可行的替代方法,但它无法区分活细胞和死细胞。因此,本研究旨在评价逆转录(RT) LAMP方法对金黄色葡萄球菌的诊断效率,并将其与LAMP法检测效果进行比较。材料与方法:建立了RT-LAMP法检测金黄色葡萄球菌及其临床分离株。利用培养RNA评估了该方法的检出限(LOD)、灵敏度和特异性。RT-LAMP检测金黄色葡萄球菌的反应采用特定869-bp DNA片段的引物进行标准化。XM_018317007),编码丙酮酸:铁氧还蛋白氧化还原酶结构域,来自金黄色葡萄球菌基因组。结果:RT-LAMP法的检出限为1ag,而DNA LAMP法的检出限为10fg。通过使用革兰氏阴性菌和其他几种念珠菌确定特异性为100%。RT-LAMP方法是种内的,即使与密切相关的念珠菌种也没有交叉反应。RT-LAMP方法对10株临床分离的金黄色葡萄球菌进行了验证,结果与培养法的一致性为100%。结论:本研究中基于rt - lamp的方法提供了一个概念证明,值得在大量样本上进行临床验证。因此,该方法在资源有限的地区具有快速、灵敏、特异检测金黄色葡萄球菌的潜力。
本文章由计算机程序翻译,如有差异,请以英文原文为准。
求助全文
约1分钟内获得全文 求助全文
来源期刊
Current Medical Mycology
Current Medical Mycology Medicine-Infectious Diseases
CiteScore
2.10
自引率
0.00%
发文量
16
审稿时长
4 weeks
×
引用
GB/T 7714-2015
复制
MLA
复制
APA
复制
导出至
BibTeX EndNote RefMan NoteFirst NoteExpress
×
提示
您的信息不完整,为了账户安全,请先补充。
现在去补充
×
提示
您因"违规操作"
具体请查看互助需知
我知道了
×
提示
确定
请完成安全验证×
copy
已复制链接
快去分享给好友吧!
我知道了
右上角分享
点击右上角分享
0
联系我们:info@booksci.cn Book学术提供免费学术资源搜索服务,方便国内外学者检索中英文文献。致力于提供最便捷和优质的服务体验。 Copyright © 2023 布克学术 All rights reserved.
京ICP备2023020795号-1
ghs 京公网安备 11010802042870号
Book学术文献互助
Book学术文献互助群
群 号:604180095
Book学术官方微信