Unraveled: Coil Migration After Embolization of Gastric Varices.

IF 0.5 Q4 GASTROENTEROLOGY & HEPATOLOGY
ACG Case Reports Journal Pub Date : 2025-06-27 eCollection Date: 2025-07-01 DOI:10.14309/crj.0000000000001748
Sheel Patel, Dylan Flaherty, Nana Baah, Endashaw Omer
{"title":"Unraveled: Coil Migration After Embolization of Gastric Varices.","authors":"Sheel Patel, Dylan Flaherty, Nana Baah, Endashaw Omer","doi":"10.14309/crj.0000000000001748","DOIUrl":null,"url":null,"abstract":"<p><p>Gastric varices are a severe complication of portal hypertension and may lead to life-threatening bleeding. Endovascular interventions, including transjugular intrahepatic portosystemic shunt and coil embolization, are effective treatment strategies. However, coil migration is a rare but serious complication. We present a unique case of coil migration from a gastric varix to the duodenum after transjugular intrahepatic portosystemic shunt and embolization.</p>","PeriodicalId":7394,"journal":{"name":"ACG Case Reports Journal","volume":"12 7","pages":"e01748"},"PeriodicalIF":0.5000,"publicationDate":"2025-06-27","publicationTypes":"Journal Article","fieldsOfStudy":null,"isOpenAccess":false,"openAccessPdf":"https://www.ncbi.nlm.nih.gov/pmc/articles/PMC12204143/pdf/","citationCount":"0","resultStr":null,"platform":"Semanticscholar","paperid":null,"PeriodicalName":"ACG Case Reports Journal","FirstCategoryId":"1085","ListUrlMain":"https://doi.org/10.14309/crj.0000000000001748","RegionNum":0,"RegionCategory":null,"ArticlePicture":[],"TitleCN":null,"AbstractTextCN":null,"PMCID":null,"EPubDate":"2025/7/1 0:00:00","PubModel":"eCollection","JCR":"Q4","JCRName":"GASTROENTEROLOGY & HEPATOLOGY","Score":null,"Total":0}
引用次数: 0

Abstract

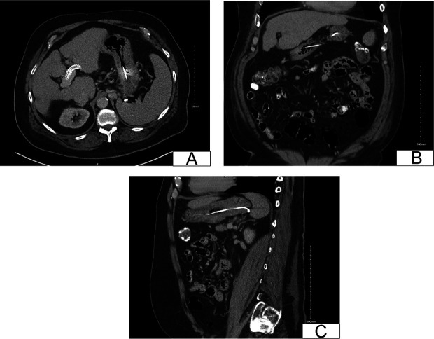
Gastric varices are a severe complication of portal hypertension and may lead to life-threatening bleeding. Endovascular interventions, including transjugular intrahepatic portosystemic shunt and coil embolization, are effective treatment strategies. However, coil migration is a rare but serious complication. We present a unique case of coil migration from a gastric varix to the duodenum after transjugular intrahepatic portosystemic shunt and embolization.

Abstract Image

Abstract Image

解开:胃静脉曲张栓塞后的线圈移动。
胃静脉曲张是门脉高压的严重并发症,可能导致危及生命的出血。血管内干预,包括经颈静脉肝内门静脉系统分流术和线圈栓塞术,是有效的治疗策略。然而,线圈迁移是一种罕见但严重的并发症。我们提出一个独特的情况下,线圈迁移从胃静脉曲张经颈静脉肝内门静脉分流和栓塞后十二指肠。
本文章由计算机程序翻译,如有差异,请以英文原文为准。
求助全文
约1分钟内获得全文 求助全文
来源期刊
ACG Case Reports Journal
ACG Case Reports Journal GASTROENTEROLOGY & HEPATOLOGY-
自引率
14.30%
发文量
170
审稿时长
12 weeks
期刊介绍: ACG Case Reports Journal is a peer-reviewed, open-access publication that provides GI and hepatology fellows, private practice clinicians, and other healthcare providers an opportunity to share interesting case reports with their peers and with leaders in the field. ACG Case Reports Journal publishes case reports, images, videos and letters to the editor in all topics of gastroenterology and hepatology, including: Biliary Colon Endoscopy Esophagus Functional Bowel Disorders Inflammatory Bowel Disease Liver Nutrition and Obesity Pancreas Pathology Pediatric Small Bowel Stomach.
×
引用
GB/T 7714-2015
复制
MLA
复制
APA
复制
导出至
BibTeX EndNote RefMan NoteFirst NoteExpress
×
提示
您的信息不完整,为了账户安全,请先补充。
现在去补充
×
提示
您因"违规操作"
具体请查看互助需知
我知道了
×
提示
确定
请完成安全验证×
copy
已复制链接
快去分享给好友吧!
我知道了
右上角分享
点击右上角分享
0
联系我们:info@booksci.cn Book学术提供免费学术资源搜索服务,方便国内外学者检索中英文文献。致力于提供最便捷和优质的服务体验。 Copyright © 2023 布克学术 All rights reserved.
京ICP备2023020795号-1
ghs 京公网安备 11010802042870号
Book学术文献互助
Book学术文献互助群
群 号:604180095
Book学术官方微信