Safe Endoscopic Treatment for a Bleeding Infant With Multifocal Lymphangioendotheliomatosis and Thrombocytopenia (MLT).

IF 0.5 Q4 GASTROENTEROLOGY & HEPATOLOGY
ACG Case Reports Journal Pub Date : 2025-06-27 eCollection Date: 2025-07-01 DOI:10.14309/crj.0000000000001755
Or Steg Saban, Elena Pope, Govind B Chavhan, Manuel Carcao, Susanna Talarico, Simon C Ling
{"title":"Safe Endoscopic Treatment for a Bleeding Infant With Multifocal Lymphangioendotheliomatosis and Thrombocytopenia (MLT).","authors":"Or Steg Saban, Elena Pope, Govind B Chavhan, Manuel Carcao, Susanna Talarico, Simon C Ling","doi":"10.14309/crj.0000000000001755","DOIUrl":null,"url":null,"abstract":"<p><p>We present the case of a 3-week-old girl with multiple cutaneous vascular lesions, melena, hematemesis, severe anemia (hemoglobin 4.4 g/dL), and thrombocytopenia (72 × 10<sup>3</sup>/µL), with clinical features consistent with multifocal lymphangioendotheliomatosis with thrombocytopenia (MLT). Upper gastrointestinal endoscopy revealed numerous actively bleeding angiomatous lesions, measuring 1-3 mm in diameter. Homeostasis was successfully achieved using argon plasma coagulation (APC). To our knowledge, this is among the few reports describing the effective use of APC in managing life-threatening gastric hemorrhage in an infant with MLT. While gastrointestinal perforation has been previously reported as a complication of endoscopic therapy in this context, our findings suggest that APC may be a viable option for refractory bleeding, provided that surgical support is immediately accessible.</p>","PeriodicalId":7394,"journal":{"name":"ACG Case Reports Journal","volume":"12 7","pages":"e01755"},"PeriodicalIF":0.5000,"publicationDate":"2025-06-27","publicationTypes":"Journal Article","fieldsOfStudy":null,"isOpenAccess":false,"openAccessPdf":"https://www.ncbi.nlm.nih.gov/pmc/articles/PMC12204144/pdf/","citationCount":"0","resultStr":null,"platform":"Semanticscholar","paperid":null,"PeriodicalName":"ACG Case Reports Journal","FirstCategoryId":"1085","ListUrlMain":"https://doi.org/10.14309/crj.0000000000001755","RegionNum":0,"RegionCategory":null,"ArticlePicture":[],"TitleCN":null,"AbstractTextCN":null,"PMCID":null,"EPubDate":"2025/7/1 0:00:00","PubModel":"eCollection","JCR":"Q4","JCRName":"GASTROENTEROLOGY & HEPATOLOGY","Score":null,"Total":0}
引用次数: 0

Abstract

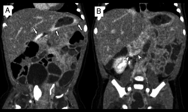
We present the case of a 3-week-old girl with multiple cutaneous vascular lesions, melena, hematemesis, severe anemia (hemoglobin 4.4 g/dL), and thrombocytopenia (72 × 103/µL), with clinical features consistent with multifocal lymphangioendotheliomatosis with thrombocytopenia (MLT). Upper gastrointestinal endoscopy revealed numerous actively bleeding angiomatous lesions, measuring 1-3 mm in diameter. Homeostasis was successfully achieved using argon plasma coagulation (APC). To our knowledge, this is among the few reports describing the effective use of APC in managing life-threatening gastric hemorrhage in an infant with MLT. While gastrointestinal perforation has been previously reported as a complication of endoscopic therapy in this context, our findings suggest that APC may be a viable option for refractory bleeding, provided that surgical support is immediately accessible.

Abstract Image

Abstract Image

Abstract Image

多灶性淋巴管内皮瘤病合并血小板减少症出血婴儿的安全内镜治疗。
我们报告了一个3周大的女孩,她患有多发性皮肤血管病变,黑黑,呕血,严重贫血(血红蛋白4.4 g/dL)和血小板减少(72 × 103/µL),其临床特征与多灶性淋巴管内皮瘤病伴血小板减少症(MLT)一致。上消化道内窥镜检查显示大量活动性出血血管瘤病变,直径1-3毫米。利用氩等离子体凝聚(APC)成功地实现了稳态。据我们所知,这是为数不多的描述APC在治疗MLT婴儿危及生命的胃出血中有效使用的报告之一。虽然胃肠道穿孔先前已被报道为内镜治疗的并发症,但我们的研究结果表明,APC可能是治疗难治性出血的可行选择,前提是手术支持可以立即获得。
本文章由计算机程序翻译,如有差异,请以英文原文为准。
求助全文
约1分钟内获得全文 求助全文
来源期刊
ACG Case Reports Journal
ACG Case Reports Journal GASTROENTEROLOGY & HEPATOLOGY-
自引率
14.30%
发文量
170
审稿时长
12 weeks
期刊介绍: ACG Case Reports Journal is a peer-reviewed, open-access publication that provides GI and hepatology fellows, private practice clinicians, and other healthcare providers an opportunity to share interesting case reports with their peers and with leaders in the field. ACG Case Reports Journal publishes case reports, images, videos and letters to the editor in all topics of gastroenterology and hepatology, including: Biliary Colon Endoscopy Esophagus Functional Bowel Disorders Inflammatory Bowel Disease Liver Nutrition and Obesity Pancreas Pathology Pediatric Small Bowel Stomach.
×
引用
GB/T 7714-2015
复制
MLA
复制
APA
复制
导出至
BibTeX EndNote RefMan NoteFirst NoteExpress
×
提示
您的信息不完整,为了账户安全,请先补充。
现在去补充
×
提示
您因"违规操作"
具体请查看互助需知
我知道了
×
提示
确定
请完成安全验证×
copy
已复制链接
快去分享给好友吧!
我知道了
右上角分享
点击右上角分享
0
联系我们:info@booksci.cn Book学术提供免费学术资源搜索服务,方便国内外学者检索中英文文献。致力于提供最便捷和优质的服务体验。 Copyright © 2023 布克学术 All rights reserved.
京ICP备2023020795号-1
ghs 京公网安备 11010802042870号
Book学术文献互助
Book学术文献互助群
群 号:604180095
Book学术官方微信