Giant Cell Tumor of the Proximal Fibula in a 15-year-old Female: A Review and Case Report.

IF 1.8 4区 医学 Q3 MEDICINE, RESEARCH & EXPERIMENTAL
In vivo Pub Date : 2025-07-01 DOI:10.21873/invivo.14043
Kazuhiko Hashimoto, Shunji Nishimura, Koji Goto
{"title":"Giant Cell Tumor of the Proximal Fibula in a 15-year-old Female: A Review and Case Report.","authors":"Kazuhiko Hashimoto, Shunji Nishimura, Koji Goto","doi":"10.21873/invivo.14043","DOIUrl":null,"url":null,"abstract":"<p><strong>Background/aim: </strong>Giant cell tumor of the bone (GCTB) is a locally-aggressive, benign tumor that typically affects young adults between 20 and 40 years old.</p><p><strong>Case report: </strong>A 15-year-old female presented to a primary care physician with pain in the lateral aspect of the left knee and was referred to our department with a suspected bone tumor owing to radiographic findings of osteolysis of the proximal fibula. Computed tomography indicated osteolysis of the proximal fibula, and the bone cortex was thin and partially irregular. Magnetic resonance imaging indicated a mass in the same area, with hyperintense changes in both T1- and T2-weighted images. No biopsy was performed; however, bone tumor curettage and artificial bone grafting were performed. The final pathological examination indicated osteoclastic, multinucleated giant cells. No malignant findings were observed, and the patient was diagnosed with GCTB. No recurrence was observed one year after surgery.</p><p><strong>Conclusion: </strong>This case highlights the occurrence of GCTB in a young patient at an uncommon location. Oncologic surgeons should consider GCTB as a differential diagnosis when an image shows translucency of the proximal fibula, even if the patient is younger than the usual age of onset.</p>","PeriodicalId":13364,"journal":{"name":"In vivo","volume":"39 4","pages":"2436-2440"},"PeriodicalIF":1.8000,"publicationDate":"2025-07-01","publicationTypes":"Journal Article","fieldsOfStudy":null,"isOpenAccess":false,"openAccessPdf":"https://www.ncbi.nlm.nih.gov/pmc/articles/PMC12223642/pdf/","citationCount":"0","resultStr":null,"platform":"Semanticscholar","paperid":null,"PeriodicalName":"In vivo","FirstCategoryId":"3","ListUrlMain":"https://doi.org/10.21873/invivo.14043","RegionNum":4,"RegionCategory":"医学","ArticlePicture":[],"TitleCN":null,"AbstractTextCN":null,"PMCID":null,"EPubDate":"","PubModel":"","JCR":"Q3","JCRName":"MEDICINE, RESEARCH & EXPERIMENTAL","Score":null,"Total":0}
引用次数: 0

Abstract

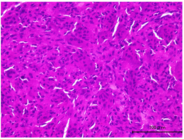
Background/aim: Giant cell tumor of the bone (GCTB) is a locally-aggressive, benign tumor that typically affects young adults between 20 and 40 years old.

Case report: A 15-year-old female presented to a primary care physician with pain in the lateral aspect of the left knee and was referred to our department with a suspected bone tumor owing to radiographic findings of osteolysis of the proximal fibula. Computed tomography indicated osteolysis of the proximal fibula, and the bone cortex was thin and partially irregular. Magnetic resonance imaging indicated a mass in the same area, with hyperintense changes in both T1- and T2-weighted images. No biopsy was performed; however, bone tumor curettage and artificial bone grafting were performed. The final pathological examination indicated osteoclastic, multinucleated giant cells. No malignant findings were observed, and the patient was diagnosed with GCTB. No recurrence was observed one year after surgery.

Conclusion: This case highlights the occurrence of GCTB in a young patient at an uncommon location. Oncologic surgeons should consider GCTB as a differential diagnosis when an image shows translucency of the proximal fibula, even if the patient is younger than the usual age of onset.

Abstract Image

Abstract Image

Abstract Image

15岁女性腓骨近端巨细胞瘤:回顾与病例报告。
背景/目的:骨巨细胞瘤(GCTB)是一种局部侵袭性良性肿瘤,通常发生在20 - 40岁的年轻人身上。病例报告:一名15岁女性因左膝外侧疼痛就诊于初级保健医生,并因影像学显示腓骨近端骨溶解疑似骨肿瘤而转介至我科。计算机断层扫描显示腓骨近端骨溶解,骨皮质薄且部分不规则。磁共振成像显示同一区域有肿块,T1和t2加权图像均有高信号改变。未行活检;然而,骨肿瘤刮除和人工骨移植进行。最终病理检查显示破骨细胞,多核巨细胞。未见恶性肿瘤,诊断为GCTB。术后1年无复发。结论:本病例突出了GCTB在一个不常见部位的年轻患者的发生。当图像显示腓骨近端半透明时,肿瘤外科医生应考虑将GCTB作为鉴别诊断,即使患者比通常发病年龄小。
本文章由计算机程序翻译,如有差异,请以英文原文为准。
求助全文
约1分钟内获得全文 求助全文
来源期刊
In vivo
In vivo 医学-医学:研究与实验
CiteScore
4.20
自引率
4.30%
发文量
330
审稿时长
3-8 weeks
期刊介绍: IN VIVO is an international peer-reviewed journal designed to bring together original high quality works and reviews on experimental and clinical biomedical research within the frames of physiology, pathology and disease management. The topics of IN VIVO include: 1. Experimental development and application of new diagnostic and therapeutic procedures; 2. Pharmacological and toxicological evaluation of new drugs, drug combinations and drug delivery systems; 3. Clinical trials; 4. Development and characterization of models of biomedical research; 5. Cancer diagnosis and treatment; 6. Immunotherapy and vaccines; 7. Radiotherapy, Imaging; 8. Tissue engineering, Regenerative medicine; 9. Carcinogenesis.
×
引用
GB/T 7714-2015
复制
MLA
复制
APA
复制
导出至
BibTeX EndNote RefMan NoteFirst NoteExpress
×
提示
您的信息不完整,为了账户安全,请先补充。
现在去补充
×
提示
您因"违规操作"
具体请查看互助需知
我知道了
×
提示
确定
请完成安全验证×
copy
已复制链接
快去分享给好友吧!
我知道了
右上角分享
点击右上角分享
0
联系我们:info@booksci.cn Book学术提供免费学术资源搜索服务,方便国内外学者检索中英文文献。致力于提供最便捷和优质的服务体验。 Copyright © 2023 布克学术 All rights reserved.
京ICP备2023020795号-1
ghs 京公网安备 11010802042870号
Book学术文献互助
Book学术文献互助群
群 号:604180095
Book学术官方微信