A rare case of dermoid cyst in the pancreas.

IF 0.5 Q4 RADIOLOGY, NUCLEAR MEDICINE & MEDICAL IMAGING
BJR Case Reports Pub Date : 2025-06-10 eCollection Date: 2025-05-01 DOI:10.1093/bjrcr/uaaf031
Syer Ree Tee, Zainab Al Manji, Donal Maguire, Niall Swan, Sinead H McEvoy
{"title":"A rare case of dermoid cyst in the pancreas.","authors":"Syer Ree Tee, Zainab Al Manji, Donal Maguire, Niall Swan, Sinead H McEvoy","doi":"10.1093/bjrcr/uaaf031","DOIUrl":null,"url":null,"abstract":"<p><p>Pancreatic dermoid cyst is an extremely rare benign neoplasm of the pancreas. Pre-operative diagnosis is often difficult due to its rarity and overlapping features with other pancreatic cystic neoplasms. We report a case of a 55-year-old male with an incidental finding of a lobulated complex cystic lesion in the tail of the pancreas on imaging and the challenges to obtain a definitive diagnosis. Due to suspicious features on imaging and elevated CA 19-9 tumour marker, surgical resection was recommended at the Pancreatic Multidisciplinary Team Meeting. The patient subsequently underwent a distal pancreatectomy and splenectomy which confirmed a dermoid cyst.</p>","PeriodicalId":45216,"journal":{"name":"BJR Case Reports","volume":"11 3","pages":"uaaf031"},"PeriodicalIF":0.5000,"publicationDate":"2025-06-10","publicationTypes":"Journal Article","fieldsOfStudy":null,"isOpenAccess":false,"openAccessPdf":"https://www.ncbi.nlm.nih.gov/pmc/articles/PMC12199762/pdf/","citationCount":"0","resultStr":null,"platform":"Semanticscholar","paperid":null,"PeriodicalName":"BJR Case Reports","FirstCategoryId":"1085","ListUrlMain":"https://doi.org/10.1093/bjrcr/uaaf031","RegionNum":0,"RegionCategory":null,"ArticlePicture":[],"TitleCN":null,"AbstractTextCN":null,"PMCID":null,"EPubDate":"2025/5/1 0:00:00","PubModel":"eCollection","JCR":"Q4","JCRName":"RADIOLOGY, NUCLEAR MEDICINE & MEDICAL IMAGING","Score":null,"Total":0}
引用次数: 0

Abstract

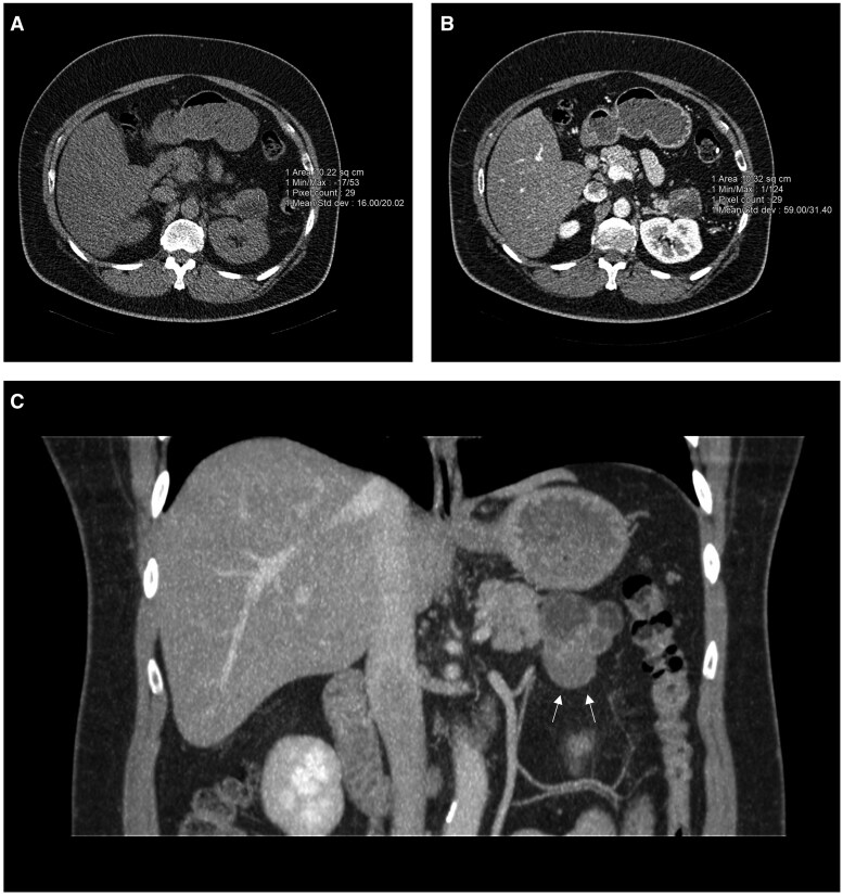
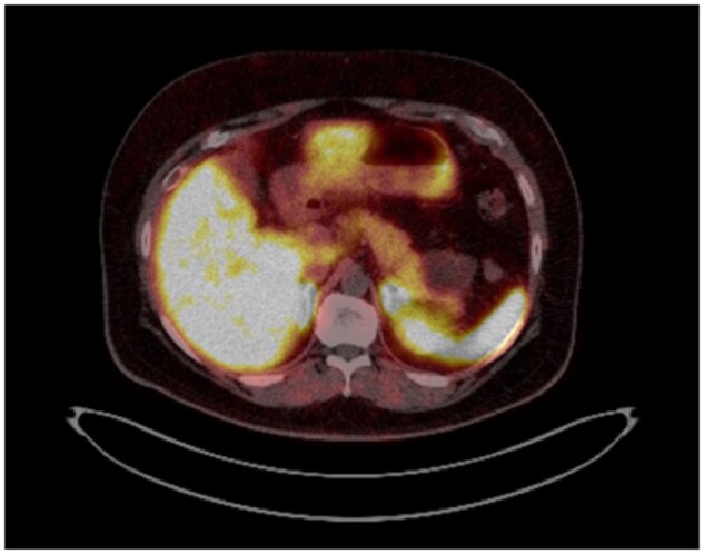
Pancreatic dermoid cyst is an extremely rare benign neoplasm of the pancreas. Pre-operative diagnosis is often difficult due to its rarity and overlapping features with other pancreatic cystic neoplasms. We report a case of a 55-year-old male with an incidental finding of a lobulated complex cystic lesion in the tail of the pancreas on imaging and the challenges to obtain a definitive diagnosis. Due to suspicious features on imaging and elevated CA 19-9 tumour marker, surgical resection was recommended at the Pancreatic Multidisciplinary Team Meeting. The patient subsequently underwent a distal pancreatectomy and splenectomy which confirmed a dermoid cyst.

Abstract Image

Abstract Image

Abstract Image

胰腺皮样囊肿1例。
胰腺皮样囊肿是一种极为罕见的胰腺良性肿瘤。术前诊断往往是困难的,因为它的罕见和重叠的特点与其他胰腺囊性肿瘤。我们报告一个病例55岁男性偶然发现一个分叶状复杂囊性病变在胰腺尾部的影像学和挑战,以获得明确的诊断。由于影像学上的可疑特征和CA 19-9肿瘤标志物升高,胰腺多学科小组会议建议手术切除。患者随后行远端胰腺切除术和脾切除术,证实为皮样囊肿。
本文章由计算机程序翻译,如有差异,请以英文原文为准。
求助全文
约1分钟内获得全文 求助全文
来源期刊
BJR Case Reports
BJR Case Reports RADIOLOGY, NUCLEAR MEDICINE & MEDICAL IMAGING-
自引率
0.00%
发文量
77
审稿时长
11 weeks
×
引用
GB/T 7714-2015
复制
MLA
复制
APA
复制
导出至
BibTeX EndNote RefMan NoteFirst NoteExpress
×
提示
您的信息不完整,为了账户安全,请先补充。
现在去补充
×
提示
您因"违规操作"
具体请查看互助需知
我知道了
×
提示
确定
请完成安全验证×
copy
已复制链接
快去分享给好友吧!
我知道了
右上角分享
点击右上角分享
0
联系我们:info@booksci.cn Book学术提供免费学术资源搜索服务,方便国内外学者检索中英文文献。致力于提供最便捷和优质的服务体验。 Copyright © 2023 布克学术 All rights reserved.
京ICP备2023020795号-1
ghs 京公网安备 11010802042870号
Book学术文献互助
Book学术文献互助群
群 号:604180095
Book学术官方微信