Radiofrequency catheter ablation of atrioventricular reentrant tachycardia in patient with interruption of inferior vena cava: A case report.

IF 1 Q3 MEDICINE, GENERAL & INTERNAL
Caspian Journal of Internal Medicine Pub Date : 2025-03-17 eCollection Date: 2025-01-01 DOI:10.22088/cjim.16.2.375
Mohammad Taghi Hedayati Godarzi, Saeed Abrotan, Fatemeh Younesi, Mohamad Rashid, Ali Bijani
{"title":"Radiofrequency catheter ablation of atrioventricular reentrant tachycardia in patient with interruption of inferior vena cava: A case report.","authors":"Mohammad Taghi Hedayati Godarzi, Saeed Abrotan, Fatemeh Younesi, Mohamad Rashid, Ali Bijani","doi":"10.22088/cjim.16.2.375","DOIUrl":null,"url":null,"abstract":"<p><strong>Background: </strong>Congenital anomalies can pose challenges during electrophysiology (EP) procedures in patients with tachyarrhythmias, making diagnosis and management of these cases quite difficult. An interrupted inferior vena cava, an uncommon congenital defect, is especially rare without associated congenital heart disease. In this setting, catheter ablation from femoral vein access becomes more challenging.</p><p><strong>Case presentation: </strong>A 23-year-old male with no cardiovascular risk factors or prior cardiovascular disease presented with atrioventricular reentrant tachycardia that converted to sinus rhythm after adenosine administration. The patient was scheduled for an electrophysiology study with catheter ablation if indicated. During the procedure, catheter advancement into the right atrium was unsuccessful, raising suspicion of an interrupted inferior vena cava (IVC). Radiofrequency ablation was subsequently performed successfully via the subclavian vein approach. Post-procedural computed tomography (CT) imaging confirmed interruption of the IVC.</p><p><strong>Conclusion: </strong>Accessing via the subclavian vein can facilitate catheter ablation when an interrupted inferior vena cava is present.</p>","PeriodicalId":9646,"journal":{"name":"Caspian Journal of Internal Medicine","volume":"16 2","pages":"375-380"},"PeriodicalIF":1.0000,"publicationDate":"2025-03-17","publicationTypes":"Journal Article","fieldsOfStudy":null,"isOpenAccess":false,"openAccessPdf":"https://www.ncbi.nlm.nih.gov/pmc/articles/PMC12189014/pdf/","citationCount":"0","resultStr":null,"platform":"Semanticscholar","paperid":null,"PeriodicalName":"Caspian Journal of Internal Medicine","FirstCategoryId":"1085","ListUrlMain":"https://doi.org/10.22088/cjim.16.2.375","RegionNum":0,"RegionCategory":null,"ArticlePicture":[],"TitleCN":null,"AbstractTextCN":null,"PMCID":null,"EPubDate":"2025/1/1 0:00:00","PubModel":"eCollection","JCR":"Q3","JCRName":"MEDICINE, GENERAL & INTERNAL","Score":null,"Total":0}
引用次数: 0

Abstract

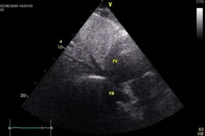
Background: Congenital anomalies can pose challenges during electrophysiology (EP) procedures in patients with tachyarrhythmias, making diagnosis and management of these cases quite difficult. An interrupted inferior vena cava, an uncommon congenital defect, is especially rare without associated congenital heart disease. In this setting, catheter ablation from femoral vein access becomes more challenging.

Case presentation: A 23-year-old male with no cardiovascular risk factors or prior cardiovascular disease presented with atrioventricular reentrant tachycardia that converted to sinus rhythm after adenosine administration. The patient was scheduled for an electrophysiology study with catheter ablation if indicated. During the procedure, catheter advancement into the right atrium was unsuccessful, raising suspicion of an interrupted inferior vena cava (IVC). Radiofrequency ablation was subsequently performed successfully via the subclavian vein approach. Post-procedural computed tomography (CT) imaging confirmed interruption of the IVC.

Conclusion: Accessing via the subclavian vein can facilitate catheter ablation when an interrupted inferior vena cava is present.

Abstract Image

Abstract Image

Abstract Image

射频导管消融治疗下腔静脉中断的房室折返性心动过速1例。
背景:先天性异常会给快速心律失常患者的电生理(EP)检查带来挑战,使这些病例的诊断和处理相当困难。下腔静脉中断是一种罕见的先天性缺陷,在无先天性心脏病的情况下尤为罕见。在这种情况下,从股静脉进入的导管消融变得更具挑战性。病例介绍:一名23岁男性,无心血管危险因素或既往心血管疾病,经腺苷治疗后出现房室重入性心动过速转化为窦性心律。如果有指征,患者将接受电生理检查和导管消融。在手术过程中,导管进入右心房不成功,引起怀疑下腔静脉(IVC)中断。随后通过锁骨下静脉入路成功进行射频消融。术后计算机断层扫描(CT)证实下腔静脉中断。结论:当存在下腔静脉中断时,经锁骨下静脉进入可促进导管消融。
本文章由计算机程序翻译,如有差异,请以英文原文为准。
求助全文
约1分钟内获得全文 求助全文
来源期刊
Caspian Journal of Internal Medicine
Caspian Journal of Internal Medicine MEDICINE, GENERAL & INTERNAL-
CiteScore
1.90
自引率
7.10%
发文量
90
审稿时长
20 weeks
×
引用
GB/T 7714-2015
复制
MLA
复制
APA
复制
导出至
BibTeX EndNote RefMan NoteFirst NoteExpress
×
提示
您的信息不完整,为了账户安全,请先补充。
现在去补充
×
提示
您因"违规操作"
具体请查看互助需知
我知道了
×
提示
确定
请完成安全验证×
copy
已复制链接
快去分享给好友吧!
我知道了
右上角分享
点击右上角分享
0
联系我们:info@booksci.cn Book学术提供免费学术资源搜索服务,方便国内外学者检索中英文文献。致力于提供最便捷和优质的服务体验。 Copyright © 2023 布克学术 All rights reserved.
京ICP备2023020795号-1
ghs 京公网安备 11010802042870号
Book学术文献互助
Book学术文献互助群
群 号:604180095
Book学术官方微信