A Case Report of Spontaneous Bladder Rupture: An Uncommon Cause of Ascites.

IF 0.7 Q4 ONCOLOGY
Case Reports in Oncology Pub Date : 2025-05-28 eCollection Date: 2025-01-01 DOI:10.1159/000546581
Caio Heleno, Helena Miranda, Nico Gotera, Goetz Kloecker
{"title":"A Case Report of Spontaneous Bladder Rupture: An Uncommon Cause of Ascites.","authors":"Caio Heleno, Helena Miranda, Nico Gotera, Goetz Kloecker","doi":"10.1159/000546581","DOIUrl":null,"url":null,"abstract":"<p><strong>Introduction: </strong>Spontaneous bladder rupture (SBR) is a rare cause of ascites. A systematic review identified only 351 reported cases in the literature. This condition is frequently misdiagnosed due to vague symptom presentation and failure to promptly link SBR to its common risk factors, such as pelvic irradiation and alcohol intoxication. Its presentation is not different from the most common causes of ascites, and the differential diagnosis is essential.</p><p><strong>Case presentation: </strong>Here, we present a case of a male with liver disease with portal hypertension, a previous history of cancer, and prior surgery with an artificial urinary sphincter placement who developed acute recurrent ascites and rapidly progressing acute kidney failure requiring dialysis. Extensive workup revealed that the kidney failure was caused by SBR, resulting in urinary ascites. The bladder rupture was treated by surgery, leading to complete resolution of the patient's symptoms.</p><p><strong>Conclusion: </strong>The diagnosis of SBR requires a high level of suspicion due to its rarity and nonspecific symptoms. Here, we present an extensive review of differential diagnoses of ascites and the pathway for the final diagnosis of SBR.</p>","PeriodicalId":9625,"journal":{"name":"Case Reports in Oncology","volume":"18 1","pages":"845-855"},"PeriodicalIF":0.7000,"publicationDate":"2025-05-28","publicationTypes":"Journal Article","fieldsOfStudy":null,"isOpenAccess":false,"openAccessPdf":"https://www.ncbi.nlm.nih.gov/pmc/articles/PMC12201938/pdf/","citationCount":"0","resultStr":null,"platform":"Semanticscholar","paperid":null,"PeriodicalName":"Case Reports in Oncology","FirstCategoryId":"1085","ListUrlMain":"https://doi.org/10.1159/000546581","RegionNum":0,"RegionCategory":null,"ArticlePicture":[],"TitleCN":null,"AbstractTextCN":null,"PMCID":null,"EPubDate":"2025/1/1 0:00:00","PubModel":"eCollection","JCR":"Q4","JCRName":"ONCOLOGY","Score":null,"Total":0}
引用次数: 0

Abstract

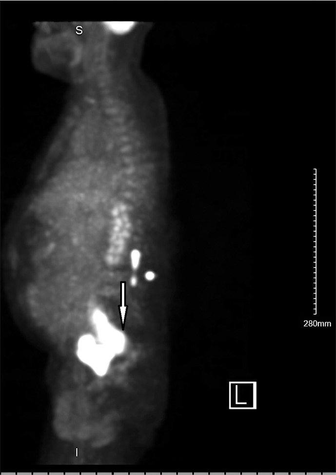
Introduction: Spontaneous bladder rupture (SBR) is a rare cause of ascites. A systematic review identified only 351 reported cases in the literature. This condition is frequently misdiagnosed due to vague symptom presentation and failure to promptly link SBR to its common risk factors, such as pelvic irradiation and alcohol intoxication. Its presentation is not different from the most common causes of ascites, and the differential diagnosis is essential.

Case presentation: Here, we present a case of a male with liver disease with portal hypertension, a previous history of cancer, and prior surgery with an artificial urinary sphincter placement who developed acute recurrent ascites and rapidly progressing acute kidney failure requiring dialysis. Extensive workup revealed that the kidney failure was caused by SBR, resulting in urinary ascites. The bladder rupture was treated by surgery, leading to complete resolution of the patient's symptoms.

Conclusion: The diagnosis of SBR requires a high level of suspicion due to its rarity and nonspecific symptoms. Here, we present an extensive review of differential diagnoses of ascites and the pathway for the final diagnosis of SBR.

Abstract Image

Abstract Image

Abstract Image

自发性膀胱破裂1例:一种罕见的腹水原因。
自发性膀胱破裂(SBR)是一种罕见的引起腹水的原因。一项系统综述在文献中只发现了351例报告病例。由于症状表现模糊,未能及时将SBR与其常见危险因素(如骨盆照射和酒精中毒)联系起来,这种情况经常被误诊。它的表现与最常见的腹水原因没有什么不同,鉴别诊断是必不可少的。病例介绍:在此,我们报告一例男性肝病伴门静脉高压症,既往有癌症病史,既往有人工尿括约肌置入术,并发急性复发性腹水和快速进展的急性肾衰竭,需要透析。广泛的检查显示肾衰竭是由SBR引起的,导致尿腹水。膀胱破裂通过手术治疗,导致患者的症状完全解决。结论:SBR因其罕见且无特异性症状,诊断需高度怀疑。在这里,我们提出了腹水的鉴别诊断和SBR的最终诊断途径的广泛回顾。
本文章由计算机程序翻译,如有差异,请以英文原文为准。
求助全文
约1分钟内获得全文 求助全文
来源期刊
CiteScore
1.40
自引率
12.50%
发文量
151
审稿时长
7 weeks
×
引用
GB/T 7714-2015
复制
MLA
复制
APA
复制
导出至
BibTeX EndNote RefMan NoteFirst NoteExpress
×
提示
您的信息不完整,为了账户安全,请先补充。
现在去补充
×
提示
您因"违规操作"
具体请查看互助需知
我知道了
×
提示
确定
请完成安全验证×
copy
已复制链接
快去分享给好友吧!
我知道了
右上角分享
点击右上角分享
0
联系我们:info@booksci.cn Book学术提供免费学术资源搜索服务,方便国内外学者检索中英文文献。致力于提供最便捷和优质的服务体验。 Copyright © 2023 布克学术 All rights reserved.
京ICP备2023020795号-1
ghs 京公网安备 11010802042870号
Book学术文献互助
Book学术文献互助群
群 号:604180095
Book学术官方微信