Autophagy-targeted NBR1–p62/SQSTM1 complexes promote breast cancer metastasis by sequestering ITCH

IF 19.1 1区 生物学 Q1 CELL BIOLOGY
Gourish Mondal, Hugo Gonzalez, Timothy Marsh, Andrew M. Leidal, Ariadne Vlahakis, Pravin R. Phadatare, Sofı́a Bustamante Eguiguren, Michael Bruck, Akul Naik, Mark Jesus M. Magbanua, Laura A. Huppert, Arun P. Wiita, Jeroen P. Roose, Jennifer M. Rosenbluth, Jayanta Debnath
{"title":"Autophagy-targeted NBR1–p62/SQSTM1 complexes promote breast cancer metastasis by sequestering ITCH","authors":"Gourish Mondal, Hugo Gonzalez, Timothy Marsh, Andrew M. Leidal, Ariadne Vlahakis, Pravin R. Phadatare, Sofı́a Bustamante Eguiguren, Michael Bruck, Akul Naik, Mark Jesus M. Magbanua, Laura A. Huppert, Arun P. Wiita, Jeroen P. Roose, Jennifer M. Rosenbluth, Jayanta Debnath","doi":"10.1038/s41556-025-01689-8","DOIUrl":null,"url":null,"abstract":"Autophagy deficiency in breast cancer promotes metastasis through the accumulation of the autophagy cargo receptor NBR1. Here we show that autophagy normally suppresses breast cancer metastasis by enabling the clearance of NBR1–p62/SQSTM1 complexes that instruct p63-mediated pro-metastatic basal differentiation programmes. When autophagy is inhibited, the autophagy cargo receptors NBR1 and p62/SQSTM1 accumulate within biomolecular condensates in cells, which drives basal differentiation in both mouse and human breast cancer models. Mechanistically, these NBR1–p62/SQSTM1 complexes sequester ITCH, a ubiquitin ligase that degrades and negatively regulates p63 in breast cancer cells, thereby stabilizing and activating p63. Accordingly, mutant forms of NBR1 unable to sequester ITCH into NBR1–p62/SQSTM1 complexes do not promote basal differentiation and metastasis in vivo. Overall, our findings illuminate how proteostatic defects arising in the setting of therapeutic autophagy inhibition modulate epithelial lineage fidelity and metastatic progression. Mondal et al. report that autophagy inhibition promotes p63 activation and metastasis in breast cancer. This process depends on NBR1, which forms cytoplasmic p62/SQSTM1 condensates that sequester the ITCH ubiquitin ligase and prevents p63 degradation.","PeriodicalId":18977,"journal":{"name":"Nature Cell Biology","volume":"27 7","pages":"1098-1113"},"PeriodicalIF":19.1000,"publicationDate":"2025-06-27","publicationTypes":"Journal Article","fieldsOfStudy":null,"isOpenAccess":false,"openAccessPdf":"","citationCount":"0","resultStr":null,"platform":"Semanticscholar","paperid":null,"PeriodicalName":"Nature Cell Biology","FirstCategoryId":"99","ListUrlMain":"https://www.nature.com/articles/s41556-025-01689-8","RegionNum":1,"RegionCategory":"生物学","ArticlePicture":[],"TitleCN":null,"AbstractTextCN":null,"PMCID":null,"EPubDate":"","PubModel":"","JCR":"Q1","JCRName":"CELL BIOLOGY","Score":null,"Total":0}
引用次数: 0

Abstract

Autophagy deficiency in breast cancer promotes metastasis through the accumulation of the autophagy cargo receptor NBR1. Here we show that autophagy normally suppresses breast cancer metastasis by enabling the clearance of NBR1–p62/SQSTM1 complexes that instruct p63-mediated pro-metastatic basal differentiation programmes. When autophagy is inhibited, the autophagy cargo receptors NBR1 and p62/SQSTM1 accumulate within biomolecular condensates in cells, which drives basal differentiation in both mouse and human breast cancer models. Mechanistically, these NBR1–p62/SQSTM1 complexes sequester ITCH, a ubiquitin ligase that degrades and negatively regulates p63 in breast cancer cells, thereby stabilizing and activating p63. Accordingly, mutant forms of NBR1 unable to sequester ITCH into NBR1–p62/SQSTM1 complexes do not promote basal differentiation and metastasis in vivo. Overall, our findings illuminate how proteostatic defects arising in the setting of therapeutic autophagy inhibition modulate epithelial lineage fidelity and metastatic progression. Mondal et al. report that autophagy inhibition promotes p63 activation and metastasis in breast cancer. This process depends on NBR1, which forms cytoplasmic p62/SQSTM1 condensates that sequester the ITCH ubiquitin ligase and prevents p63 degradation.

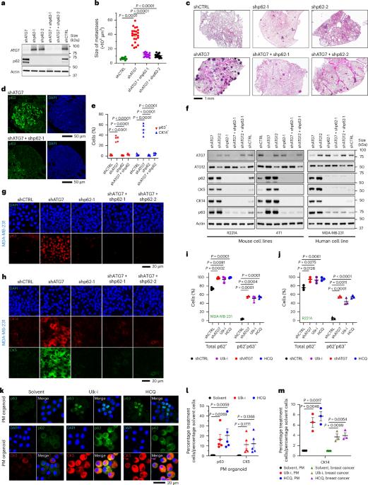
Abstract Image

靶向自噬的NBR1-p62 /SQSTM1复合物通过隔离瘙痒促进乳腺癌转移
乳腺癌自噬缺陷通过自噬货物受体NBR1的积累促进转移。本研究表明,自噬通常通过清除NBR1-p62 /SQSTM1复合物来抑制乳腺癌转移,NBR1-p62 /SQSTM1复合物指导p63介导的促转移基础分化程序。当自噬被抑制时,自噬货物受体NBR1和p62/SQSTM1在细胞内的生物分子凝聚物中积累,从而驱动小鼠和人乳腺癌模型的基础分化。在机制上,这些NBR1-p62 /SQSTM1复合物隔离ITCH,一种降解并负调控乳腺癌细胞中p63的泛素连接酶,从而稳定和激活p63。因此,无法将ITCH隔离到NBR1 - p62/SQSTM1复合物中的NBR1突变形式在体内不会促进基础分化和转移。总的来说,我们的研究结果阐明了在治疗性自噬抑制的情况下产生的蛋白抑制缺陷如何调节上皮谱系的保真度和转移进展。
本文章由计算机程序翻译,如有差异,请以英文原文为准。
求助全文
约1分钟内获得全文 求助全文
来源期刊
Nature Cell Biology
Nature Cell Biology 生物-细胞生物学
CiteScore
28.40
自引率
0.90%
发文量
219
审稿时长
3 months
期刊介绍: Nature Cell Biology, a prestigious journal, upholds a commitment to publishing papers of the highest quality across all areas of cell biology, with a particular focus on elucidating mechanisms underlying fundamental cell biological processes. The journal's broad scope encompasses various areas of interest, including but not limited to: -Autophagy -Cancer biology -Cell adhesion and migration -Cell cycle and growth -Cell death -Chromatin and epigenetics -Cytoskeletal dynamics -Developmental biology -DNA replication and repair -Mechanisms of human disease -Mechanobiology -Membrane traffic and dynamics -Metabolism -Nuclear organization and dynamics -Organelle biology -Proteolysis and quality control -RNA biology -Signal transduction -Stem cell biology
×
引用
GB/T 7714-2015
复制
MLA
复制
APA
复制
导出至
BibTeX EndNote RefMan NoteFirst NoteExpress
×
提示
您的信息不完整,为了账户安全,请先补充。
现在去补充
×
提示
您因"违规操作"
具体请查看互助需知
我知道了
×
提示
确定
请完成安全验证×
copy
已复制链接
快去分享给好友吧!
我知道了
右上角分享
点击右上角分享
0
联系我们:info@booksci.cn Book学术提供免费学术资源搜索服务,方便国内外学者检索中英文文献。致力于提供最便捷和优质的服务体验。 Copyright © 2023 布克学术 All rights reserved.
京ICP备2023020795号-1
ghs 京公网安备 11010802042870号
Book学术文献互助
Book学术文献互助群
群 号:604180095
Book学术官方微信