Collateral Rescue, Arterial Burden: Untreated Takayasu Arteritis and its Long-Term Complications.

Q4 Medicine
Mediterranean Journal of Rheumatology Pub Date : 2025-01-22 eCollection Date: 2025-03-01 DOI:10.31138/mjr.230524.cra
Ikwinder Preet Kaur, Steven Morales-Rivera, Victoria Cuello, Gurjit S Kaeley
{"title":"Collateral Rescue, Arterial Burden: Untreated Takayasu Arteritis and its Long-Term Complications.","authors":"Ikwinder Preet Kaur, Steven Morales-Rivera, Victoria Cuello, Gurjit S Kaeley","doi":"10.31138/mjr.230524.cra","DOIUrl":null,"url":null,"abstract":"","PeriodicalId":32816,"journal":{"name":"Mediterranean Journal of Rheumatology","volume":"36 1","pages":"140-143"},"PeriodicalIF":0.0000,"publicationDate":"2025-01-22","publicationTypes":"Journal Article","fieldsOfStudy":null,"isOpenAccess":false,"openAccessPdf":"https://www.ncbi.nlm.nih.gov/pmc/articles/PMC12183457/pdf/","citationCount":"0","resultStr":null,"platform":"Semanticscholar","paperid":null,"PeriodicalName":"Mediterranean Journal of Rheumatology","FirstCategoryId":"1085","ListUrlMain":"https://doi.org/10.31138/mjr.230524.cra","RegionNum":0,"RegionCategory":null,"ArticlePicture":[],"TitleCN":null,"AbstractTextCN":null,"PMCID":null,"EPubDate":"2025/3/1 0:00:00","PubModel":"eCollection","JCR":"Q4","JCRName":"Medicine","Score":null,"Total":0}
引用次数: 0

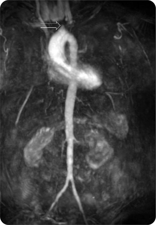
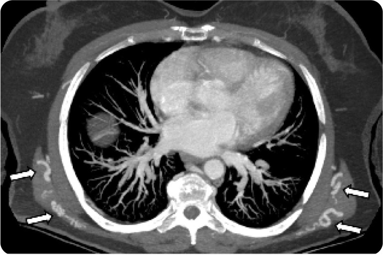
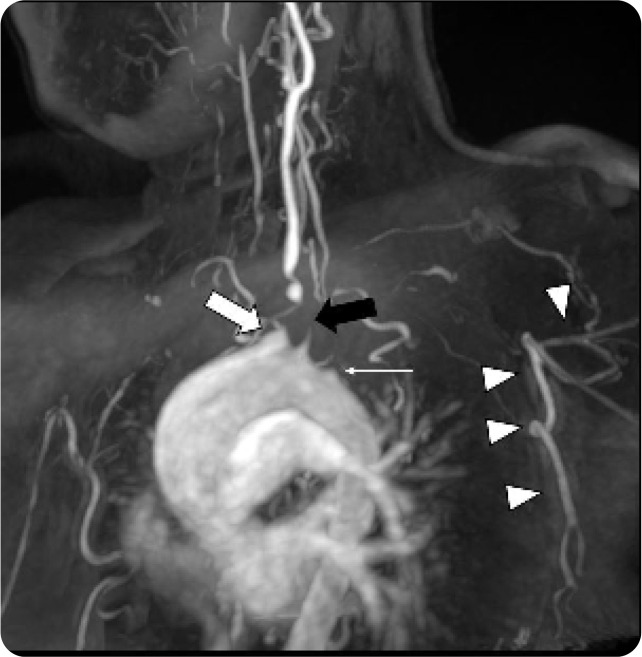
Abstract Image

Abstract Image

Abstract Image

侧支抢救,动脉负担:未治疗的高须动脉炎及其长期并发症。
本文章由计算机程序翻译,如有差异,请以英文原文为准。
求助全文
约1分钟内获得全文 求助全文
来源期刊
CiteScore
2.00
自引率
0.00%
发文量
42
审稿时长
8 weeks
×
引用
GB/T 7714-2015
复制
MLA
复制
APA
复制
导出至
BibTeX EndNote RefMan NoteFirst NoteExpress
×
提示
您的信息不完整,为了账户安全,请先补充。
现在去补充
×
提示
您因"违规操作"
具体请查看互助需知
我知道了
×
提示
确定
请完成安全验证×
copy
已复制链接
快去分享给好友吧!
我知道了
右上角分享
点击右上角分享
0
联系我们:info@booksci.cn Book学术提供免费学术资源搜索服务,方便国内外学者检索中英文文献。致力于提供最便捷和优质的服务体验。 Copyright © 2023 布克学术 All rights reserved.
京ICP备2023020795号-1
ghs 京公网安备 11010802042870号
Book学术文献互助
Book学术文献互助群
群 号:604180095
Book学术官方微信