The patterns of dynamic changes in blood toxicant levels, prognosis, and regression in a case of occupational chlorfenapyr exposure.

IF 4.6 Q2 TOXICOLOGY
Frontiers in toxicology Pub Date : 2025-06-06 eCollection Date: 2025-01-01 DOI:10.3389/ftox.2025.1570887
Jianjian Liu, Zhaozhao Shan, Chen Wang, Xiangdong Jian, Baotian Kan, Yingli Ren
{"title":"The patterns of dynamic changes in blood toxicant levels, prognosis, and regression in a case of occupational chlorfenapyr exposure.","authors":"Jianjian Liu, Zhaozhao Shan, Chen Wang, Xiangdong Jian, Baotian Kan, Yingli Ren","doi":"10.3389/ftox.2025.1570887","DOIUrl":null,"url":null,"abstract":"<p><strong>Objective: </strong>In July 2024, cases of chlorfenapyr poisoning occurred consecutively among workers in a chlorfenapyr production plant in Shandong Province. This study aimed to analyze the clinical characteristics of this event and discuss the significance of toxicant testing and imaging examinations in guiding clinical practice.</p><p><strong>Methods: </strong>We retrospectively analyzed the clinical data of four patients with occupational chlorfenapyr poisoning.</p><p><strong>Results: </strong>All four patients worked in the same factory before admission; three worked in the same workshop, while one worked in the product inspection department. Patients three and four had no obvious clinical manifestations, whereas patients one and two primarily presented with hyperhidrosis, fever, and neurological symptoms. Laboratory tests revealed abnormalities in blood counts, liver and kidney function indicators, and cardiac enzyme profiles in some patients. Magnetic resonance imaging revealed varying degrees of abnormal signal changes in the brain and spinal cord in Patients 1, 2, and 3. After comprehensive treatment with blood purification, organ protection, and symptomatic treatment, chlorfenapyr blood concentrations in patients 1, 2, and 3 decreased. Patients one and three were discharged on the 30th and 14th days of admission, respectively, while patient 2, whose condition worsened, died on the 11th day of treatment after unsuccessful resuscitation.</p><p><strong>Conclusion: </strong>Patients with occupational chlorfenapyr poisoning may have no obvious clinical symptoms or may present with excessive sweating and fatigue in the early stages, unlike patients who have ingested chlorfenapyr orally. Therefore, early detection and imaging examinations are crucial for an accurate diagnosis.</p>","PeriodicalId":73111,"journal":{"name":"Frontiers in toxicology","volume":"7 ","pages":"1570887"},"PeriodicalIF":4.6000,"publicationDate":"2025-06-06","publicationTypes":"Journal Article","fieldsOfStudy":null,"isOpenAccess":false,"openAccessPdf":"https://www.ncbi.nlm.nih.gov/pmc/articles/PMC12179209/pdf/","citationCount":"0","resultStr":null,"platform":"Semanticscholar","paperid":null,"PeriodicalName":"Frontiers in toxicology","FirstCategoryId":"1085","ListUrlMain":"https://doi.org/10.3389/ftox.2025.1570887","RegionNum":0,"RegionCategory":null,"ArticlePicture":[],"TitleCN":null,"AbstractTextCN":null,"PMCID":null,"EPubDate":"2025/1/1 0:00:00","PubModel":"eCollection","JCR":"Q2","JCRName":"TOXICOLOGY","Score":null,"Total":0}
引用次数: 0

Abstract

Objective: In July 2024, cases of chlorfenapyr poisoning occurred consecutively among workers in a chlorfenapyr production plant in Shandong Province. This study aimed to analyze the clinical characteristics of this event and discuss the significance of toxicant testing and imaging examinations in guiding clinical practice.

Methods: We retrospectively analyzed the clinical data of four patients with occupational chlorfenapyr poisoning.

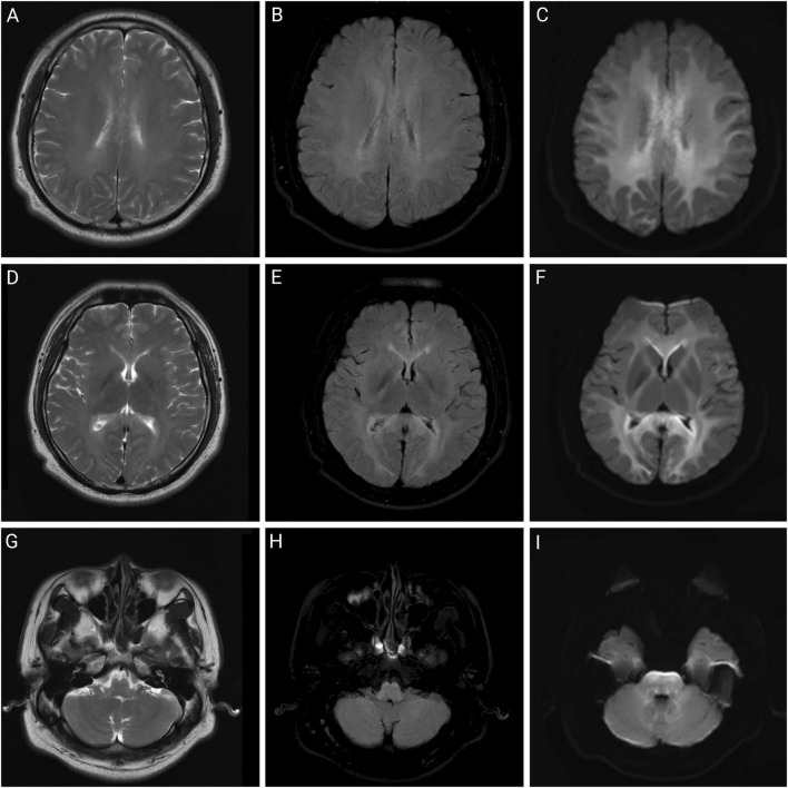
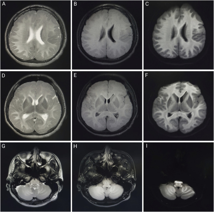
Results: All four patients worked in the same factory before admission; three worked in the same workshop, while one worked in the product inspection department. Patients three and four had no obvious clinical manifestations, whereas patients one and two primarily presented with hyperhidrosis, fever, and neurological symptoms. Laboratory tests revealed abnormalities in blood counts, liver and kidney function indicators, and cardiac enzyme profiles in some patients. Magnetic resonance imaging revealed varying degrees of abnormal signal changes in the brain and spinal cord in Patients 1, 2, and 3. After comprehensive treatment with blood purification, organ protection, and symptomatic treatment, chlorfenapyr blood concentrations in patients 1, 2, and 3 decreased. Patients one and three were discharged on the 30th and 14th days of admission, respectively, while patient 2, whose condition worsened, died on the 11th day of treatment after unsuccessful resuscitation.

Conclusion: Patients with occupational chlorfenapyr poisoning may have no obvious clinical symptoms or may present with excessive sweating and fatigue in the early stages, unlike patients who have ingested chlorfenapyr orally. Therefore, early detection and imaging examinations are crucial for an accurate diagnosis.

Abstract Image

Abstract Image

Abstract Image

职业性氯非那韦暴露的血液毒物水平的动态变化模式、预后和消退。
目的:了解山东省某氯虫腈生产厂于2024年7月连续发生的氯虫腈中毒病例。本研究旨在分析该事件的临床特点,探讨毒物检测和影像学检查对指导临床的意义。方法:回顾性分析4例职业性氯非那韦中毒患者的临床资料。结果:4例患者入院前均在同一工厂工作;3人在同一车间工作,1人在产品检验部门工作。患者3、4无明显临床表现,患者1、2主要表现为多汗、发热、神经系统症状。实验室检查显示,一些患者的血细胞计数、肝肾功能指标和心脏酶谱出现异常。磁共振成像显示患者1、2和3的脑和脊髓有不同程度的异常信号改变。经血液净化、脏器保护、对症治疗等综合治疗后,患者1、2、3的氯虫那韦血药浓度下降。患者1、3分别于入院第30天和第14天出院,患者2病情加重,抢救失败,于治疗第11天死亡。结论:职业性氯非那韦中毒患者与口服氯非那韦中毒患者不同,早期无明显临床症状,可出现多汗、疲劳等症状。因此,早期发现和影像学检查对于准确诊断至关重要。
本文章由计算机程序翻译,如有差异,请以英文原文为准。
求助全文
约1分钟内获得全文 求助全文
来源期刊
CiteScore
3.80
自引率
0.00%
发文量
0
审稿时长
13 weeks
×
引用
GB/T 7714-2015
复制
MLA
复制
APA
复制
导出至
BibTeX EndNote RefMan NoteFirst NoteExpress
×
提示
您的信息不完整,为了账户安全,请先补充。
现在去补充
×
提示
您因"违规操作"
具体请查看互助需知
我知道了
×
提示
确定
请完成安全验证×
copy
已复制链接
快去分享给好友吧!
我知道了
右上角分享
点击右上角分享
0
联系我们:info@booksci.cn Book学术提供免费学术资源搜索服务,方便国内外学者检索中英文文献。致力于提供最便捷和优质的服务体验。 Copyright © 2023 布克学术 All rights reserved.
京ICP备2023020795号-1
ghs 京公网安备 11010802042870号
Book学术文献互助
Book学术文献互助群
群 号:604180095
Book学术官方微信