An unusual case of inflammatory linear verrucous epidermal nevus on the labia majora.

IF 0.7 Q4 INFECTIOUS DISEASES
Edna Maria Rodriguez, Rochelle Cheryl Monteiro
{"title":"An unusual case of inflammatory linear verrucous epidermal nevus on the labia majora.","authors":"Edna Maria Rodriguez, Rochelle Cheryl Monteiro","doi":"10.4103/ijstd.ijstd_128_24","DOIUrl":null,"url":null,"abstract":"<p><p>Inflammatory linear verrucous epidermal nevus (ILVEN) is a variant of keratinocytic epidermal nevi. In contrast to noninflammatory epidermal naevi, ILVEN is less common, typically erythematous, and persistently pruritic. It usually appears at birth or in early childhood and follows a linear distribution along Blaschko's lines. Genital or perigenital involvement is relatively rare. We report a case of ILVEN on the labia majora of an 11-year-old female. ILVEN usually presents on extremities and trunk, but is uncommon on the genitalia.</p>","PeriodicalId":44880,"journal":{"name":"Indian Journal of Sexually Transmitted Diseases and AIDS","volume":"46 1","pages":"69-70"},"PeriodicalIF":0.7000,"publicationDate":"2025-01-01","publicationTypes":"Journal Article","fieldsOfStudy":null,"isOpenAccess":false,"openAccessPdf":"https://www.ncbi.nlm.nih.gov/pmc/articles/PMC12180888/pdf/","citationCount":"0","resultStr":null,"platform":"Semanticscholar","paperid":null,"PeriodicalName":"Indian Journal of Sexually Transmitted Diseases and AIDS","FirstCategoryId":"1085","ListUrlMain":"https://doi.org/10.4103/ijstd.ijstd_128_24","RegionNum":0,"RegionCategory":null,"ArticlePicture":[],"TitleCN":null,"AbstractTextCN":null,"PMCID":null,"EPubDate":"2025/6/9 0:00:00","PubModel":"Epub","JCR":"Q4","JCRName":"INFECTIOUS DISEASES","Score":null,"Total":0}
引用次数: 0

Abstract

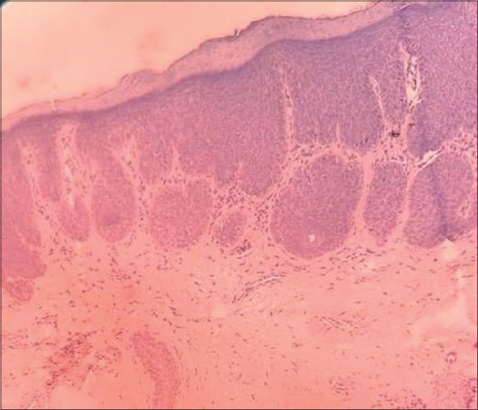
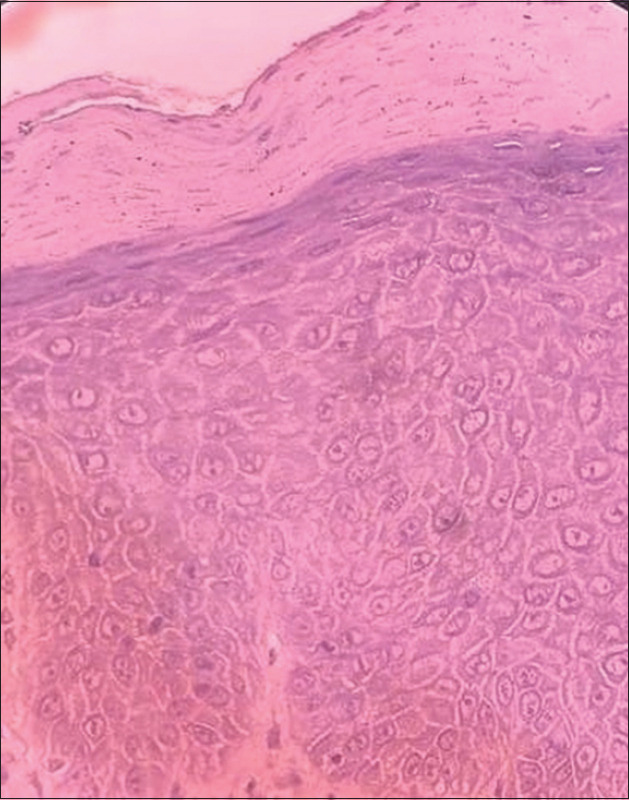
Inflammatory linear verrucous epidermal nevus (ILVEN) is a variant of keratinocytic epidermal nevi. In contrast to noninflammatory epidermal naevi, ILVEN is less common, typically erythematous, and persistently pruritic. It usually appears at birth or in early childhood and follows a linear distribution along Blaschko's lines. Genital or perigenital involvement is relatively rare. We report a case of ILVEN on the labia majora of an 11-year-old female. ILVEN usually presents on extremities and trunk, but is uncommon on the genitalia.

Abstract Image

Abstract Image

Abstract Image

大阴唇上炎性线状疣状表皮痣的罕见病例。
炎性线状疣状表皮痣(ILVEN)是角化细胞性表皮痣的一种变体。与非炎症性表皮痣相比,ILVEN不太常见,通常为红斑,并持续瘙痒。它通常出现在出生时或儿童早期,并沿着布拉斯科线呈线性分布。累及生殖器官或先天性疾病相对罕见。我们报告一个11岁女性大阴唇的ILVEN病例。ILVEN通常出现在四肢和躯干,但在生殖器上不常见。
本文章由计算机程序翻译,如有差异,请以英文原文为准。
求助全文
约1分钟内获得全文 求助全文
来源期刊
CiteScore
0.60
自引率
25.00%
发文量
34
×
引用
GB/T 7714-2015
复制
MLA
复制
APA
复制
导出至
BibTeX EndNote RefMan NoteFirst NoteExpress
×
提示
您的信息不完整,为了账户安全,请先补充。
现在去补充
×
提示
您因"违规操作"
具体请查看互助需知
我知道了
×
提示
确定
请完成安全验证×
copy
已复制链接
快去分享给好友吧!
我知道了
右上角分享
点击右上角分享
0
联系我们:info@booksci.cn Book学术提供免费学术资源搜索服务,方便国内外学者检索中英文文献。致力于提供最便捷和优质的服务体验。 Copyright © 2023 布克学术 All rights reserved.
京ICP备2023020795号-1
ghs 京公网安备 11010802042870号
Book学术文献互助
Book学术文献互助群
群 号:604180095
Book学术官方微信