A case of vulvar bowenoid papulosis.

IF 0.7 Q4 INFECTIOUS DISEASES
M K Mrunalini Rayi, M Ramesh Bhat, Jyothi Jayaraman, Rochelle Cheryl Monteiro, Jacintha Martis
{"title":"A case of vulvar bowenoid papulosis.","authors":"M K Mrunalini Rayi, M Ramesh Bhat, Jyothi Jayaraman, Rochelle Cheryl Monteiro, Jacintha Martis","doi":"10.4103/ijstd.ijstd_112_24","DOIUrl":null,"url":null,"abstract":"<p><p>Bowenoid Papulosis (BP) is an uncommon, Human Papillomavirus (HPV) induced genital dysplasia, usually observed in younger, sexually active individuals. We report a case of a 37-year-old woman who presented with dark, itchy lesions over her external genitalia of 6 months duration. Clinical examination and histopathological evaluation confirmed the diagnosis of BP. The patient was managed with weekly cryotherapy sessions and was advised to undergo annual cytological screening.</p>","PeriodicalId":44880,"journal":{"name":"Indian Journal of Sexually Transmitted Diseases and AIDS","volume":"46 1","pages":"83-85"},"PeriodicalIF":0.7000,"publicationDate":"2025-01-01","publicationTypes":"Journal Article","fieldsOfStudy":null,"isOpenAccess":false,"openAccessPdf":"https://www.ncbi.nlm.nih.gov/pmc/articles/PMC12180887/pdf/","citationCount":"0","resultStr":null,"platform":"Semanticscholar","paperid":null,"PeriodicalName":"Indian Journal of Sexually Transmitted Diseases and AIDS","FirstCategoryId":"1085","ListUrlMain":"https://doi.org/10.4103/ijstd.ijstd_112_24","RegionNum":0,"RegionCategory":null,"ArticlePicture":[],"TitleCN":null,"AbstractTextCN":null,"PMCID":null,"EPubDate":"2025/6/9 0:00:00","PubModel":"Epub","JCR":"Q4","JCRName":"INFECTIOUS DISEASES","Score":null,"Total":0}
引用次数: 0

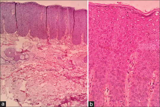
Abstract

Bowenoid Papulosis (BP) is an uncommon, Human Papillomavirus (HPV) induced genital dysplasia, usually observed in younger, sexually active individuals. We report a case of a 37-year-old woman who presented with dark, itchy lesions over her external genitalia of 6 months duration. Clinical examination and histopathological evaluation confirmed the diagnosis of BP. The patient was managed with weekly cryotherapy sessions and was advised to undergo annual cytological screening.

Abstract Image

Abstract Image

外阴鲍氏样丘疹病1例。
鲍温样丘疹病(BP)是一种罕见的,人乳头瘤病毒(HPV)引起的生殖器发育不良,通常观察到年轻,性活跃的个体。我们报告一个37岁的妇女谁提出了黑暗,瘙痒病变超过她的外生殖器6个月的持续时间。临床检查和组织病理学检查证实了BP的诊断。患者每周接受冷冻治疗,并建议每年进行细胞学筛查。
本文章由计算机程序翻译,如有差异,请以英文原文为准。
求助全文
约1分钟内获得全文 求助全文
来源期刊
CiteScore
0.60
自引率
25.00%
发文量
34
×
引用
GB/T 7714-2015
复制
MLA
复制
APA
复制
导出至
BibTeX EndNote RefMan NoteFirst NoteExpress
×
提示
您的信息不完整,为了账户安全,请先补充。
现在去补充
×
提示
您因"违规操作"
具体请查看互助需知
我知道了
×
提示
确定
请完成安全验证×
copy
已复制链接
快去分享给好友吧!
我知道了
右上角分享
点击右上角分享
0
联系我们:info@booksci.cn Book学术提供免费学术资源搜索服务,方便国内外学者检索中英文文献。致力于提供最便捷和优质的服务体验。 Copyright © 2023 布克学术 All rights reserved.
京ICP备2023020795号-1
ghs 京公网安备 11010802042870号
Book学术文献互助
Book学术文献互助群
群 号:604180095
Book学术官方微信