Inter-observer variability in scoring of white matter injury on brain magnetic resonance imaging in moderate-to-late preterm infants.

IF 2.3 3区 医学 Q2 PEDIATRICS
Pediatric Radiology Pub Date : 2025-07-01 Epub Date: 2025-06-20 DOI:10.1007/s00247-025-06297-0
Kyle Grabowski, Liam Olsen, Greg Gamble, David Perry, Jane Harding
{"title":"Inter-observer variability in scoring of white matter injury on brain magnetic resonance imaging in moderate-to-late preterm infants.","authors":"Kyle Grabowski, Liam Olsen, Greg Gamble, David Perry, Jane Harding","doi":"10.1007/s00247-025-06297-0","DOIUrl":null,"url":null,"abstract":"<p><strong>Background: </strong>Punctate white matter injury on brain magnetic resonance imaging (MRI) is described in very preterm infants (< 32 weeks' gestation) and is predictive of poorer developmental outcomes. The reliability of scoring and the incidence and evolution of white matter injury in moderate-late preterm infants is unknown.</p><p><strong>Objective: </strong>To assess inter-observer variability in white matter injury using a published scoring system (UCSF system), and to describe changes over time in moderate-late preterm infants.</p><p><strong>Materials and methods: </strong>Infants born between 32 + 0 and 36 + 6 weeks' gestation in the Auckland region underwent MRI scans as soon as clinically feasible after birth and again at term-equivalent age. De-identified scans were scored independently by two observers. White matter injury was graded as minimal (< 3 lesions measuring < 2 mm), moderate (> 3 lesions or lesions > 2 mm), or severe (> 5% hemispheric involvement). Scores were compared between reviewers using weighted and unweighted kappa statistics interpreted using Cohen's criteria. Incidences were compared between scans using generalised estimating equations.</p><p><strong>Results: </strong>Scans of 101 infants were assessed. Inter-observer agreement was near perfect for the presence of white matter injury (k = 0.88 and 0.81 for the first and second scan respectively), and for the severity of white matter injury was near perfect at the first scan (k = 0.85) and substantial at the second scan (k = 0.80). The incidence of white matter injury detected by the two observers decreased between the first and second scans (30% to 22% and 29% to 19%), and severity also decreased.</p><p><strong>Conclusions: </strong>This scoring system can be reliably applied in moderate-late preterm infants. White matter injury is common in moderate-late preterm infants but may be underestimated when MRI is performed close to term-equivalent age.</p>","PeriodicalId":19755,"journal":{"name":"Pediatric Radiology","volume":" ","pages":"1682-1689"},"PeriodicalIF":2.3000,"publicationDate":"2025-07-01","publicationTypes":"Journal Article","fieldsOfStudy":null,"isOpenAccess":false,"openAccessPdf":"https://www.ncbi.nlm.nih.gov/pmc/articles/PMC12321648/pdf/","citationCount":"0","resultStr":null,"platform":"Semanticscholar","paperid":null,"PeriodicalName":"Pediatric Radiology","FirstCategoryId":"3","ListUrlMain":"https://doi.org/10.1007/s00247-025-06297-0","RegionNum":3,"RegionCategory":"医学","ArticlePicture":[],"TitleCN":null,"AbstractTextCN":null,"PMCID":null,"EPubDate":"2025/6/20 0:00:00","PubModel":"Epub","JCR":"Q2","JCRName":"PEDIATRICS","Score":null,"Total":0}
引用次数: 0

Abstract

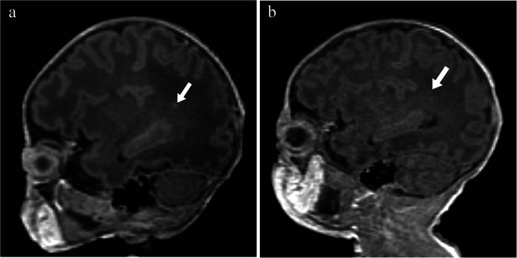
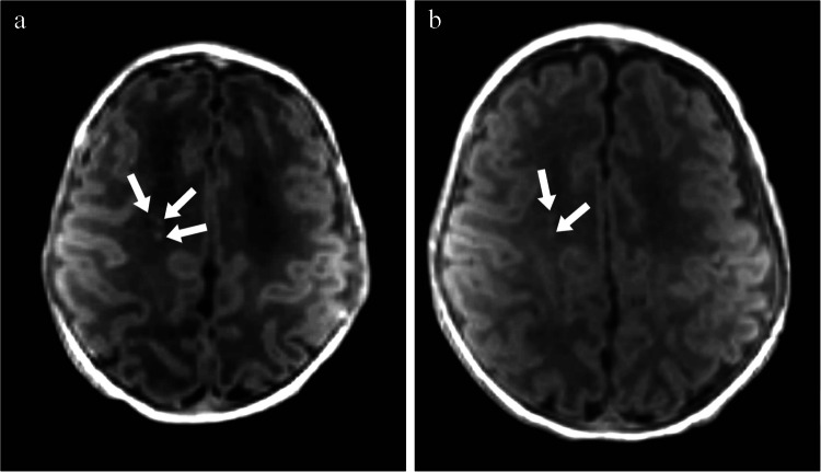
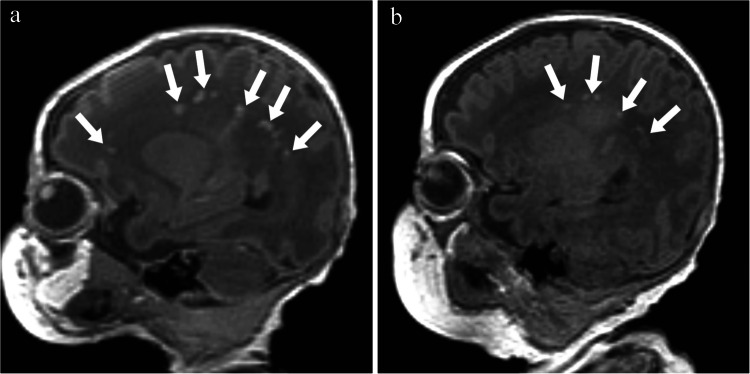
Background: Punctate white matter injury on brain magnetic resonance imaging (MRI) is described in very preterm infants (< 32 weeks' gestation) and is predictive of poorer developmental outcomes. The reliability of scoring and the incidence and evolution of white matter injury in moderate-late preterm infants is unknown.

Objective: To assess inter-observer variability in white matter injury using a published scoring system (UCSF system), and to describe changes over time in moderate-late preterm infants.

Materials and methods: Infants born between 32 + 0 and 36 + 6 weeks' gestation in the Auckland region underwent MRI scans as soon as clinically feasible after birth and again at term-equivalent age. De-identified scans were scored independently by two observers. White matter injury was graded as minimal (< 3 lesions measuring < 2 mm), moderate (> 3 lesions or lesions > 2 mm), or severe (> 5% hemispheric involvement). Scores were compared between reviewers using weighted and unweighted kappa statistics interpreted using Cohen's criteria. Incidences were compared between scans using generalised estimating equations.

Results: Scans of 101 infants were assessed. Inter-observer agreement was near perfect for the presence of white matter injury (k = 0.88 and 0.81 for the first and second scan respectively), and for the severity of white matter injury was near perfect at the first scan (k = 0.85) and substantial at the second scan (k = 0.80). The incidence of white matter injury detected by the two observers decreased between the first and second scans (30% to 22% and 29% to 19%), and severity also decreased.

Conclusions: This scoring system can be reliably applied in moderate-late preterm infants. White matter injury is common in moderate-late preterm infants but may be underestimated when MRI is performed close to term-equivalent age.

Abstract Image

Abstract Image

Abstract Image

中晚期早产儿脑磁共振成像白质损伤评分的观察者间差异。
背景:脑磁共振成像(MRI)显示的点状白质损伤在非常早产的婴儿中被描述(目的:使用已发布的评分系统(UCSF系统)评估白质损伤的观察者间变异性,并描述中晚期早产儿随时间的变化。材料和方法:在奥克兰地区出生的32 + 0至36 + 6周的婴儿在出生后尽快接受MRI扫描,并在足月年龄再次进行扫描。去识别扫描由两名观察员独立评分。白质损伤分为轻度(3个病灶或病灶> 2 mm)和重度(> 5%半球受累)。使用科恩标准解释的加权和未加权kappa统计来比较评论者之间的分数。使用广义估计方程比较扫描之间的发生率。结果:对101例婴儿的扫描进行了评估。对于白质损伤的存在(第一次和第二次扫描分别为k = 0.88和0.81),观察者间的一致性近乎完美,对于白质损伤的严重程度,第一次扫描接近完美(k = 0.85),第二次扫描则相当可观(k = 0.80)。在第一次和第二次扫描之间,两名观察员检测到的白质损伤发生率下降(30%至22%和29%至19%),严重程度也下降了。结论:该评分系统可可靠地应用于中晚期早产儿。白质损伤常见于中晚期早产儿,但在接近足月年龄时进行MRI检查时,白质损伤可能被低估。
本文章由计算机程序翻译,如有差异,请以英文原文为准。
求助全文
约1分钟内获得全文 求助全文
来源期刊
Pediatric Radiology
Pediatric Radiology 医学-核医学
CiteScore
4.40
自引率
17.40%
发文量
300
审稿时长
3-6 weeks
期刊介绍: Official Journal of the European Society of Pediatric Radiology, the Society for Pediatric Radiology and the Asian and Oceanic Society for Pediatric Radiology Pediatric Radiology informs its readers of new findings and progress in all areas of pediatric imaging and in related fields. This is achieved by a blend of original papers, complemented by reviews that set out the present state of knowledge in a particular area of the specialty or summarize specific topics in which discussion has led to clear conclusions. Advances in technology, methodology, apparatus and auxiliary equipment are presented, and modifications of standard techniques are described. Manuscripts submitted for publication must contain a statement to the effect that all human studies have been reviewed by the appropriate ethics committee and have therefore been performed in accordance with the ethical standards laid down in an appropriate version of the 1964 Declaration of Helsinki. It should also be stated clearly in the text that all persons gave their informed consent prior to their inclusion in the study. Details that might disclose the identity of the subjects under study should be omitted.
×
引用
GB/T 7714-2015
复制
MLA
复制
APA
复制
导出至
BibTeX EndNote RefMan NoteFirst NoteExpress
×
提示
您的信息不完整,为了账户安全,请先补充。
现在去补充
×
提示
您因"违规操作"
具体请查看互助需知
我知道了
×
提示
确定
请完成安全验证×
copy
已复制链接
快去分享给好友吧!
我知道了
右上角分享
点击右上角分享
0
联系我们:info@booksci.cn Book学术提供免费学术资源搜索服务,方便国内外学者检索中英文文献。致力于提供最便捷和优质的服务体验。 Copyright © 2023 布克学术 All rights reserved.
京ICP备2023020795号-1
ghs 京公网安备 11010802042870号
Book学术文献互助
Book学术文献互助群
群 号:604180095
Book学术官方微信