Endovascular treatment of acute limb ischemia for persistent sciatic artery aneurysms: a report of 2 cases.

IF 1.5 Q3 CARDIAC & CARDIOVASCULAR SYSTEMS
Eiji Koyama, Kazuki Tobita, Shun Sawada, Motoaki Kai, Hirokazu Mityashita, Shigeru Saito
{"title":"Endovascular treatment of acute limb ischemia for persistent sciatic artery aneurysms: a report of 2 cases.","authors":"Eiji Koyama, Kazuki Tobita, Shun Sawada, Motoaki Kai, Hirokazu Mityashita, Shigeru Saito","doi":"10.1186/s42155-025-00568-5","DOIUrl":null,"url":null,"abstract":"<p><strong>Background: </strong>Persistent sciatic artery (PSA) is a rare congenital anomaly associated with various complications, including atherosclerotic changes and aneurysms. These changes can cause limb ischemia, thrombosis, distal embolization of the PSA, rupture of aneurysms, buttock pain, and sciatica due to compression of adjacent tissues. Acute limb ischemia (ALI) is a life-threatening condition. Treatment of ALI includes surgical and endovascular treatments (EVT); EVT includes catheter-directed thrombolysis (CDT) and angioplasty, with thrombolysis being highly effective. In Japan, urokinase is the only insurance-covered thrombolytic agent approved for ALI treatment; however, it is currently unavailable due to manufacturing issues.</p><p><strong>Case presentation: </strong>This case report details the treatment of two women (aged 89 and 82 years) with ALI associated with PSA. In both cases, reperfusion was achieved without CDT and stent grafts were deployed across the PSA aneurysm. The final angiogram showed that the PSA aneurysms had disappeared, and the vessel runoff was maintained. Both patients were successfully discharged from the hospital and experienced no complications over the next 6 months.</p><p><strong>Conclusions: </strong>Two patients with ALI with PSA were treated with EVT without CDT. These cases suggest that EVT without CDT may rescue ALI caused by PSA. Moreover, no standard treatment for sciatic artery remnants has been established. Endovascular treatment with stent grafts may be an option for older patients.</p>","PeriodicalId":52351,"journal":{"name":"CVIR Endovascular","volume":"8 1","pages":"53"},"PeriodicalIF":1.5000,"publicationDate":"2025-06-18","publicationTypes":"Journal Article","fieldsOfStudy":null,"isOpenAccess":false,"openAccessPdf":"https://www.ncbi.nlm.nih.gov/pmc/articles/PMC12176699/pdf/","citationCount":"0","resultStr":null,"platform":"Semanticscholar","paperid":null,"PeriodicalName":"CVIR Endovascular","FirstCategoryId":"1085","ListUrlMain":"https://doi.org/10.1186/s42155-025-00568-5","RegionNum":0,"RegionCategory":null,"ArticlePicture":[],"TitleCN":null,"AbstractTextCN":null,"PMCID":null,"EPubDate":"","PubModel":"","JCR":"Q3","JCRName":"CARDIAC & CARDIOVASCULAR SYSTEMS","Score":null,"Total":0}
引用次数: 0

Abstract

Background: Persistent sciatic artery (PSA) is a rare congenital anomaly associated with various complications, including atherosclerotic changes and aneurysms. These changes can cause limb ischemia, thrombosis, distal embolization of the PSA, rupture of aneurysms, buttock pain, and sciatica due to compression of adjacent tissues. Acute limb ischemia (ALI) is a life-threatening condition. Treatment of ALI includes surgical and endovascular treatments (EVT); EVT includes catheter-directed thrombolysis (CDT) and angioplasty, with thrombolysis being highly effective. In Japan, urokinase is the only insurance-covered thrombolytic agent approved for ALI treatment; however, it is currently unavailable due to manufacturing issues.

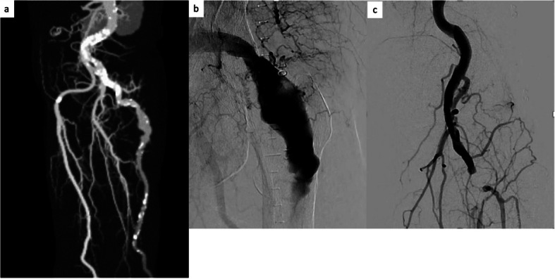
Case presentation: This case report details the treatment of two women (aged 89 and 82 years) with ALI associated with PSA. In both cases, reperfusion was achieved without CDT and stent grafts were deployed across the PSA aneurysm. The final angiogram showed that the PSA aneurysms had disappeared, and the vessel runoff was maintained. Both patients were successfully discharged from the hospital and experienced no complications over the next 6 months.

Conclusions: Two patients with ALI with PSA were treated with EVT without CDT. These cases suggest that EVT without CDT may rescue ALI caused by PSA. Moreover, no standard treatment for sciatic artery remnants has been established. Endovascular treatment with stent grafts may be an option for older patients.

Abstract Image

Abstract Image

Abstract Image

持续性坐骨动脉瘤急性肢体缺血的血管内治疗附2例报告。
背景:持续性坐骨动脉(PSA)是一种罕见的先天性异常,伴有多种并发症,包括动脉粥样硬化改变和动脉瘤。这些变化可引起肢体缺血、血栓形成、PSA远端栓塞、动脉瘤破裂、臀部疼痛以及邻近组织受压引起的坐骨神经痛。急性肢体缺血(ALI)是一种危及生命的疾病。ALI的治疗包括手术和血管内治疗(EVT);EVT包括导管溶栓(CDT)和血管成形术,其中溶栓非常有效。在日本,尿激酶是唯一被批准用于ALI治疗的保险覆盖的溶栓药物;然而,由于制造问题,目前无法使用。病例介绍:本病例报告详细介绍了两名女性(89岁和82岁)与PSA相关的ALI的治疗。在这两种情况下,在没有CDT的情况下实现再灌注,并在PSA动脉瘤上部署支架。最后的血管造影显示,PSA动脉瘤已经消失,血管径流维持。两名患者均顺利出院,在接下来的6个月里没有出现并发症。结论:2例ALI合并PSA患者采用EVT治疗,不采用CDT治疗。这些病例提示不经CDT的EVT可挽救PSA引起的ALI。此外,对于坐骨动脉残余没有标准的治疗方法。血管内支架移植治疗可能是老年患者的一种选择。
本文章由计算机程序翻译,如有差异,请以英文原文为准。
求助全文
约1分钟内获得全文 求助全文
来源期刊
CVIR Endovascular
CVIR Endovascular Medicine-Radiology, Nuclear Medicine and Imaging
CiteScore
2.30
自引率
0.00%
发文量
59
×
引用
GB/T 7714-2015
复制
MLA
复制
APA
复制
导出至
BibTeX EndNote RefMan NoteFirst NoteExpress
×
提示
您的信息不完整,为了账户安全,请先补充。
现在去补充
×
提示
您因"违规操作"
具体请查看互助需知
我知道了
×
提示
确定
请完成安全验证×
copy
已复制链接
快去分享给好友吧!
我知道了
右上角分享
点击右上角分享
0
联系我们:info@booksci.cn Book学术提供免费学术资源搜索服务,方便国内外学者检索中英文文献。致力于提供最便捷和优质的服务体验。 Copyright © 2023 布克学术 All rights reserved.
京ICP备2023020795号-1
ghs 京公网安备 11010802042870号
Book学术文献互助
Book学术文献互助群
群 号:604180095
Book学术官方微信