Contrast-Enhanced Abdominopelvic CT After Peripheral Venoarterial Extracorporeal Membrane Oxygenation.

IF 5.3 2区 医学 Q1 RADIOLOGY, NUCLEAR MEDICINE & MEDICAL IMAGING
Korean Journal of Radiology Pub Date : 2025-07-01 Epub Date: 2025-06-10 DOI:10.3348/kjr.2025.0256
Eun Sun Choi, Jong Keon Jang
{"title":"Contrast-Enhanced Abdominopelvic CT After Peripheral Venoarterial Extracorporeal Membrane Oxygenation.","authors":"Eun Sun Choi, Jong Keon Jang","doi":"10.3348/kjr.2025.0256","DOIUrl":null,"url":null,"abstract":"","PeriodicalId":17881,"journal":{"name":"Korean Journal of Radiology","volume":" ","pages":"734-737"},"PeriodicalIF":5.3000,"publicationDate":"2025-07-01","publicationTypes":"Journal Article","fieldsOfStudy":null,"isOpenAccess":false,"openAccessPdf":"https://www.ncbi.nlm.nih.gov/pmc/articles/PMC12235549/pdf/","citationCount":"0","resultStr":null,"platform":"Semanticscholar","paperid":null,"PeriodicalName":"Korean Journal of Radiology","FirstCategoryId":"3","ListUrlMain":"https://doi.org/10.3348/kjr.2025.0256","RegionNum":2,"RegionCategory":"医学","ArticlePicture":[],"TitleCN":null,"AbstractTextCN":null,"PMCID":null,"EPubDate":"2025/6/10 0:00:00","PubModel":"Epub","JCR":"Q1","JCRName":"RADIOLOGY, NUCLEAR MEDICINE & MEDICAL IMAGING","Score":null,"Total":0}
引用次数: 0

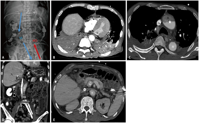
Abstract Image

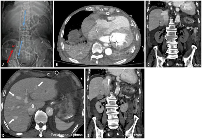
Abstract Image

外周静脉体外膜氧合后的对比增强腹部骨盆CT。
本文章由计算机程序翻译,如有差异,请以英文原文为准。
求助全文
约1分钟内获得全文 求助全文
来源期刊
Korean Journal of Radiology
Korean Journal of Radiology 医学-核医学
CiteScore
10.60
自引率
12.50%
发文量
141
审稿时长
1.3 months
期刊介绍: The inaugural issue of the Korean J Radiol came out in March 2000. Our journal aims to produce and propagate knowledge on radiologic imaging and related sciences. A unique feature of the articles published in the Journal will be their reflection of global trends in radiology combined with an East-Asian perspective. Geographic differences in disease prevalence will be reflected in the contents of papers, and this will serve to enrich our body of knowledge. World''s outstanding radiologists from many countries are serving as editorial board of our journal.
×
引用
GB/T 7714-2015
复制
MLA
复制
APA
复制
导出至
BibTeX EndNote RefMan NoteFirst NoteExpress
×
提示
您的信息不完整,为了账户安全,请先补充。
现在去补充
×
提示
您因"违规操作"
具体请查看互助需知
我知道了
×
提示
确定
请完成安全验证×
copy
已复制链接
快去分享给好友吧!
我知道了
右上角分享
点击右上角分享
0
联系我们:info@booksci.cn Book学术提供免费学术资源搜索服务,方便国内外学者检索中英文文献。致力于提供最便捷和优质的服务体验。 Copyright © 2023 布克学术 All rights reserved.
京ICP备2023020795号-1
ghs 京公网安备 11010802042870号
Book学术文献互助
Book学术文献互助群
群 号:604180095
Book学术官方微信