Surgical Management of a Painful Temporal Bone En Plaque Meningioma: A Case Report and Review of the Literature.

IF 0.7 Q4 CLINICAL NEUROLOGY
Journal of Neurological Surgery Reports Pub Date : 2025-06-16 eCollection Date: 2025-04-01 DOI:10.1055/a-2625-9498
Prishae Wilson, Alok A Bhatt, Mark A Edgar, Alfredo Quiñones-Hinojosa, João Paulo Almeida, Mallory Raymond
{"title":"Surgical Management of a Painful Temporal Bone En Plaque Meningioma: A Case Report and Review of the Literature.","authors":"Prishae Wilson, Alok A Bhatt, Mark A Edgar, Alfredo Quiñones-Hinojosa, João Paulo Almeida, Mallory Raymond","doi":"10.1055/a-2625-9498","DOIUrl":null,"url":null,"abstract":"<p><p>Temporal bone en plaque meningiomas can present management challenges, particularly when accompanied by severe pain. We report the case of a 42-year-old woman who was initially diagnosed with chronic otitis media but was later found to have a painful left temporal bone en plaque meningioma. Despite conservative therapy, her pain progressed, prompting the decision to undergo surgical resection, which resulted in considerable pain relief. This report illustrates the influence of pain on surgical decision-making for temporal bone en plaque meningiomas and reviews the literature on their variable presentations and management strategies.</p>","PeriodicalId":44256,"journal":{"name":"Journal of Neurological Surgery Reports","volume":"86 2","pages":"e122-e126"},"PeriodicalIF":0.7000,"publicationDate":"2025-06-16","publicationTypes":"Journal Article","fieldsOfStudy":null,"isOpenAccess":false,"openAccessPdf":"https://www.ncbi.nlm.nih.gov/pmc/articles/PMC12169928/pdf/","citationCount":"0","resultStr":null,"platform":"Semanticscholar","paperid":null,"PeriodicalName":"Journal of Neurological Surgery Reports","FirstCategoryId":"1085","ListUrlMain":"https://doi.org/10.1055/a-2625-9498","RegionNum":0,"RegionCategory":null,"ArticlePicture":[],"TitleCN":null,"AbstractTextCN":null,"PMCID":null,"EPubDate":"2025/4/1 0:00:00","PubModel":"eCollection","JCR":"Q4","JCRName":"CLINICAL NEUROLOGY","Score":null,"Total":0}
引用次数: 0

Abstract

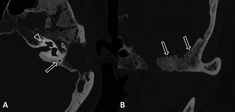
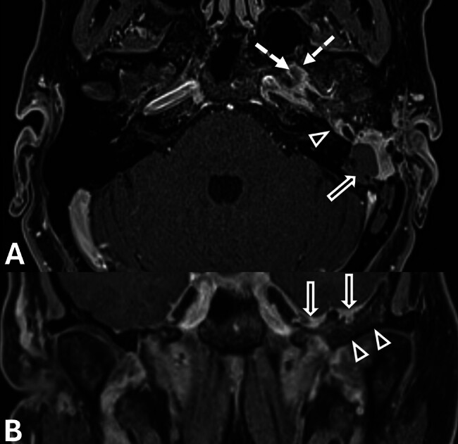
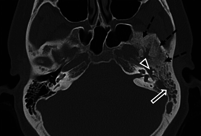
Temporal bone en plaque meningiomas can present management challenges, particularly when accompanied by severe pain. We report the case of a 42-year-old woman who was initially diagnosed with chronic otitis media but was later found to have a painful left temporal bone en plaque meningioma. Despite conservative therapy, her pain progressed, prompting the decision to undergo surgical resection, which resulted in considerable pain relief. This report illustrates the influence of pain on surgical decision-making for temporal bone en plaque meningiomas and reviews the literature on their variable presentations and management strategies.

Abstract Image

Abstract Image

Abstract Image

疼痛性颞骨斑块脑膜瘤的手术治疗:1例报告及文献复习。
颞骨斑块脑膜瘤可带来管理挑战,特别是当伴有剧烈疼痛时。我们报告一个42岁的妇女谁最初被诊断为慢性中耳炎,但后来发现有一个痛苦的左侧颞骨斑块脑膜瘤。尽管进行了保守治疗,但她的疼痛仍在加剧,促使她决定进行手术切除,这使得疼痛得到了相当大的缓解。本报告阐述了疼痛对颞骨斑块脑膜瘤手术决策的影响,并回顾了有关其不同表现和治疗策略的文献。
本文章由计算机程序翻译,如有差异,请以英文原文为准。
求助全文
约1分钟内获得全文 求助全文
来源期刊
自引率
0.00%
发文量
31
审稿时长
12 weeks
×
引用
GB/T 7714-2015
复制
MLA
复制
APA
复制
导出至
BibTeX EndNote RefMan NoteFirst NoteExpress
×
提示
您的信息不完整,为了账户安全,请先补充。
现在去补充
×
提示
您因"违规操作"
具体请查看互助需知
我知道了
×
提示
确定
请完成安全验证×
copy
已复制链接
快去分享给好友吧!
我知道了
右上角分享
点击右上角分享
0
联系我们:info@booksci.cn Book学术提供免费学术资源搜索服务,方便国内外学者检索中英文文献。致力于提供最便捷和优质的服务体验。 Copyright © 2023 布克学术 All rights reserved.
京ICP备2023020795号-1
ghs 京公网安备 11010802042870号
Book学术文献互助
Book学术文献互助群
群 号:604180095
Book学术官方微信