A lymph node metastasis of papillary thyroid carcinoma as a giant cervical cyst without a primary tumor in the thyroid gland: a case report.

IF 1.8 Q3 ENDOCRINOLOGY & METABOLISM
Xili Lu, Pingping Zhou, Jili Wang, Xinhui Su, Jun Yang
{"title":"A lymph node metastasis of papillary thyroid carcinoma as a giant cervical cyst without a primary tumor in the thyroid gland: a case report.","authors":"Xili Lu, Pingping Zhou, Jili Wang, Xinhui Su, Jun Yang","doi":"10.1186/s13044-025-00244-9","DOIUrl":null,"url":null,"abstract":"<p><strong>Background: </strong>Papillary thyroid carcinoma (PTC) comprises the vast majority of all thyroid cancers. Lymph node metastases may be present even when the primary tumor is small and intrathyroidal. Metastatic lymph nodes of PTC presenting as giant solitary cervical cysts with no evidence of primary tumors in the thyroid gland even by postoperative pathological examination are rare.</p><p><strong>Case presentation: </strong>A 33-year-old Chinese woman presented to the hospital with an incidental mass in her right neck. Ultrasonography and magnetic resonance imaging revealed a giant right cystic mass in the inferior submandibular gland. The patient underwent mass dissection. Histopathological assessment indicated metastatic papillary carcinoma from the thyroid. Total thyroidectomy and bilateral selective neck dissection were performed. Meticulous pathological examination revealed no lesions in the thyroid. After 18 months of follow-up, no signs of recurrence were noted.</p><p><strong>Conclusion: </strong>It is difficult and challenging to differentially diagnose between ectopic PTC and lymph node metastasis from PTC. Meticulous pathological evaluation of surgical specimens is key to making a definitive diagnosis.</p>","PeriodicalId":39048,"journal":{"name":"Thyroid Research","volume":"18 1","pages":"28"},"PeriodicalIF":1.8000,"publicationDate":"2025-06-17","publicationTypes":"Journal Article","fieldsOfStudy":null,"isOpenAccess":false,"openAccessPdf":"https://www.ncbi.nlm.nih.gov/pmc/articles/PMC12172207/pdf/","citationCount":"0","resultStr":null,"platform":"Semanticscholar","paperid":null,"PeriodicalName":"Thyroid Research","FirstCategoryId":"1085","ListUrlMain":"https://doi.org/10.1186/s13044-025-00244-9","RegionNum":0,"RegionCategory":null,"ArticlePicture":[],"TitleCN":null,"AbstractTextCN":null,"PMCID":null,"EPubDate":"","PubModel":"","JCR":"Q3","JCRName":"ENDOCRINOLOGY & METABOLISM","Score":null,"Total":0}
引用次数: 0

Abstract

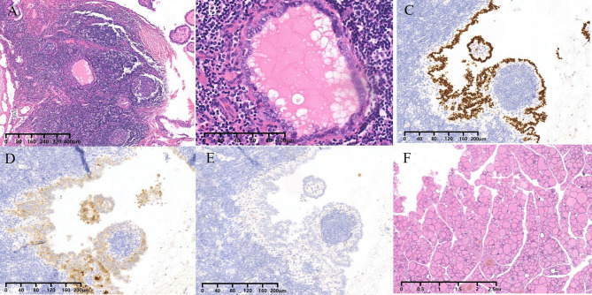
Background: Papillary thyroid carcinoma (PTC) comprises the vast majority of all thyroid cancers. Lymph node metastases may be present even when the primary tumor is small and intrathyroidal. Metastatic lymph nodes of PTC presenting as giant solitary cervical cysts with no evidence of primary tumors in the thyroid gland even by postoperative pathological examination are rare.

Case presentation: A 33-year-old Chinese woman presented to the hospital with an incidental mass in her right neck. Ultrasonography and magnetic resonance imaging revealed a giant right cystic mass in the inferior submandibular gland. The patient underwent mass dissection. Histopathological assessment indicated metastatic papillary carcinoma from the thyroid. Total thyroidectomy and bilateral selective neck dissection were performed. Meticulous pathological examination revealed no lesions in the thyroid. After 18 months of follow-up, no signs of recurrence were noted.

Conclusion: It is difficult and challenging to differentially diagnose between ectopic PTC and lymph node metastasis from PTC. Meticulous pathological evaluation of surgical specimens is key to making a definitive diagnosis.

Abstract Image

Abstract Image

Abstract Image

甲状腺乳头状癌淋巴结转移为巨大宫颈囊肿,甲状腺无原发肿瘤:1例报告。
背景:甲状腺乳头状癌(PTC)占所有甲状腺癌的绝大多数。即使原发肿瘤很小且位于甲状腺内,也可能出现淋巴结转移。PTC的转移性淋巴结表现为巨大的孤立性宫颈囊肿,即使术后病理检查也没有甲状腺原发肿瘤的证据,这是罕见的。病例介绍:一名33岁的中国女性因右颈部偶发肿块而被送往医院。超声及磁共振成像显示右侧巨大的囊性肿块位于下颌骨下腺。病人接受了肿块剥离。组织病理学诊断为甲状腺转移性乳头状癌。行甲状腺全切除术及双侧选择性颈部清扫术。细致的病理检查未见甲状腺病变。随访18个月后,无复发迹象。结论:异位PTC与淋巴结转移的鉴别诊断困难且具有挑战性。手术标本细致的病理评估是做出明确诊断的关键。
本文章由计算机程序翻译,如有差异,请以英文原文为准。
求助全文
约1分钟内获得全文 求助全文
来源期刊
Thyroid Research
Thyroid Research Medicine-Endocrinology, Diabetes and Metabolism
CiteScore
3.10
自引率
4.50%
发文量
21
审稿时长
8 weeks
×
引用
GB/T 7714-2015
复制
MLA
复制
APA
复制
导出至
BibTeX EndNote RefMan NoteFirst NoteExpress
×
提示
您的信息不完整,为了账户安全,请先补充。
现在去补充
×
提示
您因"违规操作"
具体请查看互助需知
我知道了
×
提示
确定
请完成安全验证×
copy
已复制链接
快去分享给好友吧!
我知道了
右上角分享
点击右上角分享
0
联系我们:info@booksci.cn Book学术提供免费学术资源搜索服务,方便国内外学者检索中英文文献。致力于提供最便捷和优质的服务体验。 Copyright © 2023 布克学术 All rights reserved.
京ICP备2023020795号-1
ghs 京公网安备 11010802042870号
Book学术文献互助
Book学术文献互助群
群 号:604180095
Book学术官方微信