Gestational choriocarcinoma FIGO stage III, score 8 (high-risk) in 38-year-old woman four weeks postpartum.

IF 0.2 Q4 OBSTETRICS & GYNECOLOGY
Case Reports in Perinatal Medicine Pub Date : 2025-06-12 eCollection Date: 2025-01-01 DOI:10.1515/crpm-2024-0041
Clara Illi, Wolfgang Henrich, Larry Hinkson
{"title":"Gestational choriocarcinoma FIGO stage III, score 8 (high-risk) in 38-year-old woman four weeks postpartum.","authors":"Clara Illi, Wolfgang Henrich, Larry Hinkson","doi":"10.1515/crpm-2024-0041","DOIUrl":null,"url":null,"abstract":"<p><strong>Objectives: </strong>Choriocarcinoma, an aggressive form of gestational trophoblastic neoplasia, can be divided into gestational and non-gestational types, each with distinct biological activity and prognosis. We report a case of gestational choriocarcinoma.</p><p><strong>Case presentation: </strong>A 38-year-old woman (2 Gravida, 2 Para) presented at our clinic four weeks after her second cesarean section with persistent vaginal bleeding and decreasing hemoglobin to 6.8 mg/L. In the ultrasound examination, retained placental tissue was suspected. Since conservative management with misoprostol was not effective, a curettage was performed. The histopathological result revealed a gestational choriocarcinoma invading the myometrium (CK18 positive, HPL positive, beta-hCG positive, p63 negative, PLAP positive, Ki67 (MIB-1)>80 %). Beta-hCG was 50,607 IU/L at the time of diagnosis. The computed tomography (CT) scan revealed bilateral pulmonary metastases. There were no metastases to the liver, lymph nodes, skeleton or brain. In accordance with FIGO recommendations [stage III, Score 8 (high risk) choriocarcinoma] a multi-drug chemotherapy after EMACO-regimen was started 9.5 weeks postpartum during 14 days for seven cycles. The patient has been in tumor remission since then.</p><p><strong>Conclusions: </strong>Choriocarcinoma is a differential diagnosis of vaginal peripartum bleeding and might likely be underdiagnosed. Risk factors like a prior hydatidiform mole or abortion, Asian, Indian American, African American or Hispanic ethnicity, advanced maternal age (>40 years), blood group A, or high/increasing beta-hCG postpartum should be taken into consideration.</p>","PeriodicalId":9617,"journal":{"name":"Case Reports in Perinatal Medicine","volume":"14 1","pages":"20240041"},"PeriodicalIF":0.2000,"publicationDate":"2025-06-12","publicationTypes":"Journal Article","fieldsOfStudy":null,"isOpenAccess":false,"openAccessPdf":"https://www.ncbi.nlm.nih.gov/pmc/articles/PMC12165762/pdf/","citationCount":"0","resultStr":null,"platform":"Semanticscholar","paperid":null,"PeriodicalName":"Case Reports in Perinatal Medicine","FirstCategoryId":"1085","ListUrlMain":"https://doi.org/10.1515/crpm-2024-0041","RegionNum":0,"RegionCategory":null,"ArticlePicture":[],"TitleCN":null,"AbstractTextCN":null,"PMCID":null,"EPubDate":"2025/1/1 0:00:00","PubModel":"eCollection","JCR":"Q4","JCRName":"OBSTETRICS & GYNECOLOGY","Score":null,"Total":0}
引用次数: 0

Abstract

Objectives: Choriocarcinoma, an aggressive form of gestational trophoblastic neoplasia, can be divided into gestational and non-gestational types, each with distinct biological activity and prognosis. We report a case of gestational choriocarcinoma.

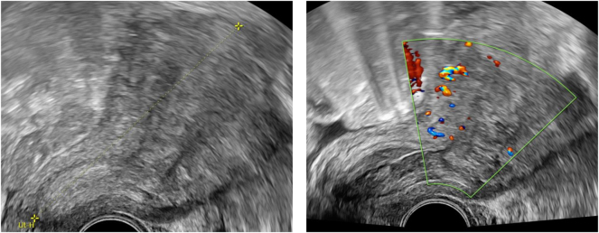
Case presentation: A 38-year-old woman (2 Gravida, 2 Para) presented at our clinic four weeks after her second cesarean section with persistent vaginal bleeding and decreasing hemoglobin to 6.8 mg/L. In the ultrasound examination, retained placental tissue was suspected. Since conservative management with misoprostol was not effective, a curettage was performed. The histopathological result revealed a gestational choriocarcinoma invading the myometrium (CK18 positive, HPL positive, beta-hCG positive, p63 negative, PLAP positive, Ki67 (MIB-1)>80 %). Beta-hCG was 50,607 IU/L at the time of diagnosis. The computed tomography (CT) scan revealed bilateral pulmonary metastases. There were no metastases to the liver, lymph nodes, skeleton or brain. In accordance with FIGO recommendations [stage III, Score 8 (high risk) choriocarcinoma] a multi-drug chemotherapy after EMACO-regimen was started 9.5 weeks postpartum during 14 days for seven cycles. The patient has been in tumor remission since then.

Conclusions: Choriocarcinoma is a differential diagnosis of vaginal peripartum bleeding and might likely be underdiagnosed. Risk factors like a prior hydatidiform mole or abortion, Asian, Indian American, African American or Hispanic ethnicity, advanced maternal age (>40 years), blood group A, or high/increasing beta-hCG postpartum should be taken into consideration.

Abstract Image

Abstract Image

Abstract Image

妊娠期绒毛膜癌FIGO III期,评分8分(高危),38岁女性,产后4周。
目的:绒毛膜癌是一种侵袭性的妊娠滋养细胞肿瘤,可分为妊娠型和非妊娠型,各有不同的生物活性和预后。我们报告一例妊娠绒毛膜癌。病例介绍:一名38岁女性(2胎,2 Para)在第二次剖宫产术后4周出现在我们诊所,持续阴道出血,血红蛋白降至6.8 mg/L。超声检查怀疑胎盘组织残留。由于米索前列醇保守治疗无效,因此行刮除术。组织病理学结果显示,妊娠期绒毛膜癌侵袭子宫肌层(CK18阳性,HPL阳性,β - hcg阳性,p63阴性,PLAP阳性,Ki67 (mb -1)>80 %)。诊断时β - hcg为50607 IU/L。计算机断层扫描显示双侧肺转移。没有转移到肝脏、淋巴结、骨骼或大脑。根据FIGO建议[III期,评分8分(高危)绒毛膜癌],在emaco方案后,于产后9.5周开始多药化疗,为期14天,共7个周期。从那时起,病人的肿瘤一直在缓解。结论:绒毛膜癌是阴道围生期出血的鉴别诊断,可能被误诊。风险因素如既往葡萄胎或流产,亚洲人,印第安人,非洲裔美国人或西班牙裔,高龄产妇(40 - 40岁),a型血,或产后β - hcg高/增加应考虑在内。
本文章由计算机程序翻译,如有差异,请以英文原文为准。
求助全文
约1分钟内获得全文 求助全文
来源期刊
Case Reports in Perinatal Medicine
Case Reports in Perinatal Medicine OBSTETRICS & GYNECOLOGY-
自引率
0.00%
发文量
37
期刊介绍: Case Reports in Perinatal Medicine is a double-blind peer-reviewed journal. The objective of the new journal is very similar to that of JPM. In addition to evidence-based studies, practitioners in clinical practice esteem especially exemplary reports of cases that reveal specific manifestations of diseases, its progress or its treatment. We consider case reports and series to be brief reports describing an isolated clinical case or a small number of cases. They may describe new or uncommon diagnoses, unusual outcomes or prognosis, new or infrequently used therapies and side effects of therapy not usually discovered in clinical trials. They represent the basic concept of experiences for studies on representative groups for further evidence-based research. The potential roles of case reports and case series are: Recognition and description of new diseases Detection of drug side effects (adverse or beneficial) Study of mechanisms of disease Medical education and audit Recognition of rare manifestations of disease.
×
引用
GB/T 7714-2015
复制
MLA
复制
APA
复制
导出至
BibTeX EndNote RefMan NoteFirst NoteExpress
×
提示
您的信息不完整,为了账户安全,请先补充。
现在去补充
×
提示
您因"违规操作"
具体请查看互助需知
我知道了
×
提示
确定
请完成安全验证×
copy
已复制链接
快去分享给好友吧!
我知道了
右上角分享
点击右上角分享
0
联系我们:info@booksci.cn Book学术提供免费学术资源搜索服务,方便国内外学者检索中英文文献。致力于提供最便捷和优质的服务体验。 Copyright © 2023 布克学术 All rights reserved.
京ICP备2023020795号-1
ghs 京公网安备 11010802042870号
Book学术文献互助
Book学术文献互助群
群 号:604180095
Book学术官方微信