Primary adrenal insufficiency and systemic tuberculosis in a 10-year-old boy: case report.

IF 1 Q3 Medicine
Sandra Schult-Montoya, Felipe Ricardo Lindo-Pérez
{"title":"Primary adrenal insufficiency and systemic tuberculosis in a 10-year-old boy: case report.","authors":"Sandra Schult-Montoya, Felipe Ricardo Lindo-Pérez","doi":"10.17843/rpmesp.2025.421.14092","DOIUrl":null,"url":null,"abstract":"<p><p>Primary adrenal insufficiency is the result of impaired steroid synthesis, adrenal destruction or abnormal development of the adrenal gland affecting the adrenal cortex. Tuberculosis is one of the main causes in developing countries. We present the case of a 10-year-old male patient diagnosed with adrenal insufficiency two years earlier with regular treatment, who was admitted for adrenal crisis. A thoraco-abdominal tomography was carried out during hospitalization, which showed cylindrical and traction bronchiectasis associated with cicatricial atelectasis in the right upper pulmonary lobe, enlarged adrenal glands with foci of calcification, as well as a dense posterior perivertebral mediastinal collection also involving vertebral bodies with lytic resorptive foci, findings consistent with systemic tuberculosis. Treatment for tuberculosis started based on this diagnosis. During course of the disease, the first phase was completed with four drugs, and the second phase included isoniazid and rifampicin with favorable clinical response.</p>","PeriodicalId":53651,"journal":{"name":"Revista Peruana de Medicina de Experimental y Salud Publica","volume":"42 1","pages":"92-96"},"PeriodicalIF":1.0000,"publicationDate":"2025-06-09","publicationTypes":"Journal Article","fieldsOfStudy":null,"isOpenAccess":false,"openAccessPdf":"https://www.ncbi.nlm.nih.gov/pmc/articles/PMC12176017/pdf/","citationCount":"0","resultStr":null,"platform":"Semanticscholar","paperid":null,"PeriodicalName":"Revista Peruana de Medicina de Experimental y Salud Publica","FirstCategoryId":"1085","ListUrlMain":"https://doi.org/10.17843/rpmesp.2025.421.14092","RegionNum":0,"RegionCategory":null,"ArticlePicture":[],"TitleCN":null,"AbstractTextCN":null,"PMCID":null,"EPubDate":"","PubModel":"","JCR":"Q3","JCRName":"Medicine","Score":null,"Total":0}
引用次数: 0

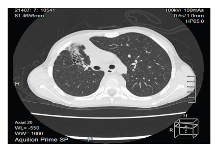
Abstract

Primary adrenal insufficiency is the result of impaired steroid synthesis, adrenal destruction or abnormal development of the adrenal gland affecting the adrenal cortex. Tuberculosis is one of the main causes in developing countries. We present the case of a 10-year-old male patient diagnosed with adrenal insufficiency two years earlier with regular treatment, who was admitted for adrenal crisis. A thoraco-abdominal tomography was carried out during hospitalization, which showed cylindrical and traction bronchiectasis associated with cicatricial atelectasis in the right upper pulmonary lobe, enlarged adrenal glands with foci of calcification, as well as a dense posterior perivertebral mediastinal collection also involving vertebral bodies with lytic resorptive foci, findings consistent with systemic tuberculosis. Treatment for tuberculosis started based on this diagnosis. During course of the disease, the first phase was completed with four drugs, and the second phase included isoniazid and rifampicin with favorable clinical response.

Abstract Image

Abstract Image

Abstract Image

原发性肾上腺功能不全和全身性肺结核1例。
原发性肾上腺功能不全是由于类固醇合成受损、肾上腺破坏或肾上腺发育异常影响肾上腺皮质所致。结核病是发展中国家的主要病因之一。我们提出的情况下,一个10岁的男性患者诊断为肾上腺功能不全两年前与常规治疗,谁是承认肾上腺危机。住院期间进行胸腹断层扫描,显示右上肺叶柱状和牵引性支气管扩张伴瘢痕性肺不张,肾上腺肿大伴钙化灶,以及椎体后纵隔致密集合伴溶解性吸收灶,与全身性结核一致。结核病的治疗就是基于这一诊断开始的。在病程中,第一期以4种药物完成,第二期包括异烟肼和利福平,临床反应良好。
本文章由计算机程序翻译,如有差异,请以英文原文为准。
求助全文
约1分钟内获得全文 求助全文
来源期刊
Revista Peruana de Medicina de Experimental y Salud Publica
Revista Peruana de Medicina de Experimental y Salud Publica Medicine-Public Health, Environmental and Occupational Health
CiteScore
3.00
自引率
0.00%
发文量
57
审稿时长
12 weeks
期刊介绍: La Revista Peruana de Medicina Experimental y Salud Pública (RPMESP) es el órgano oficial de difusión científica del Instituto Nacional de Salud (INS) del Perú. Es una publicación arbitrada por pares, de periodicidad trimestral, de ámbito y difusión mundial, indizada en MEDLINE/Index Medicos, SCOPUS, EMBASE, SciELO Salud Pública y otras bases de datos internacionales. La RPMESP es distribuida en su versión impresa y electrónica, con acceso gratuito a texto completo. La RPMESP publica artículos referidos a temas del ámbito biomédico y de salud pública, resaltando aportes prácticos, que contribuyan a mejorar la situación de salud del país y de la región. Propicia el intercambio de la experiencia científica en salud entre instituciones y personas dedicadas a la investigación dentro y fuera del Perú a fin de promover el avance y la aplicación de la investigación en salud.
×
引用
GB/T 7714-2015
复制
MLA
复制
APA
复制
导出至
BibTeX EndNote RefMan NoteFirst NoteExpress
×
提示
您的信息不完整,为了账户安全,请先补充。
现在去补充
×
提示
您因"违规操作"
具体请查看互助需知
我知道了
×
提示
确定
请完成安全验证×
copy
已复制链接
快去分享给好友吧!
我知道了
右上角分享
点击右上角分享
0
联系我们:info@booksci.cn Book学术提供免费学术资源搜索服务,方便国内外学者检索中英文文献。致力于提供最便捷和优质的服务体验。 Copyright © 2023 布克学术 All rights reserved.
京ICP备2023020795号-1
ghs 京公网安备 11010802042870号
Book学术文献互助
Book学术文献互助群
群 号:604180095
Book学术官方微信