Pathology of fatal Baylisascaris schroederi infection in a wild giant panda.

IF 2.4 2区 医学 Q2 PARASITOLOGY
Parasite Pub Date : 2025-01-01 Epub Date: 2025-06-11 DOI:10.1051/parasite/2025026
Lingling Chang, Danhui Zhang, Yashi Wang, Zun Ren, Yaping Wu, Qiang Zhang, Guanghui Zhao, Guanglin Pan, Xinglong Wang, Xiaomin Zhao, Dewen Tong
{"title":"Pathology of fatal Baylisascaris schroederi infection in a wild giant panda.","authors":"Lingling Chang, Danhui Zhang, Yashi Wang, Zun Ren, Yaping Wu, Qiang Zhang, Guanghui Zhao, Guanglin Pan, Xinglong Wang, Xiaomin Zhao, Dewen Tong","doi":"10.1051/parasite/2025026","DOIUrl":null,"url":null,"abstract":"<p><p>Baylisascaris schroederi McIntosh, 1939 (Ascarididae), a nematode specific to giant pandas (Ailuropoda melanoleuca), is a major health threat, particularly to wild populations. A 20-year-old wild adult female giant panda rescued from a Chinese nature reserve died with a 2-month history of emaciation and weakness. Necropsy was performed. Grossly, the giant panda was very thin with minimal fat stores throughout, and marked serous atrophy of fat around the kidneys. Mesenteric edema was very pronounced in the posterior intestine. The abdominal cavity contained approximately 5 L of orange-yellow, translucent, low-viscosity fluid. There were ca. 1,660 robust ascarids occupying the lumen of the esophagus, stomach, and intestines. Microscopically, the intestine showed moderate necrotizing and eosinophilic enteritis with adult nematodes, consistent with an ascarid. PCR and sequencing confirmed that the ascarid species was B. schroederi. This case highlights a fatal B. schroederi infection in a wild giant panda, with malnutrition and possible multiple organ failure identified as the primary causes of death.</p>","PeriodicalId":19796,"journal":{"name":"Parasite","volume":"32 ","pages":"34"},"PeriodicalIF":2.4000,"publicationDate":"2025-01-01","publicationTypes":"Journal Article","fieldsOfStudy":null,"isOpenAccess":false,"openAccessPdf":"https://www.ncbi.nlm.nih.gov/pmc/articles/PMC12158236/pdf/","citationCount":"0","resultStr":null,"platform":"Semanticscholar","paperid":null,"PeriodicalName":"Parasite","FirstCategoryId":"3","ListUrlMain":"https://doi.org/10.1051/parasite/2025026","RegionNum":2,"RegionCategory":"医学","ArticlePicture":[],"TitleCN":null,"AbstractTextCN":null,"PMCID":null,"EPubDate":"2025/6/11 0:00:00","PubModel":"Epub","JCR":"Q2","JCRName":"PARASITOLOGY","Score":null,"Total":0}
引用次数: 0

Abstract

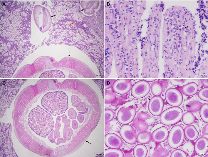
Baylisascaris schroederi McIntosh, 1939 (Ascarididae), a nematode specific to giant pandas (Ailuropoda melanoleuca), is a major health threat, particularly to wild populations. A 20-year-old wild adult female giant panda rescued from a Chinese nature reserve died with a 2-month history of emaciation and weakness. Necropsy was performed. Grossly, the giant panda was very thin with minimal fat stores throughout, and marked serous atrophy of fat around the kidneys. Mesenteric edema was very pronounced in the posterior intestine. The abdominal cavity contained approximately 5 L of orange-yellow, translucent, low-viscosity fluid. There were ca. 1,660 robust ascarids occupying the lumen of the esophagus, stomach, and intestines. Microscopically, the intestine showed moderate necrotizing and eosinophilic enteritis with adult nematodes, consistent with an ascarid. PCR and sequencing confirmed that the ascarid species was B. schroederi. This case highlights a fatal B. schroederi infection in a wild giant panda, with malnutrition and possible multiple organ failure identified as the primary causes of death.

Abstract Image

Abstract Image

Abstract Image

野生大熊猫施氏贝利蛔虫致死性感染的病理分析。
Baylisascaris schroederi McIntosh, 1939(蛔虫科)是大熊猫(Ailuropoda melanoleuca)特有的一种线虫,是一种主要的健康威胁,特别是对野生种群。从中国自然保护区获救的一只20岁的野生成年雌性大熊猫因两个月的消瘦和虚弱去世。进行尸检。大体来说,大熊猫非常瘦,全身脂肪储存很少,肾脏周围的脂肪严重萎缩。后肠肠系膜水肿非常明显。腹腔内含有约5l橙黄色、半透明、低粘度液体。食道、胃和肠的腔内约有1660条健壮的蛔虫。显微镜下,肠显示中度坏死性和嗜酸性肠炎,伴有成虫,与蛔虫一致。PCR和测序结果证实该虫种为施氏小蠊。本病例强调了野生大熊猫的致命施氏芽胞杆菌感染,营养不良和可能的多器官衰竭被确定为主要死亡原因。
本文章由计算机程序翻译,如有差异,请以英文原文为准。
求助全文
约1分钟内获得全文 求助全文
来源期刊
Parasite
Parasite 医学-寄生虫学
CiteScore
5.50
自引率
6.90%
发文量
49
审稿时长
3 months
期刊介绍: Parasite is an international open-access, peer-reviewed, online journal publishing high quality papers on all aspects of human and animal parasitology. Reviews, articles and short notes may be submitted. Fields include, but are not limited to: general, medical and veterinary parasitology; morphology, including ultrastructure; parasite systematics, including entomology, acarology, helminthology and protistology, and molecular analyses; molecular biology and biochemistry; immunology of parasitic diseases; host-parasite relationships; ecology and life history of parasites; epidemiology; therapeutics; new diagnostic tools. All papers in Parasite are published in English. Manuscripts should have a broad interest and must not have been published or submitted elsewhere. No limit is imposed on the length of manuscripts, but they should be concisely written. Papers of limited interest such as case reports, epidemiological studies in punctual areas, isolated new geographical records, and systematic descriptions of single species will generally not be accepted, but might be considered if the authors succeed in demonstrating their interest.
×
引用
GB/T 7714-2015
复制
MLA
复制
APA
复制
导出至
BibTeX EndNote RefMan NoteFirst NoteExpress
×
提示
您的信息不完整,为了账户安全,请先补充。
现在去补充
×
提示
您因"违规操作"
具体请查看互助需知
我知道了
×
提示
确定
请完成安全验证×
copy
已复制链接
快去分享给好友吧!
我知道了
右上角分享
点击右上角分享
0
联系我们:info@booksci.cn Book学术提供免费学术资源搜索服务,方便国内外学者检索中英文文献。致力于提供最便捷和优质的服务体验。 Copyright © 2023 布克学术 All rights reserved.
京ICP备2023020795号-1
ghs 京公网安备 11010802042870号
Book学术文献互助
Book学术文献互助群
群 号:604180095
Book学术官方微信