Diagnostic Accuracy of MRI and CT Scan Features in Differentiation of Pediatric Ependymoma from Medulloblastoma.

IF 0.9 Q4 CLINICAL NEUROLOGY
Iranian Journal of Child Neurology Pub Date : 2025-01-01 Epub Date: 2025-01-07 DOI:10.22037/ijcn.v19i1.42100
Sam Mirfendereski, Neda Mansouri
{"title":"Diagnostic Accuracy of MRI and CT Scan Features in Differentiation of Pediatric Ependymoma from Medulloblastoma.","authors":"Sam Mirfendereski, Neda Mansouri","doi":"10.22037/ijcn.v19i1.42100","DOIUrl":null,"url":null,"abstract":"<p><strong>Objectives: </strong>The study aims to compare the diagnostic accuracy of MRI and CT scan features in differentiating medulloblastoma from ependymoma, two similar pediatric brain tumors.</p><p><strong>Materials & methods: </strong>This retrospective cross-sectional study was conducted on all pediatric patients with posterior fossa tumors admitted to teaching hospitals affiliated with Isfahan University of Medical Sciences from 2017 to 2022. Forty-three patients with posterior fossa tumors were identified, and seven patients were excluded due to diagnoses other than medulloblastoma or ependymoma. Tumor morphology on MRI, tumor density on CT scan, and apparent diffusion coefficient (ADC) values were assessed to differentiate medulloblastoma from ependymoma.</p><p><strong>Results: </strong>Histopathologic diagnosis was medulloblastoma in 21 patients (60%) and ependymoma in 14 patients (40%). Mean ADC values in medulloblastoma and ependymoma cases were 0.67±0.19 (range= 0.50-1.25) and 1.22±0.29 (range=0.67-1.72), showing a significant statistical difference between the two groups (p-value=0.000). The ADC cut-off point of 0.9825 was associated with 90% sensitivity and 92.9% specificity for differentiation of ependymoma from medulloblastoma.</p><p><strong>Conclusion: </strong>While tumor morphology on MRI and other studied parameters are unreliable for differentiating medulloblastoma and ependymoma, ADC values may provide a potential diagnostic tool. Further studies are needed to confirm the utility of DWI and other advanced MRI techniques in differentiating these tumors.</p>","PeriodicalId":14537,"journal":{"name":"Iranian Journal of Child Neurology","volume":"19 1","pages":"55-63"},"PeriodicalIF":0.9000,"publicationDate":"2025-01-01","publicationTypes":"Journal Article","fieldsOfStudy":null,"isOpenAccess":false,"openAccessPdf":"https://www.ncbi.nlm.nih.gov/pmc/articles/PMC11781333/pdf/","citationCount":"0","resultStr":null,"platform":"Semanticscholar","paperid":null,"PeriodicalName":"Iranian Journal of Child Neurology","FirstCategoryId":"1085","ListUrlMain":"https://doi.org/10.22037/ijcn.v19i1.42100","RegionNum":0,"RegionCategory":null,"ArticlePicture":[],"TitleCN":null,"AbstractTextCN":null,"PMCID":null,"EPubDate":"2025/1/7 0:00:00","PubModel":"Epub","JCR":"Q4","JCRName":"CLINICAL NEUROLOGY","Score":null,"Total":0}
引用次数: 0

Abstract

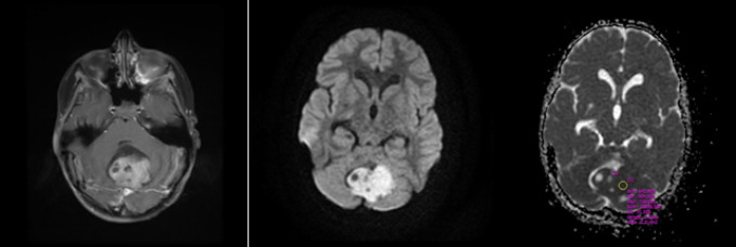
Objectives: The study aims to compare the diagnostic accuracy of MRI and CT scan features in differentiating medulloblastoma from ependymoma, two similar pediatric brain tumors.

Materials & methods: This retrospective cross-sectional study was conducted on all pediatric patients with posterior fossa tumors admitted to teaching hospitals affiliated with Isfahan University of Medical Sciences from 2017 to 2022. Forty-three patients with posterior fossa tumors were identified, and seven patients were excluded due to diagnoses other than medulloblastoma or ependymoma. Tumor morphology on MRI, tumor density on CT scan, and apparent diffusion coefficient (ADC) values were assessed to differentiate medulloblastoma from ependymoma.

Results: Histopathologic diagnosis was medulloblastoma in 21 patients (60%) and ependymoma in 14 patients (40%). Mean ADC values in medulloblastoma and ependymoma cases were 0.67±0.19 (range= 0.50-1.25) and 1.22±0.29 (range=0.67-1.72), showing a significant statistical difference between the two groups (p-value=0.000). The ADC cut-off point of 0.9825 was associated with 90% sensitivity and 92.9% specificity for differentiation of ependymoma from medulloblastoma.

Conclusion: While tumor morphology on MRI and other studied parameters are unreliable for differentiating medulloblastoma and ependymoma, ADC values may provide a potential diagnostic tool. Further studies are needed to confirm the utility of DWI and other advanced MRI techniques in differentiating these tumors.

Abstract Image

Abstract Image

Abstract Image

小儿室管膜瘤与成神经管细胞瘤的MRI和CT鉴别诊断准确性。
目的:比较MRI和CT扫描特征在鉴别髓母细胞瘤和室管膜瘤这两种相似的儿童脑肿瘤中的诊断准确性。材料与方法:本研究对2017 - 2022年伊斯法罕医科大学附属教学医院收治的所有小儿后窝肿瘤患者进行回顾性横断面研究。43例后窝肿瘤被确诊,除髓母细胞瘤或室管膜瘤外7例被排除。通过MRI的肿瘤形态、CT的肿瘤密度和表观扩散系数(ADC)来鉴别成神经管细胞瘤和室管膜瘤。结果:组织病理学诊断为成神经管细胞瘤21例(60%),室管膜瘤14例(40%)。成神经管细胞瘤和室管膜瘤的平均ADC值分别为0.67±0.19(范围0.50 ~ 1.25)和1.22±0.29(范围0.67 ~ 1.72),两组间差异有统计学意义(p值=0.000)。ADC截止点0.9825与室管膜瘤与成神经管细胞瘤鉴别的90%敏感性和92.9%特异性相关。结论:虽然MRI上的肿瘤形态和其他研究参数对髓母细胞瘤和室管膜瘤的鉴别不可靠,但ADC值可能提供一个潜在的诊断工具。需要进一步的研究来证实DWI和其他先进的MRI技术在鉴别这些肿瘤中的应用。
本文章由计算机程序翻译,如有差异,请以英文原文为准。
求助全文
约1分钟内获得全文 求助全文
来源期刊
CiteScore
1.40
自引率
0.00%
发文量
35
×
引用
GB/T 7714-2015
复制
MLA
复制
APA
复制
导出至
BibTeX EndNote RefMan NoteFirst NoteExpress
×
提示
您的信息不完整,为了账户安全,请先补充。
现在去补充
×
提示
您因"违规操作"
具体请查看互助需知
我知道了
×
提示
确定
请完成安全验证×
copy
已复制链接
快去分享给好友吧!
我知道了
右上角分享
点击右上角分享
0
联系我们:info@booksci.cn Book学术提供免费学术资源搜索服务,方便国内外学者检索中英文文献。致力于提供最便捷和优质的服务体验。 Copyright © 2023 布克学术 All rights reserved.
京ICP备2023020795号-1
ghs 京公网安备 11010802042870号
Book学术文献互助
Book学术文献互助群
群 号:604180095
Book学术官方微信