Some sage advice: A case report of sage burning causing interstitial lung disease.

IF 3.9 4区 医学 Q1 MEDICINE, GENERAL & INTERNAL
Clinical Medicine Pub Date : 2025-07-01 Epub Date: 2025-06-08 DOI:10.1016/j.clinme.2025.100337
Jonathan Ayling-Smith, Richard Attanoos, Nicola-Xan Hutchinson
{"title":"Some sage advice: A case report of sage burning causing interstitial lung disease.","authors":"Jonathan Ayling-Smith, Richard Attanoos, Nicola-Xan Hutchinson","doi":"10.1016/j.clinme.2025.100337","DOIUrl":null,"url":null,"abstract":"<p><strong>Background: </strong>Cigarette smoking remains the commonest cause of chronic obstructive pulmonary disease (COPD) and respiratory bronchiolitis-associated interstitial lung disease (RB-ILD). Biomass combustion remains a high risk for causing respiratory disease.</p><p><strong>Method: </strong>We present a case of a 41-year-old woman and never-smoker with worsening breathlessness. It was identified that she made fire pits burning sage and oils for spiritual work, but beyond this had no respiratory risk factors.</p><p><strong>Results: </strong>Radiological evidence of RB-ILD was identified and a bronchoscopic lavage demonstrated the presence of striking green pigmented macrophages, presumed to be chlorophyll uptake.</p><p><strong>Conclusions: </strong>Cessation of burning sage exposure has resulted in a positive outcome. This case highlights the need for an extensive occupational or exposure history in respiratory medicine and describes histological features of interstitial lung disease not previously identified.</p>","PeriodicalId":10492,"journal":{"name":"Clinical Medicine","volume":" ","pages":"100337"},"PeriodicalIF":3.9000,"publicationDate":"2025-07-01","publicationTypes":"Journal Article","fieldsOfStudy":null,"isOpenAccess":false,"openAccessPdf":"https://www.ncbi.nlm.nih.gov/pmc/articles/PMC12226064/pdf/","citationCount":"0","resultStr":null,"platform":"Semanticscholar","paperid":null,"PeriodicalName":"Clinical Medicine","FirstCategoryId":"3","ListUrlMain":"https://doi.org/10.1016/j.clinme.2025.100337","RegionNum":4,"RegionCategory":"医学","ArticlePicture":[],"TitleCN":null,"AbstractTextCN":null,"PMCID":null,"EPubDate":"2025/6/8 0:00:00","PubModel":"Epub","JCR":"Q1","JCRName":"MEDICINE, GENERAL & INTERNAL","Score":null,"Total":0}
引用次数: 0

Abstract

Background: Cigarette smoking remains the commonest cause of chronic obstructive pulmonary disease (COPD) and respiratory bronchiolitis-associated interstitial lung disease (RB-ILD). Biomass combustion remains a high risk for causing respiratory disease.

Method: We present a case of a 41-year-old woman and never-smoker with worsening breathlessness. It was identified that she made fire pits burning sage and oils for spiritual work, but beyond this had no respiratory risk factors.

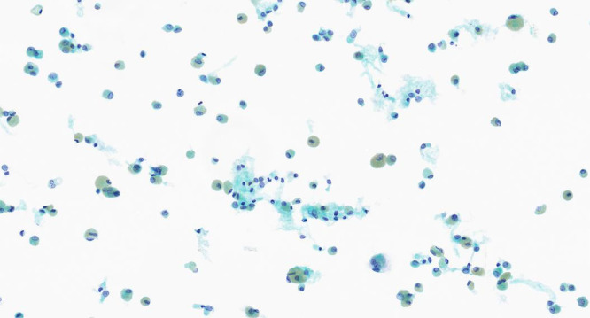
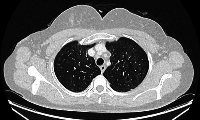
Results: Radiological evidence of RB-ILD was identified and a bronchoscopic lavage demonstrated the presence of striking green pigmented macrophages, presumed to be chlorophyll uptake.

Conclusions: Cessation of burning sage exposure has resulted in a positive outcome. This case highlights the need for an extensive occupational or exposure history in respiratory medicine and describes histological features of interstitial lung disease not previously identified.

Abstract Image

Abstract Image

鼠尾草烧伤致间质性肺病1例。
背景:吸烟仍然是慢性阻塞性肺疾病(COPD)和呼吸道细支气管炎相关间质性肺疾病(RB-ILD)的最常见原因。生物质燃烧仍然是引起呼吸系统疾病的高风险因素。方法:我们报告一例41岁女性,从不吸烟,呼吸困难加重。经鉴定,她制造火坑燃烧鼠尾草和油进行精神工作,但除此之外没有呼吸危险因素。结果:发现了RB-ILD的放射学证据,支气管镜冲洗显示存在明显的绿色色素巨噬细胞,推测是叶绿素摄取。结论:停止燃烧鼠尾草暴露导致了一个积极的结果。该病例强调了在呼吸医学方面需要广泛的职业或暴露史,并描述了以前未发现的间质性肺病的组织学特征。
本文章由计算机程序翻译,如有差异,请以英文原文为准。
求助全文
约1分钟内获得全文 求助全文
来源期刊
Clinical Medicine
Clinical Medicine 医学-医学:内科
CiteScore
7.20
自引率
0.00%
发文量
0
审稿时长
6-12 weeks
期刊介绍: Clinical Medicine is aimed at practising physicians in the UK and overseas and has relevance to all those managing or working within the healthcare sector. Available in print and online, the journal seeks to encourage high standards of medical care by promoting good clinical practice through original research, review and comment. The journal also includes a dedicated continuing medical education (CME) section in each issue. This presents the latest advances in a chosen specialty, with self-assessment questions at the end of each topic enabling CPD accreditation to be acquired. ISSN: 1470-2118 E-ISSN: 1473-4893 Frequency: 6 issues per year
×
引用
GB/T 7714-2015
复制
MLA
复制
APA
复制
导出至
BibTeX EndNote RefMan NoteFirst NoteExpress
×
提示
您的信息不完整,为了账户安全,请先补充。
现在去补充
×
提示
您因"违规操作"
具体请查看互助需知
我知道了
×
提示
确定
请完成安全验证×
copy
已复制链接
快去分享给好友吧!
我知道了
右上角分享
点击右上角分享
0
联系我们:info@booksci.cn Book学术提供免费学术资源搜索服务,方便国内外学者检索中英文文献。致力于提供最便捷和优质的服务体验。 Copyright © 2023 布克学术 All rights reserved.
京ICP备2023020795号-1
ghs 京公网安备 11010802042870号
Book学术文献互助
Book学术文献互助群
群 号:604180095
Book学术官方微信