Neoadjuvant Chemotherapy With Selpercatinib for Locally Advanced RET Fusion-Positive Papillary Thyroid Carcinoma: A Case Report.

IF 0.9 Q4 ENDOCRINOLOGY & METABOLISM
Case Reports in Endocrinology Pub Date : 2025-06-03 eCollection Date: 2025-01-01 DOI:10.1155/crie/6676471
Mei Kadoya, Katsuhiko Masudo, Hiroyuki Ito, Yoichiro Okubo, Yohei Miyagi, Hiroyuki Hayashi, Hiroyuki Iwasaki
{"title":"Neoadjuvant Chemotherapy With Selpercatinib for Locally Advanced <i>RET</i> Fusion-Positive Papillary Thyroid Carcinoma: A Case Report.","authors":"Mei Kadoya, Katsuhiko Masudo, Hiroyuki Ito, Yoichiro Okubo, Yohei Miyagi, Hiroyuki Hayashi, Hiroyuki Iwasaki","doi":"10.1155/crie/6676471","DOIUrl":null,"url":null,"abstract":"<p><p>A 65-year-old male presented to our hospital with a complaint of a left cervical mass. The left supraclavicular lymph node was enlarged, measuring 77 mm, and biopsy results confirmed metastasis of papillary thyroid carcinoma (PTC). The left supraclavicular lymph node extended to the upper mediastinum and invaded the internal jugular and subclavian veins, with suspicion of common carotid and subclavian artery invasion. Surgical resection was deemed infeasible. The Oncomine Dx Target Test system, a gene panel test using a next-generation sequencer, of the metastatic lymph node was positive for <i>RET</i> fusion (<i>CCDC6-RET</i>), and selpercatinib treatment was initiated. After 4 months, the tumor reduced in size, and surgery was performed. The postoperative course was uneventful, with ongoing follow-up. This case is a successful case of neoadjuvant chemotherapy for <i>RET</i> fusion-positive PTC with local regional progression.</p>","PeriodicalId":9621,"journal":{"name":"Case Reports in Endocrinology","volume":"2025 ","pages":"6676471"},"PeriodicalIF":0.9000,"publicationDate":"2025-06-03","publicationTypes":"Journal Article","fieldsOfStudy":null,"isOpenAccess":false,"openAccessPdf":"https://www.ncbi.nlm.nih.gov/pmc/articles/PMC12151616/pdf/","citationCount":"0","resultStr":null,"platform":"Semanticscholar","paperid":null,"PeriodicalName":"Case Reports in Endocrinology","FirstCategoryId":"1085","ListUrlMain":"https://doi.org/10.1155/crie/6676471","RegionNum":0,"RegionCategory":null,"ArticlePicture":[],"TitleCN":null,"AbstractTextCN":null,"PMCID":null,"EPubDate":"2025/1/1 0:00:00","PubModel":"eCollection","JCR":"Q4","JCRName":"ENDOCRINOLOGY & METABOLISM","Score":null,"Total":0}
引用次数: 0

Abstract

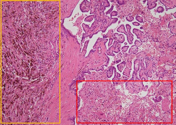
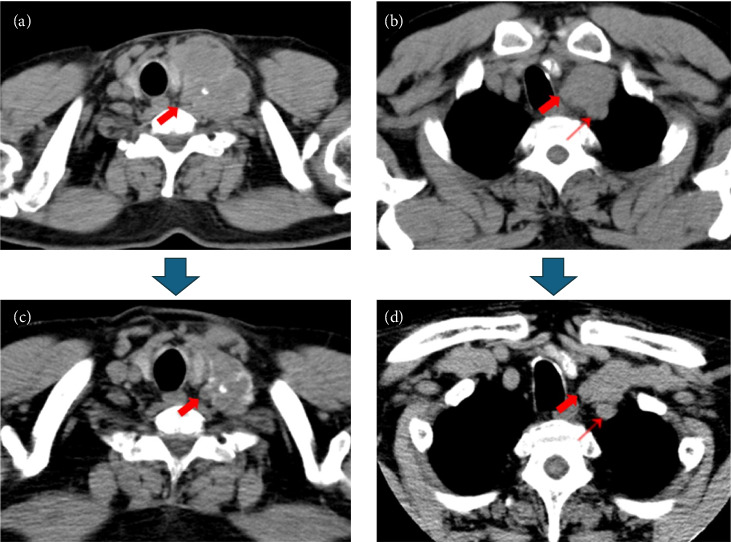
A 65-year-old male presented to our hospital with a complaint of a left cervical mass. The left supraclavicular lymph node was enlarged, measuring 77 mm, and biopsy results confirmed metastasis of papillary thyroid carcinoma (PTC). The left supraclavicular lymph node extended to the upper mediastinum and invaded the internal jugular and subclavian veins, with suspicion of common carotid and subclavian artery invasion. Surgical resection was deemed infeasible. The Oncomine Dx Target Test system, a gene panel test using a next-generation sequencer, of the metastatic lymph node was positive for RET fusion (CCDC6-RET), and selpercatinib treatment was initiated. After 4 months, the tumor reduced in size, and surgery was performed. The postoperative course was uneventful, with ongoing follow-up. This case is a successful case of neoadjuvant chemotherapy for RET fusion-positive PTC with local regional progression.

Abstract Image

Abstract Image

Abstract Image

Selpercatinib新辅助化疗治疗局部晚期RET融合阳性甲状腺乳头状癌1例。
一名65岁男性以左侧颈椎肿块主诉到我院就诊。左侧锁骨上淋巴结肿大,约77mm,活检证实甲状腺乳头状癌转移。左侧锁骨上淋巴结延伸至上纵隔,侵犯颈内静脉及锁骨下静脉,怀疑侵犯颈总动脉及锁骨下动脉。手术切除被认为是不可行的。Oncomine Dx靶检测系统是一种使用下一代测序仪的基因面板检测,转移淋巴结RET融合(CCDC6-RET)呈阳性,并开始使用selpercatinib治疗。4个月后,肿瘤缩小,行手术治疗。术后过程平稳,持续随访。本病例为RET融合阳性PTC局部局部进展的新辅助化疗成功病例。
本文章由计算机程序翻译,如有差异,请以英文原文为准。
求助全文
约1分钟内获得全文 求助全文
来源期刊
Case Reports in Endocrinology
Case Reports in Endocrinology ENDOCRINOLOGY & METABOLISM-
CiteScore
2.10
自引率
0.00%
发文量
45
审稿时长
13 weeks
×
引用
GB/T 7714-2015
复制
MLA
复制
APA
复制
导出至
BibTeX EndNote RefMan NoteFirst NoteExpress
×
提示
您的信息不完整,为了账户安全,请先补充。
现在去补充
×
提示
您因"违规操作"
具体请查看互助需知
我知道了
×
提示
确定
请完成安全验证×
copy
已复制链接
快去分享给好友吧!
我知道了
右上角分享
点击右上角分享
0
联系我们:info@booksci.cn Book学术提供免费学术资源搜索服务,方便国内外学者检索中英文文献。致力于提供最便捷和优质的服务体验。 Copyright © 2023 布克学术 All rights reserved.
京ICP备2023020795号-1
ghs 京公网安备 11010802042870号
Book学术文献互助
Book学术文献互助群
群 号:604180095
Book学术官方微信