Rare Presentation of Moyamoya Disease with an Acute Subdural Hemorrhage from a Rare Location of Aneurysm-Related Moyamoya Disease.

Asian journal of neurosurgery Pub Date : 2025-01-17 eCollection Date: 2025-06-01 DOI:10.1055/s-0044-1801374
Surasak Komonchan, Yodkhwan Wattanasen
{"title":"Rare Presentation of Moyamoya Disease with an Acute Subdural Hemorrhage from a Rare Location of Aneurysm-Related Moyamoya Disease.","authors":"Surasak Komonchan, Yodkhwan Wattanasen","doi":"10.1055/s-0044-1801374","DOIUrl":null,"url":null,"abstract":"<p><p>Spontaneous acute subdural hematoma is uncommon and usually caused by coagulopathy or other bleeding disorders, malignancy, intracranial hypotension, and abnormal intracranial vessels. We present unique cases of acute spontaneous subdural hematoma from moyamoya disease. There are a few cases reported, and we review previous literature and describe bleeding sources from aneurysms related to moyamoya disease in highly unusual locations.</p>","PeriodicalId":94300,"journal":{"name":"Asian journal of neurosurgery","volume":"20 2","pages":"367-372"},"PeriodicalIF":0.0000,"publicationDate":"2025-01-17","publicationTypes":"Journal Article","fieldsOfStudy":null,"isOpenAccess":false,"openAccessPdf":"https://www.ncbi.nlm.nih.gov/pmc/articles/PMC12136944/pdf/","citationCount":"0","resultStr":null,"platform":"Semanticscholar","paperid":null,"PeriodicalName":"Asian journal of neurosurgery","FirstCategoryId":"1085","ListUrlMain":"https://doi.org/10.1055/s-0044-1801374","RegionNum":0,"RegionCategory":null,"ArticlePicture":[],"TitleCN":null,"AbstractTextCN":null,"PMCID":null,"EPubDate":"2025/6/1 0:00:00","PubModel":"eCollection","JCR":"","JCRName":"","Score":null,"Total":0}
引用次数: 0

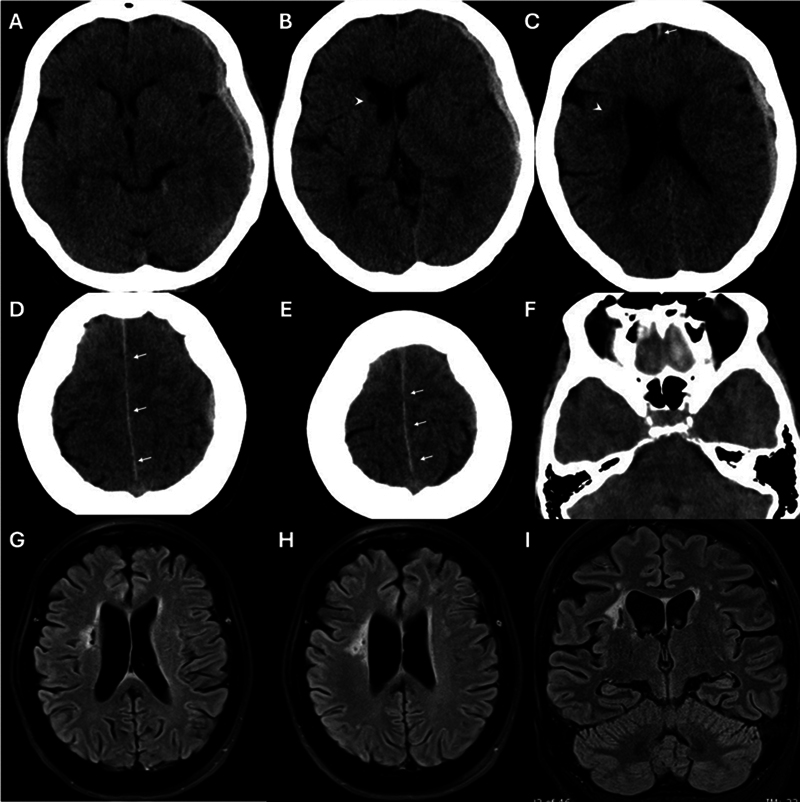
Abstract

Spontaneous acute subdural hematoma is uncommon and usually caused by coagulopathy or other bleeding disorders, malignancy, intracranial hypotension, and abnormal intracranial vessels. We present unique cases of acute spontaneous subdural hematoma from moyamoya disease. There are a few cases reported, and we review previous literature and describe bleeding sources from aneurysms related to moyamoya disease in highly unusual locations.

Abstract Image

Abstract Image

Abstract Image

罕见的烟雾病并发急性硬膜下出血,来自动脉瘤相关烟雾病的罕见部位。
自发性急性硬膜下血肿并不常见,通常由凝血功能障碍或其他出血性疾病、恶性肿瘤、颅内低血压和颅内血管异常引起。我们提出独特的病例急性自发性硬膜下血肿从烟雾病。有一些病例报道,我们回顾了以前的文献,并描述了在非常不寻常的位置与烟雾病相关的动脉瘤的出血来源。
本文章由计算机程序翻译,如有差异,请以英文原文为准。
求助全文
约1分钟内获得全文 求助全文
来源期刊
自引率
0.00%
发文量
0
×
引用
GB/T 7714-2015
复制
MLA
复制
APA
复制
导出至
BibTeX EndNote RefMan NoteFirst NoteExpress
×
提示
您的信息不完整,为了账户安全,请先补充。
现在去补充
×
提示
您因"违规操作"
具体请查看互助需知
我知道了
×
提示
确定
请完成安全验证×
copy
已复制链接
快去分享给好友吧!
我知道了
右上角分享
点击右上角分享
0
联系我们:info@booksci.cn Book学术提供免费学术资源搜索服务,方便国内外学者检索中英文文献。致力于提供最便捷和优质的服务体验。 Copyright © 2023 布克学术 All rights reserved.
京ICP备2023020795号-1
ghs 京公网安备 11010802042870号
Book学术文献互助
Book学术文献互助群
群 号:604180095
Book学术官方微信