Computer-aided Nodule Detection in the Lung Apices in Head and Neck Computed Tomography Angiography: An Unexpected Opportunity.

IF 1.9 4区 医学 Q3 RADIOLOGY, NUCLEAR MEDICINE & MEDICAL IMAGING
Tamar Perel Kass, Jeffrey Chankowsky, Jacob Sosna, Benjamin Hyatt Taragin, Alla Khashper
{"title":"Computer-aided Nodule Detection in the Lung Apices in Head and Neck Computed Tomography Angiography: An Unexpected Opportunity.","authors":"Tamar Perel Kass, Jeffrey Chankowsky, Jacob Sosna, Benjamin Hyatt Taragin, Alla Khashper","doi":"10.1097/RTI.0000000000000836","DOIUrl":null,"url":null,"abstract":"<p><strong>Purpose: </strong>Computed tomography angiography (CTA) of the head and neck includes the pulmonary apices, a common location for pulmonary nodules. Computer-aided detection (CAD) is an adjunctive tool for the detection of lung nodules and is widely used in standard chest CT scans. We evaluated whether the available software can be applied to CTA head and neck examinations, which include the lung apices, resulting in improved accuracy for lung nodule detection.</p><p><strong>Materials and methods: </strong>In this retrospective single-center study, 191 previously reported head and neck CTA scans were re-evaluated for apical pulmonary nodules by 2 radiologists. Subsequently, CAD software ( Syngo .via, Siemens Healthiness AG) was applied to the lung apices and the results were compared between CAD and research radiologists (first reading) or clinical radiologist (null reading). In addition, the CAD performance in limited lung fields was compared with the accepted CAD assessment applied to whole lungs.</p><p><strong>Results: </strong>Of the 191 patients, 110 (57.6%) were men, with a mean age of 68 years. In the 24 CT scans, the research radiologists detected 40 nodules. In the 180 scans evaluated by CAD, the software detected 39 nodules in 22 examinations, with a sensitivity of 60.8% and a PPV of 63.6%. In the remaining 158 examinations in which CAD did not detect nodules, the radiologists concurred in 149 scans, with a specificity of 94.9%, NPV of 94.3%, and accuracy of 90.6%.</p><p><strong>Conclusion: </strong>The study results indicate that CAD is an unexpected quick supportive tool for nodule detection, particularly for excluding clinically significant nodules in lung apices on CTA head and neck, showing similar results for partial and full lung fields.</p>","PeriodicalId":49974,"journal":{"name":"Journal of Thoracic Imaging","volume":" ","pages":""},"PeriodicalIF":1.9000,"publicationDate":"2025-09-01","publicationTypes":"Journal Article","fieldsOfStudy":null,"isOpenAccess":false,"openAccessPdf":"https://www.ncbi.nlm.nih.gov/pmc/articles/PMC12369503/pdf/","citationCount":"0","resultStr":null,"platform":"Semanticscholar","paperid":null,"PeriodicalName":"Journal of Thoracic Imaging","FirstCategoryId":"3","ListUrlMain":"https://doi.org/10.1097/RTI.0000000000000836","RegionNum":4,"RegionCategory":"医学","ArticlePicture":[],"TitleCN":null,"AbstractTextCN":null,"PMCID":null,"EPubDate":"","PubModel":"","JCR":"Q3","JCRName":"RADIOLOGY, NUCLEAR MEDICINE & MEDICAL IMAGING","Score":null,"Total":0}
引用次数: 0

Abstract

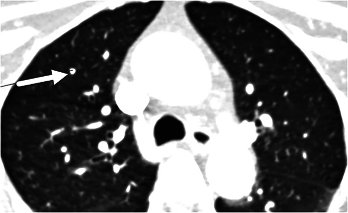
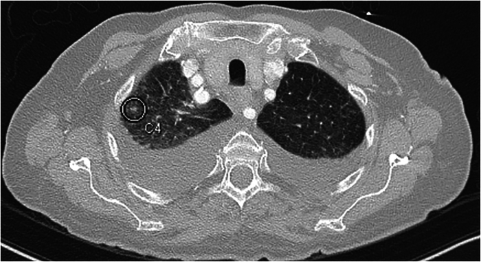
Purpose: Computed tomography angiography (CTA) of the head and neck includes the pulmonary apices, a common location for pulmonary nodules. Computer-aided detection (CAD) is an adjunctive tool for the detection of lung nodules and is widely used in standard chest CT scans. We evaluated whether the available software can be applied to CTA head and neck examinations, which include the lung apices, resulting in improved accuracy for lung nodule detection.

Materials and methods: In this retrospective single-center study, 191 previously reported head and neck CTA scans were re-evaluated for apical pulmonary nodules by 2 radiologists. Subsequently, CAD software ( Syngo .via, Siemens Healthiness AG) was applied to the lung apices and the results were compared between CAD and research radiologists (first reading) or clinical radiologist (null reading). In addition, the CAD performance in limited lung fields was compared with the accepted CAD assessment applied to whole lungs.

Results: Of the 191 patients, 110 (57.6%) were men, with a mean age of 68 years. In the 24 CT scans, the research radiologists detected 40 nodules. In the 180 scans evaluated by CAD, the software detected 39 nodules in 22 examinations, with a sensitivity of 60.8% and a PPV of 63.6%. In the remaining 158 examinations in which CAD did not detect nodules, the radiologists concurred in 149 scans, with a specificity of 94.9%, NPV of 94.3%, and accuracy of 90.6%.

Conclusion: The study results indicate that CAD is an unexpected quick supportive tool for nodule detection, particularly for excluding clinically significant nodules in lung apices on CTA head and neck, showing similar results for partial and full lung fields.

Abstract Image

Abstract Image

Abstract Image

头颈部计算机断层血管造影中肺尖的计算机辅助结节检测:一个意外的机会。
目的:头部和颈部的计算机断层血管造影(CTA)包括肺尖,肺结节的常见位置。计算机辅助检测(CAD)是检测肺结节的辅助工具,在标准胸部CT扫描中被广泛使用。我们评估了可用的软件是否可以应用于CTA头颈部检查,包括肺尖,从而提高肺结节检测的准确性。材料和方法:在这项回顾性单中心研究中,2名放射科医生对191例先前报道的头颈部CTA扫描进行了重新评估。随后,CAD软件(Syngo。通过,西门子健康公司(Siemens Healthiness AG)应用于肺尖,并将CAD与研究放射科医生(首次读取)或临床放射科医生(无效读取)的结果进行比较。此外,将有限肺场的CAD表现与全肺的CAD评估进行比较。结果:191例患者中,男性110例(57.6%),平均年龄68岁。在24次CT扫描中,研究放射科医生发现了40个结节。在CAD评估的180次扫描中,该软件在22次检查中检测到39个结节,灵敏度为60.8%,PPV为63.6%。在其余158例CAD未发现结节的检查中,放射科医生在149次扫描中一致,特异性为94.9%,NPV为94.3%,准确性为90.6%。结论:本研究结果表明,CAD是一种意想不到的结节检测的快速支持工具,特别是在CTA头颈部肺尖处排除临床意义显著的结节,对部分和全肺野显示相似的结果。
本文章由计算机程序翻译,如有差异,请以英文原文为准。
求助全文
约1分钟内获得全文 求助全文
来源期刊
Journal of Thoracic Imaging
Journal of Thoracic Imaging 医学-核医学
CiteScore
7.10
自引率
9.10%
发文量
87
审稿时长
6-12 weeks
期刊介绍: Journal of Thoracic Imaging (JTI) provides authoritative information on all aspects of the use of imaging techniques in the diagnosis of cardiac and pulmonary diseases. Original articles and analytical reviews published in this timely journal provide the very latest thinking of leading experts concerning the use of chest radiography, computed tomography, magnetic resonance imaging, positron emission tomography, ultrasound, and all other promising imaging techniques in cardiopulmonary radiology. Official Journal of the Society of Thoracic Radiology: Japanese Society of Thoracic Radiology Korean Society of Thoracic Radiology European Society of Thoracic Imaging.
×
引用
GB/T 7714-2015
复制
MLA
复制
APA
复制
导出至
BibTeX EndNote RefMan NoteFirst NoteExpress
×
提示
您的信息不完整,为了账户安全,请先补充。
现在去补充
×
提示
您因"违规操作"
具体请查看互助需知
我知道了
×
提示
确定
请完成安全验证×
copy
已复制链接
快去分享给好友吧!
我知道了
右上角分享
点击右上角分享
0
联系我们:info@booksci.cn Book学术提供免费学术资源搜索服务,方便国内外学者检索中英文文献。致力于提供最便捷和优质的服务体验。 Copyright © 2023 布克学术 All rights reserved.
京ICP备2023020795号-1
ghs 京公网安备 11010802042870号
Book学术文献互助
Book学术文献互助群
群 号:604180095
Book学术官方微信