Diagnostic Value of Biomarkers in the Diagnosis of Cholangiocarcinoma and Its Benign Mimickers.

Q3 Medicine
Iranian Journal of Pathology Pub Date : 2025-01-01 Epub Date: 2025-03-10 DOI:10.30699/ijp.2025.2029980.3307
Elmira Zolfeghari Khiavy, Nasser Rakhshani, Hamid Rezvani, Behnaz Bouzari, Hossein Ajdarkosh, Mahshid Panahi, Hemin Ashayeri, Seyed Mir Yaghub Musaviani, Soheil Khalili, Ali Basi, Mohammad Hadi Karbalaie Niya
{"title":"Diagnostic Value of Biomarkers in the Diagnosis of Cholangiocarcinoma and Its Benign Mimickers.","authors":"Elmira Zolfeghari Khiavy, Nasser Rakhshani, Hamid Rezvani, Behnaz Bouzari, Hossein Ajdarkosh, Mahshid Panahi, Hemin Ashayeri, Seyed Mir Yaghub Musaviani, Soheil Khalili, Ali Basi, Mohammad Hadi Karbalaie Niya","doi":"10.30699/ijp.2025.2029980.3307","DOIUrl":null,"url":null,"abstract":"<p><strong>Background & objective: </strong>Cholangiocarcinoma (CCA) is a malignancy that accounts for approximately 3% gastrointestinal cancer. The aim of this study was to evaluate and compare the diagnostic value of CD56, SMAD4, CEA, and p53 biomarkers in diagnosing cholangiocarcinoma and its benign mimickers.</p><p><strong>Methods: </strong>This retrospective cross-sectional study was conducted on 54 CCA specimens and 27 non-cancerous pancreatobiliary tissue samples diagnosed between 2018 and 2022. All specimens were evaluated using immunohistochemistry (IHC) staining for CD56, SMAD4, CEA, and p53 expression. The cut-off value of each marker was obtained from the respective kit instructions and previous studies. The results were analyzed using SPSS version 26. A significance level of less than 0.05 was considered statistically significant.</p><p><strong>Results: </strong>Of the 81 specimens, the mean age in the case and control groups was 57.33 ± 11.99 and 44.7 ± 16.69 years, respectively, and 51 (63%) samples were obtained from male patients. We found that 39.5% had grade III p53 expression, 13.5% had grade II p53 expression, 41.9% had grade III CEA expression, and 9.8% had grade II CEA expression. Additionally, 17.3% were positive for CD56 expression, and 7.4% showed SMAD4 loss. There were significant associations between the expression of CEA (79.6%) and p53 (74%) in the CCA group (p-value < 0.05). However, SMAD4 loss and CD56 expression were not statistically significant.</p><p><strong>Conclusion: </strong>Expression of CEA and p53 based on IHC staining is associated with the occurrence of CCA. However, SMAD4 and CD56 were not significantly associated with CCA. Further survival analysis and sensitivity and specificity assessments are needed to obtain more comprehensive results.</p>","PeriodicalId":38900,"journal":{"name":"Iranian Journal of Pathology","volume":"20 2","pages":"159-166"},"PeriodicalIF":0.0000,"publicationDate":"2025-01-01","publicationTypes":"Journal Article","fieldsOfStudy":null,"isOpenAccess":false,"openAccessPdf":"https://www.ncbi.nlm.nih.gov/pmc/articles/PMC12142014/pdf/","citationCount":"0","resultStr":null,"platform":"Semanticscholar","paperid":null,"PeriodicalName":"Iranian Journal of Pathology","FirstCategoryId":"1085","ListUrlMain":"https://doi.org/10.30699/ijp.2025.2029980.3307","RegionNum":0,"RegionCategory":null,"ArticlePicture":[],"TitleCN":null,"AbstractTextCN":null,"PMCID":null,"EPubDate":"2025/3/10 0:00:00","PubModel":"Epub","JCR":"Q3","JCRName":"Medicine","Score":null,"Total":0}
引用次数: 0

Abstract

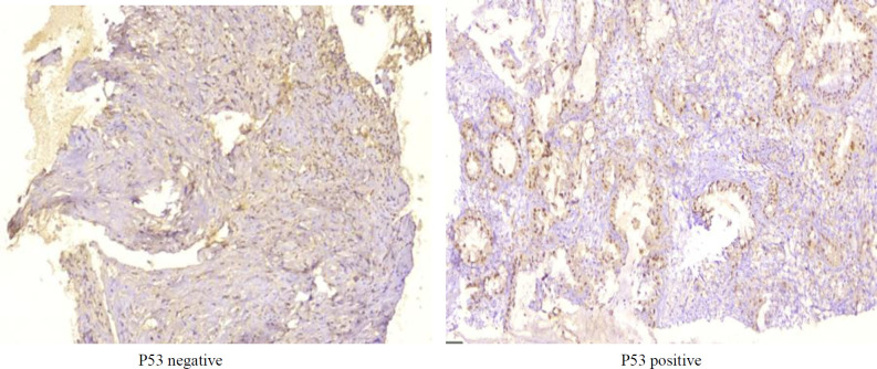
Background & objective: Cholangiocarcinoma (CCA) is a malignancy that accounts for approximately 3% gastrointestinal cancer. The aim of this study was to evaluate and compare the diagnostic value of CD56, SMAD4, CEA, and p53 biomarkers in diagnosing cholangiocarcinoma and its benign mimickers.

Methods: This retrospective cross-sectional study was conducted on 54 CCA specimens and 27 non-cancerous pancreatobiliary tissue samples diagnosed between 2018 and 2022. All specimens were evaluated using immunohistochemistry (IHC) staining for CD56, SMAD4, CEA, and p53 expression. The cut-off value of each marker was obtained from the respective kit instructions and previous studies. The results were analyzed using SPSS version 26. A significance level of less than 0.05 was considered statistically significant.

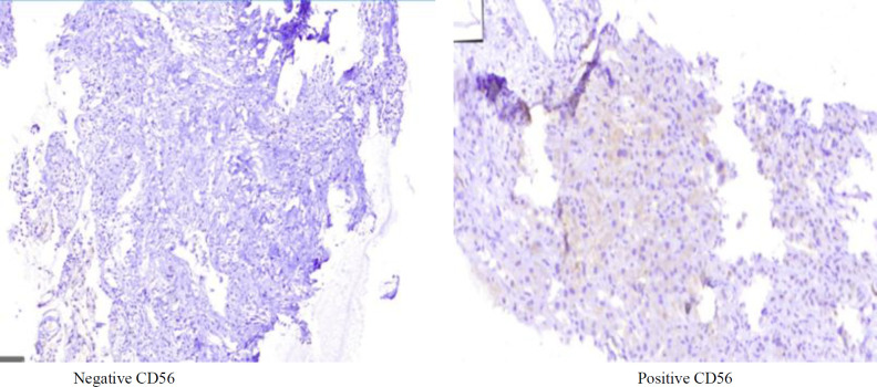
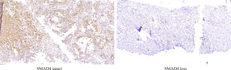
Results: Of the 81 specimens, the mean age in the case and control groups was 57.33 ± 11.99 and 44.7 ± 16.69 years, respectively, and 51 (63%) samples were obtained from male patients. We found that 39.5% had grade III p53 expression, 13.5% had grade II p53 expression, 41.9% had grade III CEA expression, and 9.8% had grade II CEA expression. Additionally, 17.3% were positive for CD56 expression, and 7.4% showed SMAD4 loss. There were significant associations between the expression of CEA (79.6%) and p53 (74%) in the CCA group (p-value < 0.05). However, SMAD4 loss and CD56 expression were not statistically significant.

Conclusion: Expression of CEA and p53 based on IHC staining is associated with the occurrence of CCA. However, SMAD4 and CD56 were not significantly associated with CCA. Further survival analysis and sensitivity and specificity assessments are needed to obtain more comprehensive results.

Abstract Image

Abstract Image

Abstract Image

生物标志物在胆管癌及其良性类似物诊断中的价值。
背景与目的:胆管癌(CCA)是一种恶性肿瘤,约占胃肠道肿瘤的3%。本研究的目的是评估和比较CD56、SMAD4、CEA和p53生物标志物对胆管癌及其良性模拟物的诊断价值。方法:回顾性横断面研究2018 - 2022年诊断的54例CCA标本和27例非癌性胰胆管组织标本。所有标本均采用免疫组化(IHC)染色检测CD56、SMAD4、CEA和p53的表达。每个标记物的截止值从各自的试剂盒说明书和先前的研究中获得。使用SPSS 26对结果进行分析。显著性水平小于0.05认为有统计学意义。结果:81例标本中,病例组和对照组的平均年龄分别为57.33±11.99岁和44.7±16.69岁,其中男性51例(63%)。我们发现39.5%的患者p53表达为III级,13.5%的患者p53表达为II级,41.9%的患者CEA表达为III级,9.8%的患者CEA表达为II级。此外,17.3%的人CD56表达阳性,7.4%的人SMAD4缺失。CCA组CEA表达(79.6%)与p53表达(74%)有显著相关性(p值< 0.05)。然而,SMAD4缺失和CD56表达无统计学意义。结论:基于免疫组化染色的CEA和p53的表达与CCA的发生有关。然而,SMAD4和CD56与CCA没有显著相关性。需要进一步的生存分析和敏感性和特异性评估来获得更全面的结果。
本文章由计算机程序翻译,如有差异,请以英文原文为准。
求助全文
约1分钟内获得全文 求助全文
来源期刊
Iranian Journal of Pathology
Iranian Journal of Pathology Medicine-Pathology and Forensic Medicine
CiteScore
2.00
自引率
0.00%
发文量
99
审稿时长
20 weeks
×
引用
GB/T 7714-2015
复制
MLA
复制
APA
复制
导出至
BibTeX EndNote RefMan NoteFirst NoteExpress
×
提示
您的信息不完整,为了账户安全,请先补充。
现在去补充
×
提示
您因"违规操作"
具体请查看互助需知
我知道了
×
提示
确定
请完成安全验证×
copy
已复制链接
快去分享给好友吧!
我知道了
右上角分享
点击右上角分享
0
联系我们:info@booksci.cn Book学术提供免费学术资源搜索服务,方便国内外学者检索中英文文献。致力于提供最便捷和优质的服务体验。 Copyright © 2023 布克学术 All rights reserved.
京ICP备2023020795号-1
ghs 京公网安备 11010802042870号
Book学术文献互助
Book学术文献互助群
群 号:604180095
Book学术官方微信