Surgical Treatment of Solid Pseudopapillary Tumor in Pediatric Patients: Two Case Reports and a Brief Narrative Review.

IF 0.6 Q4 ONCOLOGY
Case Reports in Oncological Medicine Pub Date : 2025-06-01 eCollection Date: 2025-01-01 DOI:10.1155/crom/8183273
Dario Talloa, Simona Cordaro, Giorgio Attinà, Stefano Mastrangelo, Alberto Romano, Anna Fregola, Palma Maurizi, Lorenzo Nanni, Antonio Ruggiero
{"title":"Surgical Treatment of Solid Pseudopapillary Tumor in Pediatric Patients: Two Case Reports and a Brief Narrative Review.","authors":"Dario Talloa, Simona Cordaro, Giorgio Attinà, Stefano Mastrangelo, Alberto Romano, Anna Fregola, Palma Maurizi, Lorenzo Nanni, Antonio Ruggiero","doi":"10.1155/crom/8183273","DOIUrl":null,"url":null,"abstract":"<p><p>Solid pseudopapillary neoplasms (SPNs) represent a tumor of the exocrine pancreas, belonging to the group of pancreatic cystic neoplasms. It is exceedingly uncommon for SPNs to manifest in extrapancreatic locations, such as the mesocolon, greater omentum, jejunum, and ovary. SPNs are considered very rare, constituting about 0.17%-2.5% of all pancreatic neoplasms and 6% of cystic pancreatic neoplasms. We present two pediatric cases of SPNs: one involving a 16-year-old female patient and the other a 14-year-old girl, both diagnosed and treated in our center with surgical resection. The experience of our center confirms that wide margin surgery, with associated metastasectomy if necessary, represents the therapy of choice for SPNs, ensuring effective control of the disease.</p>","PeriodicalId":9636,"journal":{"name":"Case Reports in Oncological Medicine","volume":"2025 ","pages":"8183273"},"PeriodicalIF":0.6000,"publicationDate":"2025-06-01","publicationTypes":"Journal Article","fieldsOfStudy":null,"isOpenAccess":false,"openAccessPdf":"https://www.ncbi.nlm.nih.gov/pmc/articles/PMC12145929/pdf/","citationCount":"0","resultStr":null,"platform":"Semanticscholar","paperid":null,"PeriodicalName":"Case Reports in Oncological Medicine","FirstCategoryId":"1085","ListUrlMain":"https://doi.org/10.1155/crom/8183273","RegionNum":0,"RegionCategory":null,"ArticlePicture":[],"TitleCN":null,"AbstractTextCN":null,"PMCID":null,"EPubDate":"2025/1/1 0:00:00","PubModel":"eCollection","JCR":"Q4","JCRName":"ONCOLOGY","Score":null,"Total":0}
引用次数: 0

Abstract

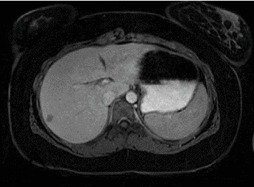
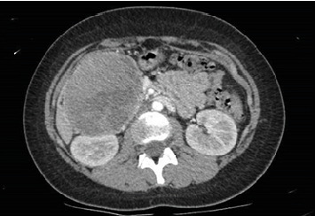
Solid pseudopapillary neoplasms (SPNs) represent a tumor of the exocrine pancreas, belonging to the group of pancreatic cystic neoplasms. It is exceedingly uncommon for SPNs to manifest in extrapancreatic locations, such as the mesocolon, greater omentum, jejunum, and ovary. SPNs are considered very rare, constituting about 0.17%-2.5% of all pancreatic neoplasms and 6% of cystic pancreatic neoplasms. We present two pediatric cases of SPNs: one involving a 16-year-old female patient and the other a 14-year-old girl, both diagnosed and treated in our center with surgical resection. The experience of our center confirms that wide margin surgery, with associated metastasectomy if necessary, represents the therapy of choice for SPNs, ensuring effective control of the disease.

Abstract Image

Abstract Image

小儿实性假乳头状瘤的外科治疗:两例报告及简要回顾。
实性假乳头状肿瘤(spn)是胰腺外分泌的一种肿瘤,属于胰腺囊性肿瘤。在胰腺外的部位,如结肠系膜、大网膜、空肠和卵巢出现spn是非常罕见的。spn被认为非常罕见,约占所有胰腺肿瘤的0.17%-2.5%,占囊性胰腺肿瘤的6%。我们报告了两例小儿SPNs病例:一名16岁的女性患者和另一名14岁的女孩,均在我中心诊断并接受手术切除治疗。本中心的经验证实,大切缘手术和必要时的转移性切除是SPNs的治疗选择,可确保疾病得到有效控制。
本文章由计算机程序翻译,如有差异,请以英文原文为准。
求助全文
约1分钟内获得全文 求助全文
来源期刊
自引率
0.00%
发文量
11
审稿时长
16 weeks
期刊介绍: Case Reports in Oncological Medicine is a peer-reviewed, Open Access journal that publishes case reports and case series related to breast cancer, lung cancer, gastrointestinal cancer, skin cancer, head and neck cancer, paediatric oncology, neurooncology as well as genitourinary cancer.
×
引用
GB/T 7714-2015
复制
MLA
复制
APA
复制
导出至
BibTeX EndNote RefMan NoteFirst NoteExpress
×
提示
您的信息不完整,为了账户安全,请先补充。
现在去补充
×
提示
您因"违规操作"
具体请查看互助需知
我知道了
×
提示
确定
请完成安全验证×
copy
已复制链接
快去分享给好友吧!
我知道了
右上角分享
点击右上角分享
0
联系我们:info@booksci.cn Book学术提供免费学术资源搜索服务,方便国内外学者检索中英文文献。致力于提供最便捷和优质的服务体验。 Copyright © 2023 布克学术 All rights reserved.
京ICP备2023020795号-1
ghs 京公网安备 11010802042870号
Book学术文献互助
Book学术文献互助群
群 号:604180095
Book学术官方微信