Primary Mediastinal Large B-cell Lymphoma: A Diagnostic Conundrum.

IF 0.7 Q4 ONCOLOGY
Case Reports in Oncology Pub Date : 2025-05-14 eCollection Date: 2025-01-01 DOI:10.1159/000545931
Yazan Alrefai, Shruti Wadhwani, Nikita Wadhwani, Ayrton Bangolo, Jason Mizrahi, Tatyana Feldman
{"title":"Primary Mediastinal Large B-cell Lymphoma: A Diagnostic Conundrum.","authors":"Yazan Alrefai, Shruti Wadhwani, Nikita Wadhwani, Ayrton Bangolo, Jason Mizrahi, Tatyana Feldman","doi":"10.1159/000545931","DOIUrl":null,"url":null,"abstract":"<p><strong>Introduction: </strong>Primary mediastinal large B-cell lymphoma (PMBCL) is a rare and aggressive non-Hodgkin lymphoma originating from mediastinal thymic B cells. Its peculiar molecular signature assists in differentiating it from other subtypes of non-Hodgkin lymphoma.</p><p><strong>Case report: </strong>We present a rare case of PMBCL in a 39-year-old male with a bulky mediastinal mass that resulted in superior vena cava thrombosis and cardiac tamponade. Diagnostic discordance between histopathological and molecular data led to a delay in interception of this entity. Histopathology findings were suggestive of spindle-cell neoplasm. Contrastingly, next-generation sequencing (NGS) and immunohistochemistry (IHC) yielded a molecular diagnosis of PMBCL. IHC staining revealed that the atypical cells were positive for CD20, PAX5, CD79a, CD30, CD23, MUM1, and weakly positive for MAL (myelin and lymphocyte) protein. NGS showed increased expression of TNFRSF8 and CD274 genes, which encode CD30 and PDL1 proteins, respectively. The patient was successfully treated with the R-Hyper-CVAD protocol without consolidative radiotherapy.</p><p><strong>Conclusion: </strong>Diagnosing PMBCL can be challenging because it lacks pathognomonic features and shares characteristics with other lymphomas. Molecular testing is of paramount importance in this context owing to its distinctive immunophenotype.</p>","PeriodicalId":9625,"journal":{"name":"Case Reports in Oncology","volume":"18 1","pages":"711-719"},"PeriodicalIF":0.7000,"publicationDate":"2025-05-14","publicationTypes":"Journal Article","fieldsOfStudy":null,"isOpenAccess":false,"openAccessPdf":"https://www.ncbi.nlm.nih.gov/pmc/articles/PMC12143869/pdf/","citationCount":"0","resultStr":null,"platform":"Semanticscholar","paperid":null,"PeriodicalName":"Case Reports in Oncology","FirstCategoryId":"1085","ListUrlMain":"https://doi.org/10.1159/000545931","RegionNum":0,"RegionCategory":null,"ArticlePicture":[],"TitleCN":null,"AbstractTextCN":null,"PMCID":null,"EPubDate":"2025/1/1 0:00:00","PubModel":"eCollection","JCR":"Q4","JCRName":"ONCOLOGY","Score":null,"Total":0}
引用次数: 0

Abstract

Introduction: Primary mediastinal large B-cell lymphoma (PMBCL) is a rare and aggressive non-Hodgkin lymphoma originating from mediastinal thymic B cells. Its peculiar molecular signature assists in differentiating it from other subtypes of non-Hodgkin lymphoma.

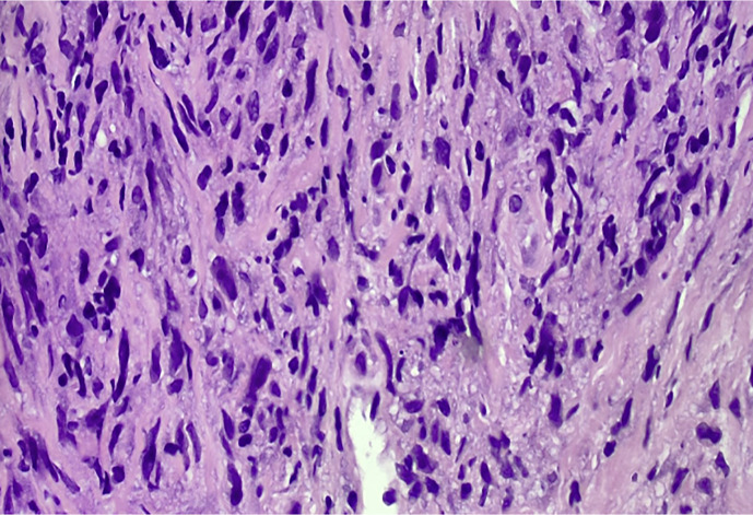
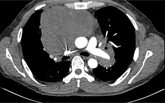
Case report: We present a rare case of PMBCL in a 39-year-old male with a bulky mediastinal mass that resulted in superior vena cava thrombosis and cardiac tamponade. Diagnostic discordance between histopathological and molecular data led to a delay in interception of this entity. Histopathology findings were suggestive of spindle-cell neoplasm. Contrastingly, next-generation sequencing (NGS) and immunohistochemistry (IHC) yielded a molecular diagnosis of PMBCL. IHC staining revealed that the atypical cells were positive for CD20, PAX5, CD79a, CD30, CD23, MUM1, and weakly positive for MAL (myelin and lymphocyte) protein. NGS showed increased expression of TNFRSF8 and CD274 genes, which encode CD30 and PDL1 proteins, respectively. The patient was successfully treated with the R-Hyper-CVAD protocol without consolidative radiotherapy.

Conclusion: Diagnosing PMBCL can be challenging because it lacks pathognomonic features and shares characteristics with other lymphomas. Molecular testing is of paramount importance in this context owing to its distinctive immunophenotype.

Abstract Image

Abstract Image

Abstract Image

原发性纵隔大b细胞淋巴瘤:一个诊断难题。
原发性纵隔大B细胞淋巴瘤(PMBCL)是一种罕见的侵袭性非霍奇金淋巴瘤,起源于纵隔胸腺B细胞。其独特的分子特征有助于将其与其他非霍奇金淋巴瘤亚型区分开来。病例报告:我们提出一个罕见的病例PMBCL在一个39岁的男性大块纵隔肿块,导致上腔静脉血栓形成和心脏填塞。组织病理学和分子数据之间的诊断不一致导致了该实体拦截的延迟。组织病理学结果提示梭形细胞肿瘤。相比之下,下一代测序(NGS)和免疫组织化学(IHC)得出PMBCL的分子诊断。免疫组化染色显示,非典型细胞CD20、PAX5、CD79a、CD30、CD23、MUM1阳性,髓磷脂和淋巴细胞(MAL)蛋白弱阳性。NGS显示编码CD30和PDL1蛋白的TNFRSF8和CD274基因表达增加。患者采用R-Hyper-CVAD方案成功治疗,无巩固放疗。结论:PMBCL的诊断具有挑战性,因为它缺乏病理特征,并且与其他淋巴瘤具有相同的特征。由于其独特的免疫表型,分子检测在这种情况下至关重要。
本文章由计算机程序翻译,如有差异,请以英文原文为准。
求助全文
约1分钟内获得全文 求助全文
来源期刊
CiteScore
1.40
自引率
12.50%
发文量
151
审稿时长
7 weeks
×
引用
GB/T 7714-2015
复制
MLA
复制
APA
复制
导出至
BibTeX EndNote RefMan NoteFirst NoteExpress
×
提示
您的信息不完整,为了账户安全,请先补充。
现在去补充
×
提示
您因"违规操作"
具体请查看互助需知
我知道了
×
提示
确定
请完成安全验证×
copy
已复制链接
快去分享给好友吧!
我知道了
右上角分享
点击右上角分享
0
联系我们:info@booksci.cn Book学术提供免费学术资源搜索服务,方便国内外学者检索中英文文献。致力于提供最便捷和优质的服务体验。 Copyright © 2023 布克学术 All rights reserved.
京ICP备2023020795号-1
ghs 京公网安备 11010802042870号
Book学术文献互助
Book学术文献互助群
群 号:604180095
Book学术官方微信