Encased by Infection: A Rare Case of Retroperitoneal Fibrosis Induced by Disseminated Cysticercosis.

IF 0.8 Q4 INFECTIOUS DISEASES
Case Reports in Infectious Diseases Pub Date : 2025-06-01 eCollection Date: 2025-01-01 DOI:10.1155/crdi/6221398
Lufeng Zhang, Shaoyang Zhan
{"title":"Encased by Infection: A Rare Case of Retroperitoneal Fibrosis Induced by Disseminated Cysticercosis.","authors":"Lufeng Zhang, Shaoyang Zhan","doi":"10.1155/crdi/6221398","DOIUrl":null,"url":null,"abstract":"<p><p>Cysticercosis refers to a disease caused by the larvae of <i>Taenia solium</i> parasitizing various tissues and organs of the human body. It is reported that cysticercosis is most commonly caused by the central nervous system, and retroperitoneal fibrosis is rare. We report a case of retroperitoneal fibrosis caused by cysticercosis and a urinary tract obstruction caused by retroperitoneal fibrosis, which was successfully relieved by transurethral stenting. The complex pathophysiological mechanism of cysticercosis-induced retroperitoneal fibrosis requires further study. In the diagnosis and treatment of the disease, it is very important to consider the patient's epidemiological history and the presence of parasite infection.</p>","PeriodicalId":9608,"journal":{"name":"Case Reports in Infectious Diseases","volume":"2025 ","pages":"6221398"},"PeriodicalIF":0.8000,"publicationDate":"2025-06-01","publicationTypes":"Journal Article","fieldsOfStudy":null,"isOpenAccess":false,"openAccessPdf":"https://www.ncbi.nlm.nih.gov/pmc/articles/PMC12145928/pdf/","citationCount":"0","resultStr":null,"platform":"Semanticscholar","paperid":null,"PeriodicalName":"Case Reports in Infectious Diseases","FirstCategoryId":"1085","ListUrlMain":"https://doi.org/10.1155/crdi/6221398","RegionNum":0,"RegionCategory":null,"ArticlePicture":[],"TitleCN":null,"AbstractTextCN":null,"PMCID":null,"EPubDate":"2025/1/1 0:00:00","PubModel":"eCollection","JCR":"Q4","JCRName":"INFECTIOUS DISEASES","Score":null,"Total":0}
引用次数: 0

Abstract

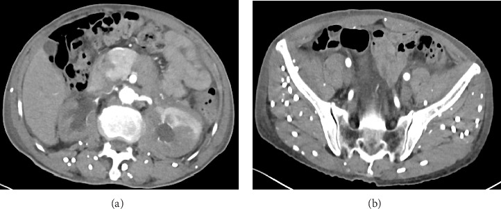
Cysticercosis refers to a disease caused by the larvae of Taenia solium parasitizing various tissues and organs of the human body. It is reported that cysticercosis is most commonly caused by the central nervous system, and retroperitoneal fibrosis is rare. We report a case of retroperitoneal fibrosis caused by cysticercosis and a urinary tract obstruction caused by retroperitoneal fibrosis, which was successfully relieved by transurethral stenting. The complex pathophysiological mechanism of cysticercosis-induced retroperitoneal fibrosis requires further study. In the diagnosis and treatment of the disease, it is very important to consider the patient's epidemiological history and the presence of parasite infection.

Abstract Image

Abstract Image

感染包围:弥散性囊虫病致腹膜后纤维化1例。
囊虫病是指猪带绦虫幼虫寄生于人体各组织器官而引起的一种疾病。据报道,囊虫病最常由中枢神经系统引起,腹膜后纤维化是罕见的。我们报告一例由囊虫病引起的腹膜后纤维化和腹膜后纤维化引起的尿路阻塞,并通过经尿道支架置入术成功缓解。囊虫所致腹膜后纤维化复杂的病理生理机制有待进一步研究。在该病的诊断和治疗中,考虑患者的流行病学史和寄生虫感染的存在是非常重要的。
本文章由计算机程序翻译,如有差异,请以英文原文为准。
求助全文
约1分钟内获得全文 求助全文
来源期刊
自引率
0.00%
发文量
64
审稿时长
13 weeks
×
引用
GB/T 7714-2015
复制
MLA
复制
APA
复制
导出至
BibTeX EndNote RefMan NoteFirst NoteExpress
×
提示
您的信息不完整,为了账户安全,请先补充。
现在去补充
×
提示
您因"违规操作"
具体请查看互助需知
我知道了
×
提示
确定
请完成安全验证×
copy
已复制链接
快去分享给好友吧!
我知道了
右上角分享
点击右上角分享
0
联系我们:info@booksci.cn Book学术提供免费学术资源搜索服务,方便国内外学者检索中英文文献。致力于提供最便捷和优质的服务体验。 Copyright © 2023 布克学术 All rights reserved.
京ICP备2023020795号-1
ghs 京公网安备 11010802042870号
Book学术文献互助
Book学术文献互助群
群 号:604180095
Book学术官方微信