KRAS/NRAS variants and copy number alterations prognostically stratify patients with sinonasal melanoma.

IF 2.9 Q1 PATHOLOGY
Laura Libera, Nora Sahnane, Mario Turri-Zanoni, Fabiana Pettenon, Deborah Marchiori, Paolo Battaglia, Alberto Daniele Arosio, Daniela Furlan, Maurizio Bignami, Paolo Castelnuovo, Fausto Sessa, Carla Facco, Michele Cerati, Stefano La Rosa
{"title":"<i>KRAS/NRAS</i> variants and copy number alterations prognostically stratify patients with sinonasal melanoma.","authors":"Laura Libera, Nora Sahnane, Mario Turri-Zanoni, Fabiana Pettenon, Deborah Marchiori, Paolo Battaglia, Alberto Daniele Arosio, Daniela Furlan, Maurizio Bignami, Paolo Castelnuovo, Fausto Sessa, Carla Facco, Michele Cerati, Stefano La Rosa","doi":"10.32074/1591-951X-1088","DOIUrl":null,"url":null,"abstract":"<p><p>Sino-nasal mucosal melanoma (SN-MM) is an aggressive and rare form of melanoma arising from mucosal melanocytes with pathogenesis unrelated to sun exposure. Conversely to cutaneous melanoma (CM), the molecular bases underling SN-MM development and progression are unclear, and no molecular predictive markers have been identified yet. To better define the molecular landscape of SN-MM, a retrospective series of 37 SN-MMs from 31 patients was analysed for both somatic mutations and cytogenetic alterations. The somatic mutation analysis identified the presence of a driver gene pathogenic variant in 54% of cases. In detail, mutually exclusive <i>NRAS</i> mutations were found in 42% of cases, <i>KRAS</i> mutations in 6%, and <i>KIT</i> mutations in 6% of cases. Remarkably, no <i>BRAF</i> mutations were detected. Patients with <i>NRAS</i>-mutated/<i>KRAS</i>-wild type (wt) melanomas showed better outcome than patients with <i>NRAS</i>-wt/<i>KRAS</i>-mutated melanomas, which were associated with multiple recurrences at local or regional sites. On the other hand, focusing on genomic alterations, copy number variants (loss of 1p36, loss of 3p/3q) were identified in 19% of SN-MMs, which showed poor overall survival and short disease-free survival with early metastatic dissemination. This work describes a new integrated characterization of both single nucleotide variants and, for the first time, genomic alteration in SN-MM, providing a new insight into molecular bases of these neoplasms and prompting further efforts for personalized clinical protocols according to tumour aggressiveness.</p>","PeriodicalId":45893,"journal":{"name":"PATHOLOGICA","volume":"117 2","pages":"121-130"},"PeriodicalIF":2.9000,"publicationDate":"2025-04-01","publicationTypes":"Journal Article","fieldsOfStudy":null,"isOpenAccess":false,"openAccessPdf":"https://www.ncbi.nlm.nih.gov/pmc/articles/PMC12142291/pdf/","citationCount":"0","resultStr":null,"platform":"Semanticscholar","paperid":null,"PeriodicalName":"PATHOLOGICA","FirstCategoryId":"1085","ListUrlMain":"https://doi.org/10.32074/1591-951X-1088","RegionNum":0,"RegionCategory":null,"ArticlePicture":[],"TitleCN":null,"AbstractTextCN":null,"PMCID":null,"EPubDate":"","PubModel":"","JCR":"Q1","JCRName":"PATHOLOGY","Score":null,"Total":0}
引用次数: 0

Abstract

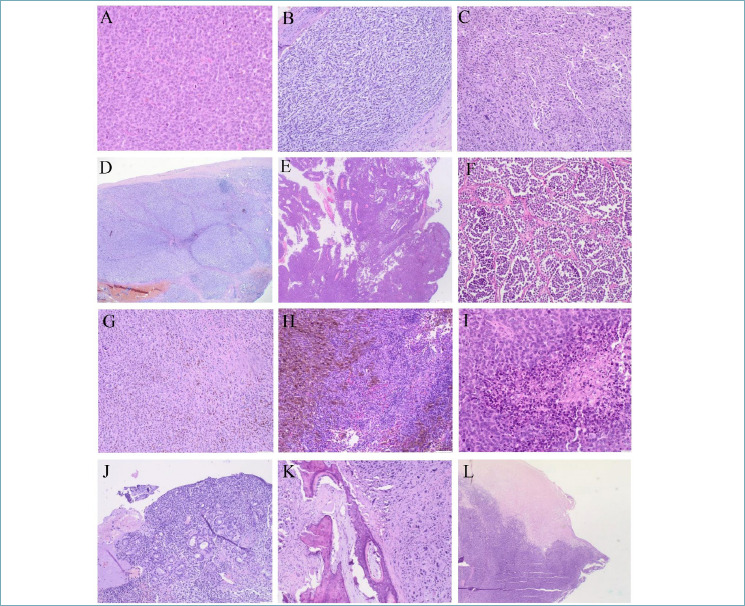
Sino-nasal mucosal melanoma (SN-MM) is an aggressive and rare form of melanoma arising from mucosal melanocytes with pathogenesis unrelated to sun exposure. Conversely to cutaneous melanoma (CM), the molecular bases underling SN-MM development and progression are unclear, and no molecular predictive markers have been identified yet. To better define the molecular landscape of SN-MM, a retrospective series of 37 SN-MMs from 31 patients was analysed for both somatic mutations and cytogenetic alterations. The somatic mutation analysis identified the presence of a driver gene pathogenic variant in 54% of cases. In detail, mutually exclusive NRAS mutations were found in 42% of cases, KRAS mutations in 6%, and KIT mutations in 6% of cases. Remarkably, no BRAF mutations were detected. Patients with NRAS-mutated/KRAS-wild type (wt) melanomas showed better outcome than patients with NRAS-wt/KRAS-mutated melanomas, which were associated with multiple recurrences at local or regional sites. On the other hand, focusing on genomic alterations, copy number variants (loss of 1p36, loss of 3p/3q) were identified in 19% of SN-MMs, which showed poor overall survival and short disease-free survival with early metastatic dissemination. This work describes a new integrated characterization of both single nucleotide variants and, for the first time, genomic alteration in SN-MM, providing a new insight into molecular bases of these neoplasms and prompting further efforts for personalized clinical protocols according to tumour aggressiveness.

Abstract Image

Abstract Image

Abstract Image

KRAS/NRAS变异和拷贝数改变对鼻窦黑色素瘤患者的预后分层有影响。
鼻黏膜黑色素瘤(Sino-nasal muc粘膜melanoma, SN-MM)是一种罕见的恶性黑色素瘤,发生于粘膜黑色素细胞,其发病机制与日晒无关。与皮肤黑色素瘤(CM)相反,SN-MM发生和发展的分子基础尚不清楚,尚未发现分子预测标记物。为了更好地定义SN-MM的分子结构,我们对31例患者的37例SN-MM进行了回顾性分析,以确定体细胞突变和细胞遗传学改变。体细胞突变分析发现54%的病例存在驱动基因致病变异。具体来说,42%的病例发现互斥的NRAS突变,6%的病例发现KRAS突变,6%的病例发现KIT突变。值得注意的是,没有检测到BRAF突变。nras -突变型/ kras -野生型(wt)黑色素瘤患者的预后优于NRAS-wt/ kras -突变型黑色素瘤患者,后者与局部或区域多次复发相关。另一方面,关注基因组改变,在19%的sn - mm中发现拷贝数变异(丢失1p36,丢失3p/3q),这表明总生存期差,无病生存期短,早期转移传播。这项工作首次描述了SN-MM的单核苷酸变异和基因组改变的新的综合特征,为这些肿瘤的分子基础提供了新的见解,并根据肿瘤的侵袭性进一步推动个性化临床方案的努力。
本文章由计算机程序翻译,如有差异,请以英文原文为准。
求助全文
约1分钟内获得全文 求助全文
来源期刊
PATHOLOGICA
PATHOLOGICA PATHOLOGY-
CiteScore
5.90
自引率
5.70%
发文量
108
×
引用
GB/T 7714-2015
复制
MLA
复制
APA
复制
导出至
BibTeX EndNote RefMan NoteFirst NoteExpress
×
提示
您的信息不完整,为了账户安全,请先补充。
现在去补充
×
提示
您因"违规操作"
具体请查看互助需知
我知道了
×
提示
确定
请完成安全验证×
copy
已复制链接
快去分享给好友吧!
我知道了
右上角分享
点击右上角分享
0
联系我们:info@booksci.cn Book学术提供免费学术资源搜索服务,方便国内外学者检索中英文文献。致力于提供最便捷和优质的服务体验。 Copyright © 2023 布克学术 All rights reserved.
京ICP备2023020795号-1
ghs 京公网安备 11010802042870号
Book学术文献互助
Book学术文献互助群
群 号:604180095
Book学术官方微信