Ventriculoperitoneal shunt catheter migration to the pulmonary artery: A rare case report.

IF 1.3 Q3 RADIOLOGY, NUCLEAR MEDICINE & MEDICAL IMAGING
Journal of Clinical Imaging Science Pub Date : 2025-05-02 eCollection Date: 2025-01-01 DOI:10.25259/JCIS_21_2025
Jie Tan, Zhuo Li, Zhijun Li, Peng Yan
{"title":"Ventriculoperitoneal shunt catheter migration to the pulmonary artery: A rare case report.","authors":"Jie Tan, Zhuo Li, Zhijun Li, Peng Yan","doi":"10.25259/JCIS_21_2025","DOIUrl":null,"url":null,"abstract":"<p><p>Ventriculoperitoneal (VP) shunts are commonly used to treat hydrocephalus by diverting cerebrospinal fluid from the ventricles to the peritoneal cavity. Migration of the VP shunt into the heart and pulmonary artery is a rare complication. Herein, we described a 67-year-old man with a VP shunt catheter that migrated through the venous system into the pulmonary circulation, highlighting early diagnosis with imaging and symptoms.</p>","PeriodicalId":15512,"journal":{"name":"Journal of Clinical Imaging Science","volume":"15 ","pages":"15"},"PeriodicalIF":1.3000,"publicationDate":"2025-05-02","publicationTypes":"Journal Article","fieldsOfStudy":null,"isOpenAccess":false,"openAccessPdf":"https://www.ncbi.nlm.nih.gov/pmc/articles/PMC12134811/pdf/","citationCount":"0","resultStr":null,"platform":"Semanticscholar","paperid":null,"PeriodicalName":"Journal of Clinical Imaging Science","FirstCategoryId":"1085","ListUrlMain":"https://doi.org/10.25259/JCIS_21_2025","RegionNum":0,"RegionCategory":null,"ArticlePicture":[],"TitleCN":null,"AbstractTextCN":null,"PMCID":null,"EPubDate":"2025/1/1 0:00:00","PubModel":"eCollection","JCR":"Q3","JCRName":"RADIOLOGY, NUCLEAR MEDICINE & MEDICAL IMAGING","Score":null,"Total":0}
引用次数: 0

Abstract

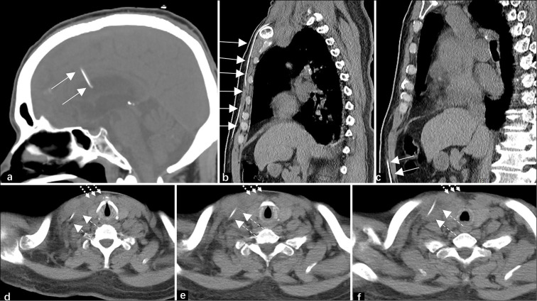
Ventriculoperitoneal (VP) shunts are commonly used to treat hydrocephalus by diverting cerebrospinal fluid from the ventricles to the peritoneal cavity. Migration of the VP shunt into the heart and pulmonary artery is a rare complication. Herein, we described a 67-year-old man with a VP shunt catheter that migrated through the venous system into the pulmonary circulation, highlighting early diagnosis with imaging and symptoms.

Abstract Image

Abstract Image

Abstract Image

脑室-腹膜分流导管移至肺动脉:罕见病例报告。
脑室-腹膜(VP)分流术通常用于脑积水的治疗,将脑脊液从脑室转移到腹膜腔。副静脉分流移入心脏和肺动脉是一种罕见的并发症。在此,我们描述了一位67岁的男性患者,他的VP分流导管通过静脉系统进入肺循环,强调了早期诊断的影像学和症状。
本文章由计算机程序翻译,如有差异,请以英文原文为准。
求助全文
约1分钟内获得全文 求助全文
来源期刊
Journal of Clinical Imaging Science
Journal of Clinical Imaging Science RADIOLOGY, NUCLEAR MEDICINE & MEDICAL IMAGING-
CiteScore
2.00
自引率
0.00%
发文量
65
期刊介绍: The Journal of Clinical Imaging Science (JCIS) is an open access peer-reviewed journal committed to publishing high-quality articles in the field of Imaging Science. The journal aims to present Imaging Science and relevant clinical information in an understandable and useful format. The journal is owned and published by the Scientific Scholar. Audience Our audience includes Radiologists, Researchers, Clinicians, medical professionals and students. Review process JCIS has a highly rigorous peer-review process that makes sure that manuscripts are scientifically accurate, relevant, novel and important. Authors disclose all conflicts, affiliations and financial associations such that the published content is not biased.
×
引用
GB/T 7714-2015
复制
MLA
复制
APA
复制
导出至
BibTeX EndNote RefMan NoteFirst NoteExpress
×
提示
您的信息不完整,为了账户安全,请先补充。
现在去补充
×
提示
您因"违规操作"
具体请查看互助需知
我知道了
×
提示
确定
请完成安全验证×
copy
已复制链接
快去分享给好友吧!
我知道了
右上角分享
点击右上角分享
0
联系我们:info@booksci.cn Book学术提供免费学术资源搜索服务,方便国内外学者检索中英文文献。致力于提供最便捷和优质的服务体验。 Copyright © 2023 布克学术 All rights reserved.
京ICP备2023020795号-1
ghs 京公网安备 11010802042870号
Book学术文献互助
Book学术文献互助群
群 号:604180095
Book学术官方微信