Renal replacement lipomatosis as a rare presentation of long-standing nephrolithiasis.

IF 1.3 Q3 RADIOLOGY, NUCLEAR MEDICINE & MEDICAL IMAGING
Journal of Clinical Imaging Science Pub Date : 2025-05-13 eCollection Date: 2025-01-01 DOI:10.25259/JCIS_52_2025
Bibek Gurung, Sumeet Karna, Ashok Raj Pant, Sushil Dhakal
{"title":"Renal replacement lipomatosis as a rare presentation of long-standing nephrolithiasis.","authors":"Bibek Gurung, Sumeet Karna, Ashok Raj Pant, Sushil Dhakal","doi":"10.25259/JCIS_52_2025","DOIUrl":null,"url":null,"abstract":"<p><p>Renal replacement lipomatosis (RRL), as described by the word, is characterized by abnormal proliferation of the fatty tissue and replacement of renal parenchyma by fat with atrophy of renal parenchyma. This rare condition is mainly attributed to a long-standing disease such as lithiasis. The patient usually presents with non-specific abdominal pain of chronic duration, and imaging is necessary to confirm the diagnosis. Here, we present the case of total RRL presented at our center, diagnosed with ultrasonography, and computerized tomography of kidneys, along with contributing factors and its course of treatment.</p>","PeriodicalId":15512,"journal":{"name":"Journal of Clinical Imaging Science","volume":"15 ","pages":"17"},"PeriodicalIF":1.3000,"publicationDate":"2025-05-13","publicationTypes":"Journal Article","fieldsOfStudy":null,"isOpenAccess":false,"openAccessPdf":"https://www.ncbi.nlm.nih.gov/pmc/articles/PMC12134880/pdf/","citationCount":"0","resultStr":null,"platform":"Semanticscholar","paperid":null,"PeriodicalName":"Journal of Clinical Imaging Science","FirstCategoryId":"1085","ListUrlMain":"https://doi.org/10.25259/JCIS_52_2025","RegionNum":0,"RegionCategory":null,"ArticlePicture":[],"TitleCN":null,"AbstractTextCN":null,"PMCID":null,"EPubDate":"2025/1/1 0:00:00","PubModel":"eCollection","JCR":"Q3","JCRName":"RADIOLOGY, NUCLEAR MEDICINE & MEDICAL IMAGING","Score":null,"Total":0}
引用次数: 0

Abstract

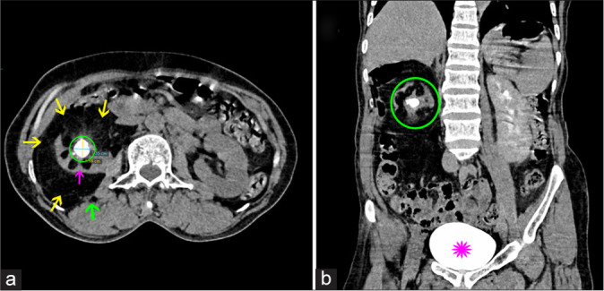
Renal replacement lipomatosis (RRL), as described by the word, is characterized by abnormal proliferation of the fatty tissue and replacement of renal parenchyma by fat with atrophy of renal parenchyma. This rare condition is mainly attributed to a long-standing disease such as lithiasis. The patient usually presents with non-specific abdominal pain of chronic duration, and imaging is necessary to confirm the diagnosis. Here, we present the case of total RRL presented at our center, diagnosed with ultrasonography, and computerized tomography of kidneys, along with contributing factors and its course of treatment.

Abstract Image

Abstract Image

Abstract Image

肾脏替代脂肪瘤病是长期肾结石的罕见表现。
肾替代脂肪瘤病(Renal replacement lipomatosis, RRL)顾名思义,其特征是脂肪组织异常增生,肾实质被脂肪替代,同时肾实质萎缩。这种罕见的情况主要是由于一种长期存在的疾病,如结石。患者通常表现为慢性的非特异性腹痛,需要影像学检查来确诊。在这里,我们报告在我们中心提出的完全性肾盂肾盂肾盂肾盂肾盂肾盂肾盂肾盂肾盂肾盂肾盂肾盂肾盂肾盂肾盂肾盂肾盂肾盂。
本文章由计算机程序翻译,如有差异,请以英文原文为准。
求助全文
约1分钟内获得全文 求助全文
来源期刊
Journal of Clinical Imaging Science
Journal of Clinical Imaging Science RADIOLOGY, NUCLEAR MEDICINE & MEDICAL IMAGING-
CiteScore
2.00
自引率
0.00%
发文量
65
期刊介绍: The Journal of Clinical Imaging Science (JCIS) is an open access peer-reviewed journal committed to publishing high-quality articles in the field of Imaging Science. The journal aims to present Imaging Science and relevant clinical information in an understandable and useful format. The journal is owned and published by the Scientific Scholar. Audience Our audience includes Radiologists, Researchers, Clinicians, medical professionals and students. Review process JCIS has a highly rigorous peer-review process that makes sure that manuscripts are scientifically accurate, relevant, novel and important. Authors disclose all conflicts, affiliations and financial associations such that the published content is not biased.
×
引用
GB/T 7714-2015
复制
MLA
复制
APA
复制
导出至
BibTeX EndNote RefMan NoteFirst NoteExpress
×
提示
您的信息不完整,为了账户安全,请先补充。
现在去补充
×
提示
您因"违规操作"
具体请查看互助需知
我知道了
×
提示
确定
请完成安全验证×
copy
已复制链接
快去分享给好友吧!
我知道了
右上角分享
点击右上角分享
0
联系我们:info@booksci.cn Book学术提供免费学术资源搜索服务,方便国内外学者检索中英文文献。致力于提供最便捷和优质的服务体验。 Copyright © 2023 布克学术 All rights reserved.
京ICP备2023020795号-1
ghs 京公网安备 11010802042870号
Book学术文献互助
Book学术文献互助群
群 号:604180095
Book学术官方微信