Evaluation of the effect of nano-hydroxyapatite/silica gel bone graft and/or hemodialysate paste on the regeneration and nano-mechanical properties of calvarial bone in gammairradiated albino rats.

IF 1.8
Noha S Zein, Sara El Moshy, Mohammed Khashaba, Eman M F El-Maghraby, Engy R Rashed, Dalia M Abdel-Hamid
{"title":"Evaluation of the effect of nano-hydroxyapatite/silica gel bone graft and/or hemodialysate paste on the regeneration and nano-mechanical properties of calvarial bone in gammairradiated albino rats.","authors":"Noha S Zein, Sara El Moshy, Mohammed Khashaba, Eman M F El-Maghraby, Engy R Rashed, Dalia M Abdel-Hamid","doi":"10.1007/s10006-025-01413-8","DOIUrl":null,"url":null,"abstract":"<p><strong>Purpose: </strong>Evaluating the effect of synthetic nano-hydroxyapatite/silica gel bone substitute and/or hemodialysate on gamma irradiated bone regeneration and bone nano-mechanical properties in rat model.</p><p><strong>Methods: </strong>Seventy adult male Wistar albino rats (total of 70 defects, 1 defect/rat) were randomly divided into five groups (14 rats/group); 4 irradiated groups; control (Ir-C) without any treatment, NanoBone<sup>®</sup>-treated (Ir-N), Solcoseryl<sup>®</sup>-treated (Ir-S), NanoBone<sup>®</sup> + Solcoseryl<sup>®</sup>-treated (Ir-NS) groups, and one non-irradiated NanoBone<sup>®</sup> + Solcoseryl<sup>®</sup>-treated (Nr-NS) group. Each rat's calvarium was subjected to a single dose of gamma radiation (12 Gy) followed by a single critical-sized defect creation. Defects were then filled with the assigned treatments except the Ir-C group. Rats were euthanized after 4 weeks. Hematoxylin and Eosin, Masson's Trichrome staining and nano-indentation were performed for histologic and nano-mechanical properties assessment of specimens.</p><p><strong>Results: </strong>Scattered thin new bone trabeculae with randomly arranged fine collagen fibrils and extravasated blood were evident in Ir-C group, while thicker new bone trabeculae, well-organized collagen fibers and new blood vessels were observed in all treated groups. Ir-C group showed the lowest significant bone area percent, nano-hardness and indentation modulus values, while Nr-NS group possessed the highest significant percent and values. Ir-C group showed the highest significant indentation modulus to nano-hardness ratio followed by Ir-S group, while the lowest ratios were obtained by the rest of the groups with no significance.</p><p><strong>Conclusions: </strong>The combination of synthetic nano-hydroxyapatite/silica gel bone substitute and hemodialysate enhanced the quality and quantity of regenerated gamma-irradiated rats' bones.</p><p><strong>Clinical trial number: </strong>Not applicable.</p>","PeriodicalId":520733,"journal":{"name":"Oral and maxillofacial surgery","volume":"29 1","pages":"116"},"PeriodicalIF":1.8000,"publicationDate":"2025-06-04","publicationTypes":"Journal Article","fieldsOfStudy":null,"isOpenAccess":false,"openAccessPdf":"https://www.ncbi.nlm.nih.gov/pmc/articles/PMC12134040/pdf/","citationCount":"0","resultStr":null,"platform":"Semanticscholar","paperid":null,"PeriodicalName":"Oral and maxillofacial surgery","FirstCategoryId":"1085","ListUrlMain":"https://doi.org/10.1007/s10006-025-01413-8","RegionNum":0,"RegionCategory":null,"ArticlePicture":[],"TitleCN":null,"AbstractTextCN":null,"PMCID":null,"EPubDate":"","PubModel":"","JCR":"","JCRName":"","Score":null,"Total":0}
引用次数: 0

Abstract

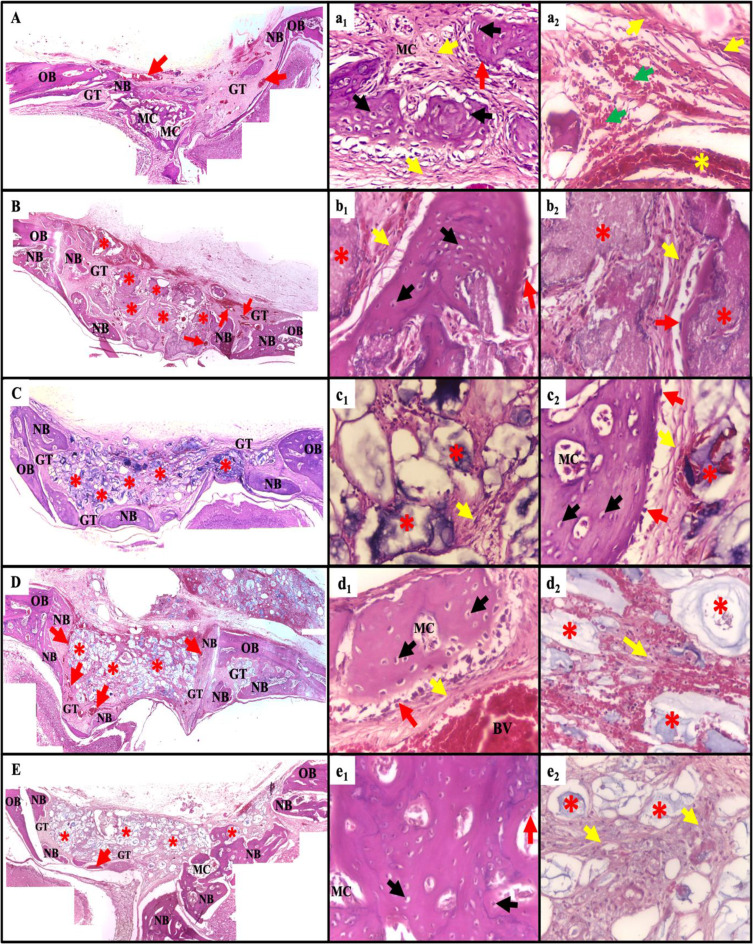
Purpose: Evaluating the effect of synthetic nano-hydroxyapatite/silica gel bone substitute and/or hemodialysate on gamma irradiated bone regeneration and bone nano-mechanical properties in rat model.

Methods: Seventy adult male Wistar albino rats (total of 70 defects, 1 defect/rat) were randomly divided into five groups (14 rats/group); 4 irradiated groups; control (Ir-C) without any treatment, NanoBone®-treated (Ir-N), Solcoseryl®-treated (Ir-S), NanoBone® + Solcoseryl®-treated (Ir-NS) groups, and one non-irradiated NanoBone® + Solcoseryl®-treated (Nr-NS) group. Each rat's calvarium was subjected to a single dose of gamma radiation (12 Gy) followed by a single critical-sized defect creation. Defects were then filled with the assigned treatments except the Ir-C group. Rats were euthanized after 4 weeks. Hematoxylin and Eosin, Masson's Trichrome staining and nano-indentation were performed for histologic and nano-mechanical properties assessment of specimens.

Results: Scattered thin new bone trabeculae with randomly arranged fine collagen fibrils and extravasated blood were evident in Ir-C group, while thicker new bone trabeculae, well-organized collagen fibers and new blood vessels were observed in all treated groups. Ir-C group showed the lowest significant bone area percent, nano-hardness and indentation modulus values, while Nr-NS group possessed the highest significant percent and values. Ir-C group showed the highest significant indentation modulus to nano-hardness ratio followed by Ir-S group, while the lowest ratios were obtained by the rest of the groups with no significance.

Conclusions: The combination of synthetic nano-hydroxyapatite/silica gel bone substitute and hemodialysate enhanced the quality and quantity of regenerated gamma-irradiated rats' bones.

Clinical trial number: Not applicable.

Abstract Image

Abstract Image

Abstract Image

纳米羟基磷灰石/硅胶骨移植物和/或血液透析液膏剂对γ辐射白化大鼠颅骨再生和纳米力学性能的影响。
目的:评价合成纳米羟基磷灰石/硅胶骨替代物和/或血液透析液对γ辐照大鼠骨再生和骨纳米力学性能的影响。方法:70只成年雄性Wistar白化大鼠(共70只缺陷,每只1只缺陷)随机分为5组(14只/组);4个辐照组;未经任何处理的对照组(Ir-C)、NanoBone®处理组(Ir-N)、Solcoseryl®处理组(Ir-S)、NanoBone®+ Solcoseryl®处理组(Ir-NS)和一个未辐照的NanoBone®+ Solcoseryl®处理组(Nr-NS)。每只大鼠的颅骨受到单剂量的γ辐射(12 Gy),然后产生单个临界尺寸的缺陷。然后用指定的处理方法填充缺陷,除了Ir-C组。4周后对大鼠实施安乐死。采用苏木精和伊红染色、马松三色染色和纳米压痕法对样品进行组织学和纳米力学性能评估。结果:Ir-C组新生骨小梁散在,骨小梁薄,胶原纤维细排列随意,血流外渗;各治疗组新生骨小梁变粗,胶原纤维组织良好,新生血管形成。Ir-C组骨面积百分比、纳米硬度和压痕模量显著值最低,Nr-NS组骨面积百分比和压痕模量显著值最高。压痕模量与纳米硬度之比以Ir-C组最高,其次为Ir-S组,其余各组压痕模量与纳米硬度之比最低,差异无统计学意义。结论:合成纳米羟基磷灰石/硅胶骨替代物与血液透析液联合使用可提高γ辐照大鼠再生骨的质量和数量。临床试验号:不适用。
本文章由计算机程序翻译,如有差异,请以英文原文为准。
求助全文
约1分钟内获得全文 求助全文
来源期刊
自引率
0.00%
发文量
0
×
引用
GB/T 7714-2015
复制
MLA
复制
APA
复制
导出至
BibTeX EndNote RefMan NoteFirst NoteExpress
×
提示
您的信息不完整,为了账户安全,请先补充。
现在去补充
×
提示
您因"违规操作"
具体请查看互助需知
我知道了
×
提示
确定
请完成安全验证×
copy
已复制链接
快去分享给好友吧!
我知道了
右上角分享
点击右上角分享
0
联系我们:info@booksci.cn Book学术提供免费学术资源搜索服务,方便国内外学者检索中英文文献。致力于提供最便捷和优质的服务体验。 Copyright © 2023 布克学术 All rights reserved.
京ICP备2023020795号-1
ghs 京公网安备 11010802042870号
Book学术文献互助
Book学术文献互助群
群 号:604180095
Book学术官方微信