Surprising palpitation: An unexpected diagnosis of sarcoidosis.

IF 0.6 Q4 CARDIAC & CARDIOVASCULAR SYSTEMS
Hoda Raffiei Jelodar, Roxana Sadeghi, Reza Hamneshin Behbahani, Kimia Karimi Toudeshki
{"title":"Surprising palpitation: An unexpected diagnosis of sarcoidosis.","authors":"Hoda Raffiei Jelodar, Roxana Sadeghi, Reza Hamneshin Behbahani, Kimia Karimi Toudeshki","doi":"10.48305/arya.2024.42684.2968","DOIUrl":null,"url":null,"abstract":"<p><p>Sarcoidosis is a challenging disease characterized by the formation of granulomas in multiple organs. It presents with a variety of clinical symptoms, making diagnosis difficult for physicians. Myocardial involvement in sarcoidosis is rare, but it worsens prognosis and can lead to mortality. Physicians face challenges in diagnosing cardiac sarcoidosis due to its wide range of symptoms. Cardiac sarcoidosis that affects only the heart without involvement of other organs is extremely uncommon. In this case, we examine the scenario of a middle-aged man who experienced palpitations and was diagnosed with ventricular tachycardia. He remained in stable condition without any other clinical signs suggestive of sarcoidosis. This case highlights the importance of considering sarcoidosis as a potential diagnosis in patients presenting with palpitations and ventricular tachycardia on electrocardiogram, particularly when these symptoms are accompanied by sudden new-onset systolic dysfunction despite normal coronary arteries.</p>","PeriodicalId":46477,"journal":{"name":"ARYA Atherosclerosis","volume":"21 2","pages":"3-9"},"PeriodicalIF":0.6000,"publicationDate":"2025-01-01","publicationTypes":"Journal Article","fieldsOfStudy":null,"isOpenAccess":false,"openAccessPdf":"https://www.ncbi.nlm.nih.gov/pmc/articles/PMC12127765/pdf/","citationCount":"0","resultStr":null,"platform":"Semanticscholar","paperid":null,"PeriodicalName":"ARYA Atherosclerosis","FirstCategoryId":"1085","ListUrlMain":"https://doi.org/10.48305/arya.2024.42684.2968","RegionNum":0,"RegionCategory":null,"ArticlePicture":[],"TitleCN":null,"AbstractTextCN":null,"PMCID":null,"EPubDate":"","PubModel":"","JCR":"Q4","JCRName":"CARDIAC & CARDIOVASCULAR SYSTEMS","Score":null,"Total":0}
引用次数: 0

Abstract

Sarcoidosis is a challenging disease characterized by the formation of granulomas in multiple organs. It presents with a variety of clinical symptoms, making diagnosis difficult for physicians. Myocardial involvement in sarcoidosis is rare, but it worsens prognosis and can lead to mortality. Physicians face challenges in diagnosing cardiac sarcoidosis due to its wide range of symptoms. Cardiac sarcoidosis that affects only the heart without involvement of other organs is extremely uncommon. In this case, we examine the scenario of a middle-aged man who experienced palpitations and was diagnosed with ventricular tachycardia. He remained in stable condition without any other clinical signs suggestive of sarcoidosis. This case highlights the importance of considering sarcoidosis as a potential diagnosis in patients presenting with palpitations and ventricular tachycardia on electrocardiogram, particularly when these symptoms are accompanied by sudden new-onset systolic dysfunction despite normal coronary arteries.

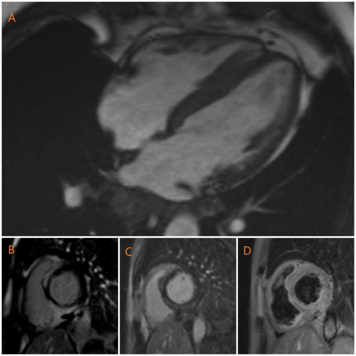
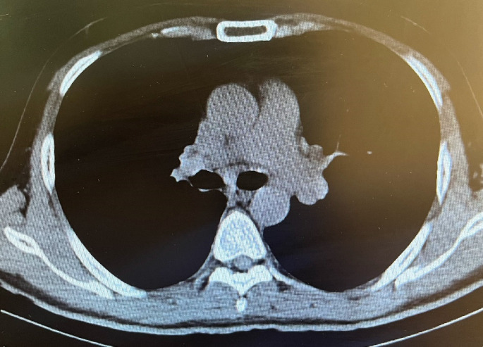
Abstract Image

Abstract Image

Abstract Image

惊心动魄:结节病的意外诊断。
结节病是一种具有挑战性的疾病,其特征是在多个器官形成肉芽肿。它表现出多种临床症状,使医生难以诊断。结节病累及心肌是罕见的,但它会恶化预后,并可导致死亡。由于其广泛的症状,医生在诊断心脏结节病时面临挑战。仅影响心脏而不累及其他器官的心脏结节病极为罕见。在这种情况下,我们检查一个中年男子谁经历心悸,并被诊断为室性心动过速的情况。病人病情稳定,无其他结节病的临床征象。本病例强调了在心电图上表现为心悸和室性心动过速的患者中考虑结节病作为潜在诊断的重要性,特别是当这些症状伴有突发性新发收缩功能障碍时,尽管冠状动脉正常。
本文章由计算机程序翻译,如有差异,请以英文原文为准。
求助全文
约1分钟内获得全文 求助全文
来源期刊
ARYA Atherosclerosis
ARYA Atherosclerosis CARDIAC & CARDIOVASCULAR SYSTEMS-
CiteScore
1.00
自引率
0.00%
发文量
0
审稿时长
18 weeks
×
引用
GB/T 7714-2015
复制
MLA
复制
APA
复制
导出至
BibTeX EndNote RefMan NoteFirst NoteExpress
×
提示
您的信息不完整,为了账户安全,请先补充。
现在去补充
×
提示
您因"违规操作"
具体请查看互助需知
我知道了
×
提示
确定
请完成安全验证×
copy
已复制链接
快去分享给好友吧!
我知道了
右上角分享
点击右上角分享
0
联系我们:info@booksci.cn Book学术提供免费学术资源搜索服务,方便国内外学者检索中英文文献。致力于提供最便捷和优质的服务体验。 Copyright © 2023 布克学术 All rights reserved.
京ICP备2023020795号-1
ghs 京公网安备 11010802042870号
Book学术文献互助
Book学术文献互助群
群 号:604180095
Book学术官方微信