Decoding leprosy: immune response, clinical manifestations and emerging diagnostic approaches.

IF 1.5 4区 医学 Q3 PUBLIC, ENVIRONMENTAL & OCCUPATIONAL HEALTH
Héctor Serrano-Coll, Lina Restrepo-Rivera, Yicenia Cuadros-Urrego, Nora Cardona-Castro
{"title":"Decoding leprosy: immune response, clinical manifestations and emerging diagnostic approaches.","authors":"Héctor Serrano-Coll, Lina Restrepo-Rivera, Yicenia Cuadros-Urrego, Nora Cardona-Castro","doi":"10.1093/trstmh/traf058","DOIUrl":null,"url":null,"abstract":"<p><p>Leprosy is an infectious disease characterized by a broad immunological spectrum, which underlies its diverse clinical presentations and contributes to the physical and emotional disabilities experienced by patients with leprosy. Understanding the immunopathogenic mechanisms of this disease is essential for interpreting clinical manifestations and conventional diagnostic tests and developing diagnostic strategies for leprosy detection. This review aims to provide an overview of the immune response, clinical features and emerging diagnostic approaches in leprosy.</p>","PeriodicalId":23218,"journal":{"name":"Transactions of The Royal Society of Tropical Medicine and Hygiene","volume":" ","pages":"988-998"},"PeriodicalIF":1.5000,"publicationDate":"2025-09-02","publicationTypes":"Journal Article","fieldsOfStudy":null,"isOpenAccess":false,"openAccessPdf":"https://www.ncbi.nlm.nih.gov/pmc/articles/PMC12403208/pdf/","citationCount":"0","resultStr":null,"platform":"Semanticscholar","paperid":null,"PeriodicalName":"Transactions of The Royal Society of Tropical Medicine and Hygiene","FirstCategoryId":"3","ListUrlMain":"https://doi.org/10.1093/trstmh/traf058","RegionNum":4,"RegionCategory":"医学","ArticlePicture":[],"TitleCN":null,"AbstractTextCN":null,"PMCID":null,"EPubDate":"","PubModel":"","JCR":"Q3","JCRName":"PUBLIC, ENVIRONMENTAL & OCCUPATIONAL HEALTH","Score":null,"Total":0}
引用次数: 0

Abstract

Leprosy is an infectious disease characterized by a broad immunological spectrum, which underlies its diverse clinical presentations and contributes to the physical and emotional disabilities experienced by patients with leprosy. Understanding the immunopathogenic mechanisms of this disease is essential for interpreting clinical manifestations and conventional diagnostic tests and developing diagnostic strategies for leprosy detection. This review aims to provide an overview of the immune response, clinical features and emerging diagnostic approaches in leprosy.

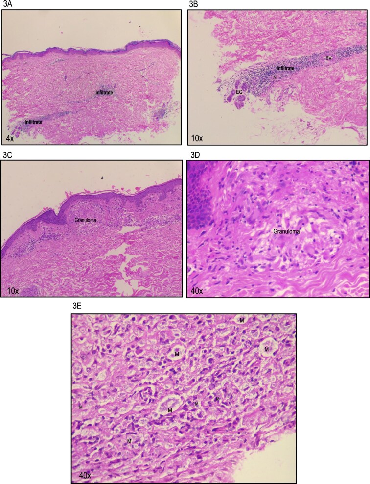
Abstract Image

Abstract Image

Abstract Image

解码麻风病:免疫反应,临床表现和新兴诊断方法。
麻风病是一种以广泛的免疫谱为特征的传染病,这是其多种临床表现的基础,并导致麻风病患者经历身体和情感残疾。了解这种疾病的免疫致病机制对于解释临床表现和常规诊断测试以及制定麻风检测的诊断策略至关重要。本文综述了麻风病的免疫反应、临床特征和新兴诊断方法。
本文章由计算机程序翻译,如有差异,请以英文原文为准。
求助全文
约1分钟内获得全文 求助全文
来源期刊
Transactions of The Royal Society of Tropical Medicine and Hygiene
Transactions of The Royal Society of Tropical Medicine and Hygiene 医学-公共卫生、环境卫生与职业卫生
CiteScore
4.00
自引率
9.10%
发文量
115
审稿时长
4-8 weeks
期刊介绍: Transactions of the Royal Society of Tropical Medicine and Hygiene publishes authoritative and impactful original, peer-reviewed articles and reviews on all aspects of tropical medicine.
×
引用
GB/T 7714-2015
复制
MLA
复制
APA
复制
导出至
BibTeX EndNote RefMan NoteFirst NoteExpress
×
提示
您的信息不完整,为了账户安全,请先补充。
现在去补充
×
提示
您因"违规操作"
具体请查看互助需知
我知道了
×
提示
确定
请完成安全验证×
copy
已复制链接
快去分享给好友吧!
我知道了
右上角分享
点击右上角分享
0
联系我们:info@booksci.cn Book学术提供免费学术资源搜索服务,方便国内外学者检索中英文文献。致力于提供最便捷和优质的服务体验。 Copyright © 2023 布克学术 All rights reserved.
京ICP备2023020795号-1
ghs 京公网安备 11010802042870号
Book学术文献互助
Book学术文献互助群
群 号:604180095
Book学术官方微信