Tactile Method for Orthograde Exploration of the Apical Foramen in Non-vital Permanent Teeth with Open Apices: Case Series.

IF 2 Q3 DENTISTRY, ORAL SURGERY & MEDICINE
Marlen Arroyo Tovar, Hugo Plascencia, Mariana Díaz, Andres Olvera Bravo, Mario Uribe, Gerardo Gascon, Rodrigo Solis
{"title":"Tactile Method for Orthograde Exploration of the Apical Foramen in Non-vital Permanent Teeth with Open Apices: Case Series.","authors":"Marlen Arroyo Tovar, Hugo Plascencia, Mariana Díaz, Andres Olvera Bravo, Mario Uribe, Gerardo Gascon, Rodrigo Solis","doi":"10.14744/eej.2025.28247","DOIUrl":null,"url":null,"abstract":"<p><p>This research assessed the interobserver agreement and precision of the tactile method (TM) during orthograde exploration of the apical terminal portion of permanent teeth with necrotic pulps and open apices. Nine non-vital teeth with incomplete root development from nine patients were included. Two observers analyzed preoperative cone beam computed tomography (CBCT) images to determine the distance between the incisal reference point and the apical terminal portion at four apical measurement points: buccal, lingual, distal, and mesial. The shortest of these points was considered the tomographic working length (TWL) and was used as control group. Subsequently, endodontic access and light chemo-mechanical brushing of the main canals were performed, followed by radiographic working length (RWL) establishment. Two different operators applied the TM using a #25 manual K-file (Dentsply Maillefer, Ballaigues, Switzerland) pre-curved in the tip at a 90° angle. The same four apical measurement points were explored, and the tactile method working length (TMWL) was determined. Interobserver agreement was assessed using Bland-Altman method. Wilcoxon signed-rank test and Student's t-test were used to analyze the correlation between methods (p≤0.05). The measurements conducted for TM and TWL showed a high level of agreement (0.486 and -0.144 mm, respectively). Compared with the control group (TWL) and TMWL, the RWL showed no significant correlation (<0.001 and 0.0068, respectively). TM demonstrated a reliable level of inter-observer agreement and could prove valuable when treating permanent teeth exhibiting non-vital pulps and open apices, especially in cases with radiographic evidence of external inflammatory apical resorption. (EEJ-2024-11-187).</p>","PeriodicalId":11860,"journal":{"name":"European Endodontic Journal","volume":"10 3","pages":"242-249"},"PeriodicalIF":2.0000,"publicationDate":"2025-05-01","publicationTypes":"Journal Article","fieldsOfStudy":null,"isOpenAccess":false,"openAccessPdf":"https://www.ncbi.nlm.nih.gov/pmc/articles/PMC12102769/pdf/","citationCount":"0","resultStr":null,"platform":"Semanticscholar","paperid":null,"PeriodicalName":"European Endodontic Journal","FirstCategoryId":"1085","ListUrlMain":"https://doi.org/10.14744/eej.2025.28247","RegionNum":0,"RegionCategory":null,"ArticlePicture":[],"TitleCN":null,"AbstractTextCN":null,"PMCID":null,"EPubDate":"","PubModel":"","JCR":"Q3","JCRName":"DENTISTRY, ORAL SURGERY & MEDICINE","Score":null,"Total":0}
引用次数: 0

Abstract

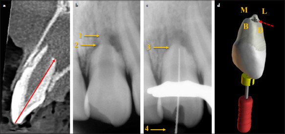
This research assessed the interobserver agreement and precision of the tactile method (TM) during orthograde exploration of the apical terminal portion of permanent teeth with necrotic pulps and open apices. Nine non-vital teeth with incomplete root development from nine patients were included. Two observers analyzed preoperative cone beam computed tomography (CBCT) images to determine the distance between the incisal reference point and the apical terminal portion at four apical measurement points: buccal, lingual, distal, and mesial. The shortest of these points was considered the tomographic working length (TWL) and was used as control group. Subsequently, endodontic access and light chemo-mechanical brushing of the main canals were performed, followed by radiographic working length (RWL) establishment. Two different operators applied the TM using a #25 manual K-file (Dentsply Maillefer, Ballaigues, Switzerland) pre-curved in the tip at a 90° angle. The same four apical measurement points were explored, and the tactile method working length (TMWL) was determined. Interobserver agreement was assessed using Bland-Altman method. Wilcoxon signed-rank test and Student's t-test were used to analyze the correlation between methods (p≤0.05). The measurements conducted for TM and TWL showed a high level of agreement (0.486 and -0.144 mm, respectively). Compared with the control group (TWL) and TMWL, the RWL showed no significant correlation (<0.001 and 0.0068, respectively). TM demonstrated a reliable level of inter-observer agreement and could prove valuable when treating permanent teeth exhibiting non-vital pulps and open apices, especially in cases with radiographic evidence of external inflammatory apical resorption. (EEJ-2024-11-187).

Abstract Image

Abstract Image

Abstract Image

非生命恒牙开尖根尖孔正畸探探的触觉方法:病例系列。
本研究评估了触觉法(TM)在牙髓坏死和牙尖开放的恒牙根尖末端正畸探查时观察者间的一致性和精度。9例患者9颗牙根发育不全的非生命牙。两名观察员分析了术前锥形束计算机断层扫描(CBCT)图像,以确定四个根尖测点(颊、舌、远端和中端)与切牙参考点之间的距离。其中最短的点被认为是层析工作长度(TWL),并作为对照组。随后,进行根管通道和主管光化学机械刷牙,然后进行x线摄影工作长度(RWL)的建立。两名不同的操作人员使用#25手动k形锉(Dentsply Maillefer, Ballaigues, Switzerland)将TM预先弯曲成90°角。探索相同的4个顶点测点,确定触觉方法工作长度(TMWL)。采用Bland-Altman方法评估观察者间的一致性。采用Wilcoxon sign -rank检验和Student’st检验分析方法间的相关性(p≤0.05)。对TM和TWL的测量结果显示高度一致(分别为0.486和-0.144 mm)。与对照组(TWL)和TMWL相比,RWL无显著相关性(
本文章由计算机程序翻译,如有差异,请以英文原文为准。
求助全文
约1分钟内获得全文 求助全文
来源期刊
European Endodontic Journal
European Endodontic Journal DENTISTRY, ORAL SURGERY & MEDICINE-
CiteScore
3.40
自引率
5.60%
发文量
25
×
引用
GB/T 7714-2015
复制
MLA
复制
APA
复制
导出至
BibTeX EndNote RefMan NoteFirst NoteExpress
×
提示
您的信息不完整,为了账户安全,请先补充。
现在去补充
×
提示
您因"违规操作"
具体请查看互助需知
我知道了
×
提示
确定
请完成安全验证×
copy
已复制链接
快去分享给好友吧!
我知道了
右上角分享
点击右上角分享
0
联系我们:info@booksci.cn Book学术提供免费学术资源搜索服务,方便国内外学者检索中英文文献。致力于提供最便捷和优质的服务体验。 Copyright © 2023 布克学术 All rights reserved.
京ICP备2023020795号-1
ghs 京公网安备 11010802042870号
Book学术文献互助
Book学术文献互助群
群 号:604180095
Book学术官方微信