Incidentally Detected High-Grade Follicular Derived Non-Anaplastic Thyroid Carcinoma on 68Ga-PSMA PET-CT.

IF 1.1 Q4 RADIOLOGY, NUCLEAR MEDICINE & MEDICAL IMAGING
Parneet Singh, Srijani Mandal, Amit Kumar Adhya, Girish Kumar Parida, Kanhaiyalal Agrawal
{"title":"Incidentally Detected High-Grade Follicular Derived Non-Anaplastic Thyroid Carcinoma on <sup>68</sup>Ga-PSMA PET-CT.","authors":"Parneet Singh, Srijani Mandal, Amit Kumar Adhya, Girish Kumar Parida, Kanhaiyalal Agrawal","doi":"10.4274/mirt.galenos.2025.46693","DOIUrl":null,"url":null,"abstract":"<p><p><sup>68</sup>Ga--prostate-specific membrane antigen (PSMA)-11 positron emission tomography/computed tomography (PET/CT) is currently routinely used for the evaluation of prostate cancer. However, due to its whole-body imaging capability, it can incidentally identify pathologies beyond prostate cancer. Herein, we describe a case of a 67-year-old man who was recently diagnosed with prostate carcinoma (PCa). The patient had a high PSMA-avid thyroid carcinoma detected incidentally during the initial staging of PCa with <sup>68</sup>Ga-PSMA-11 PET-CT.</p>","PeriodicalId":44681,"journal":{"name":"Molecular Imaging and Radionuclide Therapy","volume":"34 2","pages":"159-161"},"PeriodicalIF":1.1000,"publicationDate":"2025-06-03","publicationTypes":"Journal Article","fieldsOfStudy":null,"isOpenAccess":false,"openAccessPdf":"https://www.ncbi.nlm.nih.gov/pmc/articles/PMC12134968/pdf/","citationCount":"0","resultStr":null,"platform":"Semanticscholar","paperid":null,"PeriodicalName":"Molecular Imaging and Radionuclide Therapy","FirstCategoryId":"1085","ListUrlMain":"https://doi.org/10.4274/mirt.galenos.2025.46693","RegionNum":0,"RegionCategory":null,"ArticlePicture":[],"TitleCN":null,"AbstractTextCN":null,"PMCID":null,"EPubDate":"","PubModel":"","JCR":"Q4","JCRName":"RADIOLOGY, NUCLEAR MEDICINE & MEDICAL IMAGING","Score":null,"Total":0}
引用次数: 0

Abstract

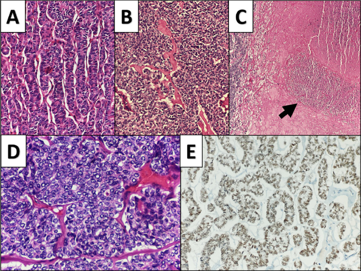
68Ga--prostate-specific membrane antigen (PSMA)-11 positron emission tomography/computed tomography (PET/CT) is currently routinely used for the evaluation of prostate cancer. However, due to its whole-body imaging capability, it can incidentally identify pathologies beyond prostate cancer. Herein, we describe a case of a 67-year-old man who was recently diagnosed with prostate carcinoma (PCa). The patient had a high PSMA-avid thyroid carcinoma detected incidentally during the initial staging of PCa with 68Ga-PSMA-11 PET-CT.

Abstract Image

Abstract Image

偶然在68Ga-PSMA PET-CT上发现高级别滤泡性非间变性甲状腺癌。
68Ga—前列腺特异性膜抗原(PSMA)-11正电子发射断层扫描/计算机断层扫描(PET/CT)目前常规用于评估前列腺癌。然而,由于其全身成像能力,它可以偶然地识别前列腺癌以外的病理。在此,我们描述一个病例67岁的男子谁是最近被诊断为前列腺癌(PCa)。68Ga-PSMA-11 PET-CT在前列腺癌初始阶段偶然发现高psma -甲状腺癌。
本文章由计算机程序翻译,如有差异,请以英文原文为准。
求助全文
约1分钟内获得全文 求助全文
来源期刊
Molecular Imaging and Radionuclide Therapy
Molecular Imaging and Radionuclide Therapy RADIOLOGY, NUCLEAR MEDICINE & MEDICAL IMAGING-
CiteScore
1.30
自引率
0.00%
发文量
50
期刊介绍: Molecular Imaging and Radionuclide Therapy (Mol Imaging Radionucl Ther, MIRT) is publishes original research articles, invited reviews, editorials, short communications, letters, consensus statements, guidelines and case reports with a literature review on the topic, in the field of molecular imaging, multimodality imaging, nuclear medicine, radionuclide therapy, radiopharmacy, medical physics, dosimetry and radiobiology.
×
引用
GB/T 7714-2015
复制
MLA
复制
APA
复制
导出至
BibTeX EndNote RefMan NoteFirst NoteExpress
×
提示
您的信息不完整,为了账户安全,请先补充。
现在去补充
×
提示
您因"违规操作"
具体请查看互助需知
我知道了
×
提示
确定
请完成安全验证×
copy
已复制链接
快去分享给好友吧!
我知道了
右上角分享
点击右上角分享
0
联系我们:info@booksci.cn Book学术提供免费学术资源搜索服务,方便国内外学者检索中英文文献。致力于提供最便捷和优质的服务体验。 Copyright © 2023 布克学术 All rights reserved.
京ICP备2023020795号-1
ghs 京公网安备 11010802042870号
Book学术文献互助
Book学术文献互助群
群 号:604180095
Book学术官方微信