Histopathological Features of Nevus Sebaceous and Superimposed Skin Tumors.

IF 2 Q3 DERMATOLOGY
Journal of Skin Cancer Pub Date : 2025-05-26 eCollection Date: 2025-01-01 DOI:10.1155/jskc/3828133
Paridokht Karimian, Naz Zargar Javaheri, Kaveh Gharaei Nejad, Hojat Eftekhari, Elahe Rafiei, Rana Rafiei
{"title":"Histopathological Features of Nevus Sebaceous and Superimposed Skin Tumors.","authors":"Paridokht Karimian, Naz Zargar Javaheri, Kaveh Gharaei Nejad, Hojat Eftekhari, Elahe Rafiei, Rana Rafiei","doi":"10.1155/jskc/3828133","DOIUrl":null,"url":null,"abstract":"<p><p><b>Introduction:</b> Nevus sebaceous (NS) is a rare congenital hamartoma that may cause some concerns for parents. Benign skin tumors can develop in NS, although malignant transformations have occasionally been documented. This study aimed to investigate the histopathological characteristics of NS lesions in relation to sex, age, location, type, and any associated superimposed tumors. <b>Methods:</b> This retrospective cross-sectional study was conducted on the histopathologic reports of 60 patients with NS who were referred to our center between 2010 and 2022. Information, including sex, age, location of the lesion, and histopathological features of the NS lesion, was recorded. <b>Results:</b> The mean age of the patients was 24.52 ± 12.19 years, and 65.0% of the patients (39 cases) were men. Most of the lesions were observed on the scalp and face. Benign and malignant neoplasms were observed in 5% and 10% of patients, respectively. All the cases of malignant tumors (six cases) were identified as basal cell carcinoma, and three cases were benign tumors of syringocystadenoma papilliferum. Demodex infestation and apocrine gland dilatation were observed in 56.7% and 23.3% of patients, respectively. Benign neoplasms were significantly more frequent in women (<i>p</i>=0.039). In addition, malignant neoplasms were significantly more prevalent among patients aged ≥ 25 years (<i>p</i>=0.001). The frequencies of acanthosis and focal parakeratosis were higher in the scalp, and sebaceous hyperplasia was more common in the face (<i>p</i> < 0.05). <b>Conclusion:</b> Our study revealed that malignant tumors were more common than benign lesions in patients with NS. Benign neoplasms were more frequent in women. Malignant neoplasms were detected in patients aged more than 25 years.</p>","PeriodicalId":17172,"journal":{"name":"Journal of Skin Cancer","volume":"2025 ","pages":"3828133"},"PeriodicalIF":2.0000,"publicationDate":"2025-05-26","publicationTypes":"Journal Article","fieldsOfStudy":null,"isOpenAccess":false,"openAccessPdf":"https://www.ncbi.nlm.nih.gov/pmc/articles/PMC12129612/pdf/","citationCount":"0","resultStr":null,"platform":"Semanticscholar","paperid":null,"PeriodicalName":"Journal of Skin Cancer","FirstCategoryId":"1085","ListUrlMain":"https://doi.org/10.1155/jskc/3828133","RegionNum":0,"RegionCategory":null,"ArticlePicture":[],"TitleCN":null,"AbstractTextCN":null,"PMCID":null,"EPubDate":"2025/1/1 0:00:00","PubModel":"eCollection","JCR":"Q3","JCRName":"DERMATOLOGY","Score":null,"Total":0}
引用次数: 0

Abstract

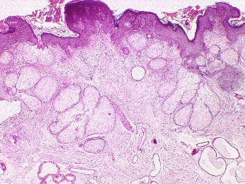
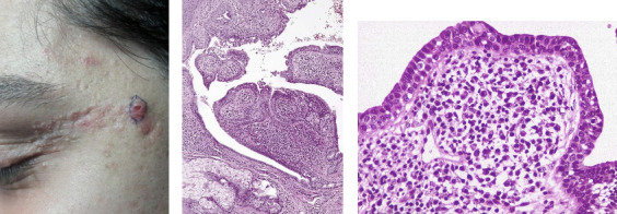
Introduction: Nevus sebaceous (NS) is a rare congenital hamartoma that may cause some concerns for parents. Benign skin tumors can develop in NS, although malignant transformations have occasionally been documented. This study aimed to investigate the histopathological characteristics of NS lesions in relation to sex, age, location, type, and any associated superimposed tumors. Methods: This retrospective cross-sectional study was conducted on the histopathologic reports of 60 patients with NS who were referred to our center between 2010 and 2022. Information, including sex, age, location of the lesion, and histopathological features of the NS lesion, was recorded. Results: The mean age of the patients was 24.52 ± 12.19 years, and 65.0% of the patients (39 cases) were men. Most of the lesions were observed on the scalp and face. Benign and malignant neoplasms were observed in 5% and 10% of patients, respectively. All the cases of malignant tumors (six cases) were identified as basal cell carcinoma, and three cases were benign tumors of syringocystadenoma papilliferum. Demodex infestation and apocrine gland dilatation were observed in 56.7% and 23.3% of patients, respectively. Benign neoplasms were significantly more frequent in women (p=0.039). In addition, malignant neoplasms were significantly more prevalent among patients aged ≥ 25 years (p=0.001). The frequencies of acanthosis and focal parakeratosis were higher in the scalp, and sebaceous hyperplasia was more common in the face (p < 0.05). Conclusion: Our study revealed that malignant tumors were more common than benign lesions in patients with NS. Benign neoplasms were more frequent in women. Malignant neoplasms were detected in patients aged more than 25 years.

Abstract Image

Abstract Image

皮脂腺痣及皮肤叠加瘤的组织病理学特征。
摘要:皮脂腺痣(NS)是一种罕见的先天性错形瘤,可能引起一些家长的担忧。良性皮肤肿瘤可发展为NS,尽管恶性转化偶有文献记载。本研究旨在探讨NS病变的组织病理学特征与性别、年龄、部位、类型和任何相关的叠加肿瘤的关系。方法:本回顾性横断面研究对2010 - 2022年间60例NS患者的组织病理学报告进行分析。记录包括性别、年龄、病变部位和NS病变的组织病理学特征等信息。结果:患者平均年龄24.52±12.19岁,男性39例,占65.0%。大多数病变发生在头皮和面部。良性肿瘤占5%,恶性肿瘤占10%。所有恶性肿瘤(6例)均为基底细胞癌,3例为良性乳头状囊腺瘤。其中蠕形螨侵害率为56.7%,大汗腺扩张率为23.3%。良性肿瘤在女性中更为常见(p=0.039)。此外,恶性肿瘤在年龄≥25岁的患者中更为普遍(p=0.001)。头皮棘层增生和局灶性角化不全发生率较高,面部皮脂腺增生发生率较高(p < 0.05)。结论:我们的研究表明,NS患者的恶性肿瘤多于良性病变。良性肿瘤在女性中更为常见。恶性肿瘤见于年龄大于25岁的患者。
本文章由计算机程序翻译,如有差异,请以英文原文为准。
求助全文
约1分钟内获得全文 求助全文
来源期刊
Journal of Skin Cancer
Journal of Skin Cancer DERMATOLOGY-
CiteScore
2.30
自引率
18.20%
发文量
12
审稿时长
21 weeks
期刊介绍: Journal of Skin Cancer is a peer-reviewed, Open Access journal that publishes clinical and translational research on the detection, diagnosis, prevention, and treatment of skin malignancies. The journal encourages the submission of original research articles, review articles, and clinical studies related to pathology, prognostic indicators and biomarkers, novel therapies, as well as drug sensitivity and resistance.
×
引用
GB/T 7714-2015
复制
MLA
复制
APA
复制
导出至
BibTeX EndNote RefMan NoteFirst NoteExpress
×
提示
您的信息不完整,为了账户安全,请先补充。
现在去补充
×
提示
您因"违规操作"
具体请查看互助需知
我知道了
×
提示
确定
请完成安全验证×
copy
已复制链接
快去分享给好友吧!
我知道了
右上角分享
点击右上角分享
0
联系我们:info@booksci.cn Book学术提供免费学术资源搜索服务,方便国内外学者检索中英文文献。致力于提供最便捷和优质的服务体验。 Copyright © 2023 布克学术 All rights reserved.
京ICP备2023020795号-1
ghs 京公网安备 11010802042870号
Book学术文献互助
Book学术文献互助群
群 号:604180095
Book学术官方微信