Digital Workflow for Odontogenic Cyst Decompression: Design and Fabrication of a Custom Removable Device: A Case Report.

IF 0.6 Q3 MEDICINE, GENERAL & INTERNAL
Clinical Medicine Insights. Case Reports Pub Date : 2025-05-28 eCollection Date: 2025-01-01 DOI:10.1177/11795476251342354
Ghada Bouslama, Aya Mtiri, Hajer Zidani, Lamia Oualha, Souha Ben Youssef
{"title":"Digital Workflow for Odontogenic Cyst Decompression: Design and Fabrication of a Custom Removable Device: A Case Report.","authors":"Ghada Bouslama, Aya Mtiri, Hajer Zidani, Lamia Oualha, Souha Ben Youssef","doi":"10.1177/11795476251342354","DOIUrl":null,"url":null,"abstract":"<p><p>Dentigerous cysts are the most common type of developmental odontogenic cysts. Multiple devices has been described for decompression. The current case report describes the use of a custom-made decompression appliance, designed through a digital workflow, in managing dentigerous cysts. A 7-year-old male patient with no prior medical history was referred to our oral surgery department due to swelling on the left side of the lower jaw. Upon intraoral examination and cone-beam computed tomography (CBCT), a provisional diagnosis of an inflammatory dentigerous cyst related to the impacted premolar was made. A digital decompression appliance was planned using EXOCAD (Exocad Gmbh, Darmstadt, Germany), and produced using a stereolithography (SLA) 3D printer. The appliance were delivered on the day of the cystostomy after extraction of the deciduous molar (tooth 85). In this report, the advancements in digital design technologies were explored enabling the creation of customized cyst decompression devices. Various stages of the design process were discussed, including 3D modeling, material selection, and the integration of digital workflows in the fabrication process. Additionally, the benefits of using such devices were addressed, including improved patient outcomes, enhanced precision in treatment, and the reduction of surgical complications.</p>","PeriodicalId":10357,"journal":{"name":"Clinical Medicine Insights. Case Reports","volume":"18 ","pages":"11795476251342354"},"PeriodicalIF":0.6000,"publicationDate":"2025-05-28","publicationTypes":"Journal Article","fieldsOfStudy":null,"isOpenAccess":false,"openAccessPdf":"https://www.ncbi.nlm.nih.gov/pmc/articles/PMC12123102/pdf/","citationCount":"0","resultStr":null,"platform":"Semanticscholar","paperid":null,"PeriodicalName":"Clinical Medicine Insights. Case Reports","FirstCategoryId":"1085","ListUrlMain":"https://doi.org/10.1177/11795476251342354","RegionNum":0,"RegionCategory":null,"ArticlePicture":[],"TitleCN":null,"AbstractTextCN":null,"PMCID":null,"EPubDate":"2025/1/1 0:00:00","PubModel":"eCollection","JCR":"Q3","JCRName":"MEDICINE, GENERAL & INTERNAL","Score":null,"Total":0}
引用次数: 0

Abstract

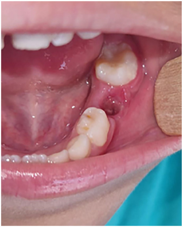
Dentigerous cysts are the most common type of developmental odontogenic cysts. Multiple devices has been described for decompression. The current case report describes the use of a custom-made decompression appliance, designed through a digital workflow, in managing dentigerous cysts. A 7-year-old male patient with no prior medical history was referred to our oral surgery department due to swelling on the left side of the lower jaw. Upon intraoral examination and cone-beam computed tomography (CBCT), a provisional diagnosis of an inflammatory dentigerous cyst related to the impacted premolar was made. A digital decompression appliance was planned using EXOCAD (Exocad Gmbh, Darmstadt, Germany), and produced using a stereolithography (SLA) 3D printer. The appliance were delivered on the day of the cystostomy after extraction of the deciduous molar (tooth 85). In this report, the advancements in digital design technologies were explored enabling the creation of customized cyst decompression devices. Various stages of the design process were discussed, including 3D modeling, material selection, and the integration of digital workflows in the fabrication process. Additionally, the benefits of using such devices were addressed, including improved patient outcomes, enhanced precision in treatment, and the reduction of surgical complications.

Abstract Image

Abstract Image

Abstract Image

牙源性囊肿减压的数字化工作流程:定制可移动装置的设计和制造:一例报告。
牙源性囊肿是最常见的发育性牙源性囊肿。已经描述了多种减压设备。目前的病例报告描述了通过数字工作流程设计的定制减压器在管理含牙囊肿中的使用。一名无病史的7岁男性患者因左侧下颚肿胀而被转介至口腔外科。经口腔内检查和锥形束计算机断层扫描(CBCT),初步诊断为与阻生前磨牙有关的炎症性牙性囊肿。使用EXOCAD公司(EXOCAD Gmbh, Darmstadt, Germany)设计了一种数字减压装置,并使用立体光刻(SLA) 3D打印机生产。该器械于第85颗乳牙拔除后膀胱造口当天交付。在本报告中,探讨了数字设计技术的进步,使定制囊肿减压装置的创建成为可能。讨论了设计过程的各个阶段,包括3D建模,材料选择以及在制造过程中集成数字工作流程。此外,使用这种设备的好处,包括改善患者的治疗效果,提高治疗精度,减少手术并发症。
本文章由计算机程序翻译,如有差异,请以英文原文为准。
求助全文
约1分钟内获得全文 求助全文
来源期刊
Clinical Medicine Insights. Case Reports
Clinical Medicine Insights. Case Reports MEDICINE, GENERAL & INTERNAL-
CiteScore
1.10
自引率
0.00%
发文量
57
审稿时长
8 weeks
×
引用
GB/T 7714-2015
复制
MLA
复制
APA
复制
导出至
BibTeX EndNote RefMan NoteFirst NoteExpress
×
提示
您的信息不完整,为了账户安全,请先补充。
现在去补充
×
提示
您因"违规操作"
具体请查看互助需知
我知道了
×
提示
确定
请完成安全验证×
copy
已复制链接
快去分享给好友吧!
我知道了
右上角分享
点击右上角分享
0
联系我们:info@booksci.cn Book学术提供免费学术资源搜索服务,方便国内外学者检索中英文文献。致力于提供最便捷和优质的服务体验。 Copyright © 2023 布克学术 All rights reserved.
京ICP备2023020795号-1
ghs 京公网安备 11010802042870号
Book学术文献互助
Book学术文献互助群
群 号:604180095
Book学术官方微信