Optimization of RfxCas13d Expression in Escherichia coli Host using Response Surface Methodology.

Q3 Biochemistry, Genetics and Molecular Biology
Sepideh Abbaszadeh, Shahin Eghbalsaied, Meysam Soleimani, Sadegh Khazalpour, Saeid Afshar
{"title":"Optimization of <i>RfxCas13d</i> Expression in <i>Escherichia coli</i> Host using Response Surface Methodology.","authors":"Sepideh Abbaszadeh, Shahin Eghbalsaied, Meysam Soleimani, Sadegh Khazalpour, Saeid Afshar","doi":"10.18502/ajmb.v17i2.18563","DOIUrl":null,"url":null,"abstract":"<p><strong>Background: </strong>RfxCas13d, a key member of the Cas13 family, plays a vital role in CRISPR-based diagnostics for RNA sequence detection and gene silencing. This study aimed to enhance <i>RfxCas13d</i> expression by optimizing key parameters using Response Surface Methodology (RSM).</p><p><strong>Methods: </strong>The plasmid pET28b-RfxCas13d-His (Addgene 141322) was introduced into BL21 (DE3) and Rosetta™ (DE3) strains. Initial expression tests were conducted, followed by RSM-guided optimization of factors such as isopropyl β-D-1-thiogalactopyranoside (IPTG) concentration, temperature, cell density at induction, and induction time in BL21 (DE3). Protein expression levels were quantified using ImageJ and AlphaEaseFC software to analyze band intensities.</p><p><strong>Results: </strong>BL21 (DE3) was selected for further optimization based on preliminary results. Analysis of 26 RSM-designed experiments revealed that temperature, induction time, IPTG concentration, and their interactions significantly influenced <i>RfxCas13d</i> expression. Optimal conditions were identified as 0.25 <i>mM</i> IPTG, an OD600 <i>nm</i> of 0.8 at induction, 37<i>°C</i>, and Overnight (ON) of induction. The regression model exhibited high accuracy, with a correlation coefficient of 0.97 and a p-value less than 0.05, confirming a strong linear relationship between predicted and observed values.</p><p><strong>Conclusion: </strong>This study highlights the significant impact of the four optimized factors on <i>RfxCas13d</i> expression. Under optimized conditions, a soluble protein concentration of 3.6 <i>mg</i>/100 <i>ml</i> cell culture was achieved after purification. It represents the first application of RSM for optimizing <i>RfxCas13d</i> expression, providing a foundation for further refinement of expression conditions. Continued use of RSM in future research will enhance the efficiency of RfxCas13d production for diagnostic and therapeutic applications.</p>","PeriodicalId":8669,"journal":{"name":"Avicenna journal of medical biotechnology","volume":"17 2","pages":"122-130"},"PeriodicalIF":0.0000,"publicationDate":"2025-04-01","publicationTypes":"Journal Article","fieldsOfStudy":null,"isOpenAccess":false,"openAccessPdf":"https://www.ncbi.nlm.nih.gov/pmc/articles/PMC12123183/pdf/","citationCount":"0","resultStr":null,"platform":"Semanticscholar","paperid":null,"PeriodicalName":"Avicenna journal of medical biotechnology","FirstCategoryId":"1085","ListUrlMain":"https://doi.org/10.18502/ajmb.v17i2.18563","RegionNum":0,"RegionCategory":null,"ArticlePicture":[],"TitleCN":null,"AbstractTextCN":null,"PMCID":null,"EPubDate":"","PubModel":"","JCR":"Q3","JCRName":"Biochemistry, Genetics and Molecular Biology","Score":null,"Total":0}
引用次数: 0

Abstract

Background: RfxCas13d, a key member of the Cas13 family, plays a vital role in CRISPR-based diagnostics for RNA sequence detection and gene silencing. This study aimed to enhance RfxCas13d expression by optimizing key parameters using Response Surface Methodology (RSM).

Methods: The plasmid pET28b-RfxCas13d-His (Addgene 141322) was introduced into BL21 (DE3) and Rosetta™ (DE3) strains. Initial expression tests were conducted, followed by RSM-guided optimization of factors such as isopropyl β-D-1-thiogalactopyranoside (IPTG) concentration, temperature, cell density at induction, and induction time in BL21 (DE3). Protein expression levels were quantified using ImageJ and AlphaEaseFC software to analyze band intensities.

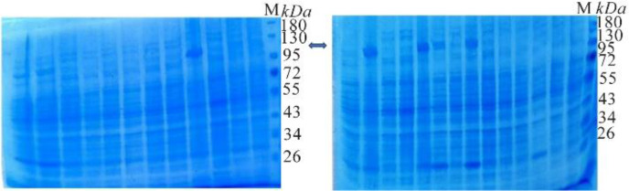
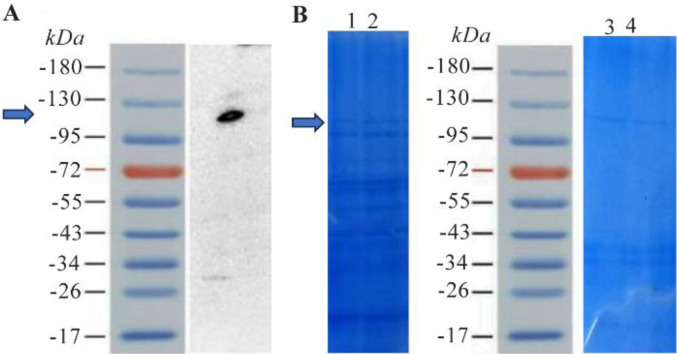
Results: BL21 (DE3) was selected for further optimization based on preliminary results. Analysis of 26 RSM-designed experiments revealed that temperature, induction time, IPTG concentration, and their interactions significantly influenced RfxCas13d expression. Optimal conditions were identified as 0.25 mM IPTG, an OD600 nm of 0.8 at induction, 37°C, and Overnight (ON) of induction. The regression model exhibited high accuracy, with a correlation coefficient of 0.97 and a p-value less than 0.05, confirming a strong linear relationship between predicted and observed values.

Conclusion: This study highlights the significant impact of the four optimized factors on RfxCas13d expression. Under optimized conditions, a soluble protein concentration of 3.6 mg/100 ml cell culture was achieved after purification. It represents the first application of RSM for optimizing RfxCas13d expression, providing a foundation for further refinement of expression conditions. Continued use of RSM in future research will enhance the efficiency of RfxCas13d production for diagnostic and therapeutic applications.

Abstract Image

Abstract Image

Abstract Image

响应面法优化RfxCas13d在大肠杆菌宿主中的表达
背景:RfxCas13d是Cas13家族的关键成员,在基于crispr的RNA序列检测和基因沉默诊断中起着至关重要的作用。本研究旨在利用响应面法(Response Surface Methodology, RSM)优化关键参数,增强RfxCas13d的表达。方法:将质粒pET28b-RfxCas13d-His (Addgene 141322)导入BL21 (DE3)和Rosetta™(DE3)菌株。进行初始表达试验,然后在BL21 (DE3)中以rsm为导向优化异丙基β- d -1-硫代半乳糖苷(IPTG)浓度、诱导温度、诱导细胞密度和诱导时间等因素。采用ImageJ和AlphaEaseFC软件定量蛋白表达水平,分析条带强度。结果:在初步结果的基础上,选择BL21 (DE3)进行进一步优化。对26个rsm设计的实验进行分析发现,温度、诱导时间、IPTG浓度及其相互作用显著影响RfxCas13d的表达。最佳条件为0.25 mM IPTG,诱导OD600 nm 0.8, 37°C,通宵(ON)诱导。回归模型具有较高的准确性,相关系数为0.97,p值小于0.05,证实预测值与实测值具有较强的线性关系。结论:本研究突出了四个优化因子对RfxCas13d表达的显著影响。在优化条件下,纯化后的细胞培养物可溶蛋白浓度为3.6 mg/100 ml。这是RSM在RfxCas13d表达优化中的首次应用,为进一步优化表达条件奠定了基础。在未来的研究中继续使用RSM将提高RfxCas13d的生产效率,用于诊断和治疗应用。
本文章由计算机程序翻译,如有差异,请以英文原文为准。
求助全文
约1分钟内获得全文 求助全文
来源期刊
Avicenna journal of medical biotechnology
Avicenna journal of medical biotechnology Biochemistry, Genetics and Molecular Biology-Biotechnology
CiteScore
2.90
自引率
0.00%
发文量
43
×
引用
GB/T 7714-2015
复制
MLA
复制
APA
复制
导出至
BibTeX EndNote RefMan NoteFirst NoteExpress
×
提示
您的信息不完整,为了账户安全,请先补充。
现在去补充
×
提示
您因"违规操作"
具体请查看互助需知
我知道了
×
提示
确定
请完成安全验证×
copy
已复制链接
快去分享给好友吧!
我知道了
右上角分享
点击右上角分享
0
联系我们:info@booksci.cn Book学术提供免费学术资源搜索服务,方便国内外学者检索中英文文献。致力于提供最便捷和优质的服务体验。 Copyright © 2023 布克学术 All rights reserved.
京ICP备2023020795号-1
ghs 京公网安备 11010802042870号
Book学术文献互助
Book学术文献互助群
群 号:604180095
Book学术官方微信