[Complication management of shaft fractures of the upper extremities : From revision surgery to rehabilitation].

Unfallchirurgie (Heidelberg, Germany) Pub Date : 2025-10-01 Epub Date: 2025-05-30 DOI:10.1007/s00113-025-01592-9
Laura A Hruby, Raffaela Morgenbesser, Florian Wichlas, Alexander Auffarth, Thomas Freude
{"title":"[Complication management of shaft fractures of the upper extremities : From revision surgery to rehabilitation].","authors":"Laura A Hruby, Raffaela Morgenbesser, Florian Wichlas, Alexander Auffarth, Thomas Freude","doi":"10.1007/s00113-025-01592-9","DOIUrl":null,"url":null,"abstract":"<p><p>The management of shaft fractures of the upper extremities is an integral part of trauma surgery in the clinical routine. While sport-associated injuries predominate in young adults, the incidence of osteoporotic fractures greatly increases in older patients. Despite established treatment strategies, complications such as wound healing disorders, infections, neurovascular injuries, malalignment, pseudarthrosis and implant failure are frequent. An effective complication management requires detailed knowledge of the morphological features of fractures, individual risk factors and differentiated revision strategies. With the presentation of two clinical cases, we aim to highlight the necessity of individualized treatment concepts. Due to the increasing number of war casualties transferred for secondary treatment to Central Europe, the likelihood of encountering unfamiliar injury patterns, such as blast or gunshot wounds, is rising. This development presents new challenges in daily clinical practice. Physiotherapeutic and occupational therapy support play a central role in achieving favorable functional outcomes following revision surgery for diaphyseal fractures of the upper extremities. In geriatric care, orthogeriatric concepts have significantly decreased mortality and improved mobilization as well as self-sufficiency among older patients. Managing patient expectations and providing close supervision throughout the rehabilitation process are decisive factors for successful recovery.</p>","PeriodicalId":75280,"journal":{"name":"Unfallchirurgie (Heidelberg, Germany)","volume":" ","pages":"767-774"},"PeriodicalIF":0.0000,"publicationDate":"2025-10-01","publicationTypes":"Journal Article","fieldsOfStudy":null,"isOpenAccess":false,"openAccessPdf":"https://www.ncbi.nlm.nih.gov/pmc/articles/PMC12454501/pdf/","citationCount":"0","resultStr":null,"platform":"Semanticscholar","paperid":null,"PeriodicalName":"Unfallchirurgie (Heidelberg, Germany)","FirstCategoryId":"1085","ListUrlMain":"https://doi.org/10.1007/s00113-025-01592-9","RegionNum":0,"RegionCategory":null,"ArticlePicture":[],"TitleCN":null,"AbstractTextCN":null,"PMCID":null,"EPubDate":"2025/5/30 0:00:00","PubModel":"Epub","JCR":"","JCRName":"","Score":null,"Total":0}
引用次数: 0

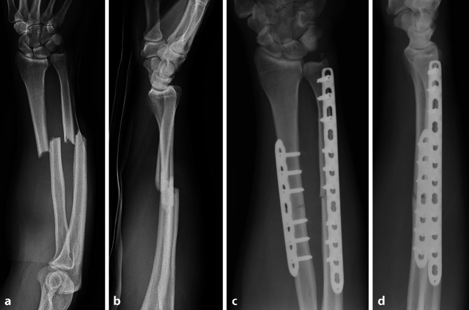
Abstract

The management of shaft fractures of the upper extremities is an integral part of trauma surgery in the clinical routine. While sport-associated injuries predominate in young adults, the incidence of osteoporotic fractures greatly increases in older patients. Despite established treatment strategies, complications such as wound healing disorders, infections, neurovascular injuries, malalignment, pseudarthrosis and implant failure are frequent. An effective complication management requires detailed knowledge of the morphological features of fractures, individual risk factors and differentiated revision strategies. With the presentation of two clinical cases, we aim to highlight the necessity of individualized treatment concepts. Due to the increasing number of war casualties transferred for secondary treatment to Central Europe, the likelihood of encountering unfamiliar injury patterns, such as blast or gunshot wounds, is rising. This development presents new challenges in daily clinical practice. Physiotherapeutic and occupational therapy support play a central role in achieving favorable functional outcomes following revision surgery for diaphyseal fractures of the upper extremities. In geriatric care, orthogeriatric concepts have significantly decreased mortality and improved mobilization as well as self-sufficiency among older patients. Managing patient expectations and providing close supervision throughout the rehabilitation process are decisive factors for successful recovery.

Abstract Image

Abstract Image

Abstract Image

上肢骨干骨折的并发症处理:从翻修手术到康复治疗。
上肢干性骨折的治疗是创伤外科的一个重要组成部分。虽然运动相关损伤在年轻人中占主导地位,但骨质疏松性骨折的发病率在老年患者中大大增加。尽管有既定的治疗策略,但并发症如伤口愈合障碍、感染、神经血管损伤、对齐不良、假关节和植入物失败是常见的。有效的并发症管理需要详细了解骨折的形态特征、个体危险因素和差异化的翻修策略。通过两个临床病例的介绍,我们旨在强调个体化治疗理念的必要性。由于越来越多的战争伤亡被转移到中欧接受二次治疗,遇到不熟悉的伤害模式,如爆炸或枪伤的可能性正在上升。这一发展给日常临床实践带来了新的挑战。物理治疗和职业治疗支持在上肢骨干骨折翻修手术后获得良好的功能预后方面发挥着核心作用。在老年护理方面,正老病概念显著降低了死亡率,改善了老年患者的活动能力和自给自足能力。在整个康复过程中,管理病人的期望和提供密切的监督是成功康复的决定性因素。
本文章由计算机程序翻译,如有差异,请以英文原文为准。
求助全文
约1分钟内获得全文 求助全文
来源期刊
自引率
0.00%
发文量
0
×
引用
GB/T 7714-2015
复制
MLA
复制
APA
复制
导出至
BibTeX EndNote RefMan NoteFirst NoteExpress
×
提示
您的信息不完整,为了账户安全,请先补充。
现在去补充
×
提示
您因"违规操作"
具体请查看互助需知
我知道了
×
提示
确定
请完成安全验证×
copy
已复制链接
快去分享给好友吧!
我知道了
右上角分享
点击右上角分享
0
联系我们:info@booksci.cn Book学术提供免费学术资源搜索服务,方便国内外学者检索中英文文献。致力于提供最便捷和优质的服务体验。 Copyright © 2023 布克学术 All rights reserved.
京ICP备2023020795号-1
ghs 京公网安备 11010802042870号
Book学术文献互助
Book学术文献互助群
群 号:604180095
Book学术官方微信