Prognostic markers in pheochromocytomas/paragangliomas: the role of histopathology, SDHB, MAML3 and MCM6 expression.

IF 3.5 2区 医学 Q1 Medicine
Emel Yaldır, Balça Begüm Cengiz, Osman Furkan Mülkem, Muzaffer Bilgin, Mustafa Fuat Açıkalın
{"title":"Prognostic markers in pheochromocytomas/paragangliomas: the role of histopathology, SDHB, MAML3 and MCM6 expression.","authors":"Emel Yaldır, Balça Begüm Cengiz, Osman Furkan Mülkem, Muzaffer Bilgin, Mustafa Fuat Açıkalın","doi":"10.1007/s40618-025-02610-8","DOIUrl":null,"url":null,"abstract":"<p><strong>Objective: </strong>There are currently no definitive prognostic markers that accurately predict malignant behavior in pheochromocytoma/paraganglioma (PCC/PGL). While metastasis develops in only 10-15% of adrenal-origin, this rate can rise up to 50% in those with extra-adrenal localization. This study aims to investigate the potential predictive effect of known histopathological features in PCC/PGL, alongside SDHB, S100, Ki-67 proliferation index, and the expression of MAML3 and MCM6 in predicting metastatic disease.</p><p><strong>Methods: </strong>The specimens of 71 patients who were diagnosed with PCC/PGL and underwent total excision between 2010 and 2021 were re-examined. Demographic, clinical, and histopathological data, as well as immunohistochemical results for Ki-67, S100, SDHB, MCM6, and MAML3, were recorded.</p><p><strong>Results: </strong>While distant organ metastasis was observed in 3.4% (n = 1/29) of PCC and 21.2% (n = 7/33) of head and neck PGL, this rate was found to be significantly higher at 66.7% (n = 6/9) in abdominal PGL (p < 0.001). No MAML3 overexpression was observed in any of the cases. Distant organ metastasis was more frequently detected in cases with MCM6 overexpression.</p><p><strong>Conclusions: </strong>Although there is still no definitive feature that predicts metastasis, in line with the literature, extra-adrenal localization, vascular invasion, capsular invasion, nuclear pleomorphism, hyperchromasia, and confluent necrosis were found to be associated with distant organ metastasis in our study. Additionally, in the multivariate analysis, larger tumor size (> 5.1 cm), the presence of > 3/10 HPF mitosis, and SDHB loss were associated with lower metastasis-free survival. While no conclusions could be drawn regarding MAML3, the prognostic value of MCM6 appears promising.</p>","PeriodicalId":48802,"journal":{"name":"Journal of Endocrinological Investigation","volume":" ","pages":"2077-2086"},"PeriodicalIF":3.5000,"publicationDate":"2025-09-01","publicationTypes":"Journal Article","fieldsOfStudy":null,"isOpenAccess":false,"openAccessPdf":"https://www.ncbi.nlm.nih.gov/pmc/articles/PMC12398435/pdf/","citationCount":"0","resultStr":null,"platform":"Semanticscholar","paperid":null,"PeriodicalName":"Journal of Endocrinological Investigation","FirstCategoryId":"3","ListUrlMain":"https://doi.org/10.1007/s40618-025-02610-8","RegionNum":2,"RegionCategory":"医学","ArticlePicture":[],"TitleCN":null,"AbstractTextCN":null,"PMCID":null,"EPubDate":"2025/5/30 0:00:00","PubModel":"Epub","JCR":"Q1","JCRName":"Medicine","Score":null,"Total":0}
引用次数: 0

Abstract

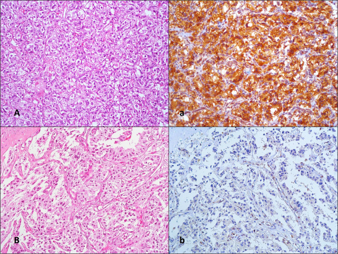
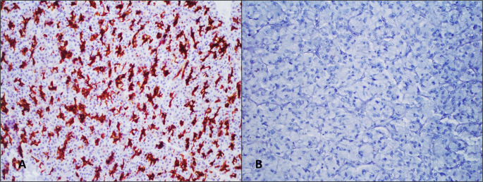
Objective: There are currently no definitive prognostic markers that accurately predict malignant behavior in pheochromocytoma/paraganglioma (PCC/PGL). While metastasis develops in only 10-15% of adrenal-origin, this rate can rise up to 50% in those with extra-adrenal localization. This study aims to investigate the potential predictive effect of known histopathological features in PCC/PGL, alongside SDHB, S100, Ki-67 proliferation index, and the expression of MAML3 and MCM6 in predicting metastatic disease.

Methods: The specimens of 71 patients who were diagnosed with PCC/PGL and underwent total excision between 2010 and 2021 were re-examined. Demographic, clinical, and histopathological data, as well as immunohistochemical results for Ki-67, S100, SDHB, MCM6, and MAML3, were recorded.

Results: While distant organ metastasis was observed in 3.4% (n = 1/29) of PCC and 21.2% (n = 7/33) of head and neck PGL, this rate was found to be significantly higher at 66.7% (n = 6/9) in abdominal PGL (p < 0.001). No MAML3 overexpression was observed in any of the cases. Distant organ metastasis was more frequently detected in cases with MCM6 overexpression.

Conclusions: Although there is still no definitive feature that predicts metastasis, in line with the literature, extra-adrenal localization, vascular invasion, capsular invasion, nuclear pleomorphism, hyperchromasia, and confluent necrosis were found to be associated with distant organ metastasis in our study. Additionally, in the multivariate analysis, larger tumor size (> 5.1 cm), the presence of > 3/10 HPF mitosis, and SDHB loss were associated with lower metastasis-free survival. While no conclusions could be drawn regarding MAML3, the prognostic value of MCM6 appears promising.

Abstract Image

Abstract Image

Abstract Image

嗜铬细胞瘤/副神经节瘤的预后标志物:组织病理学、SDHB、MAML3和MCM6表达的作用
目的:目前还没有明确的预后指标可以准确预测嗜铬细胞瘤/副神经节瘤(PCC/PGL)的恶性行为。虽然只有10-15%的肾上腺源性转移发生,但在肾上腺外定位的患者中,这一比例可上升至50%。本研究旨在探讨已知组织病理学特征在PCC/PGL中的潜在预测作用,以及SDHB、S100、Ki-67增殖指数、MAML3和MCM6的表达对转移性疾病的预测作用。方法:对2010 ~ 2021年间确诊为PCC/PGL并行全切除术的71例患者标本进行复查。记录人口统计学、临床和组织病理学数据,以及Ki-67、S100、SDHB、MCM6和MAML3的免疫组织化学结果。结果:3.4% (n = 1/29)的PCC和21.2% (n = 7/33)的头颈部PGL有远处器官转移,腹部PGL有66.7% (n = 6/9)的远处器官转移(p)。虽然目前还没有明确的特征可以预测转移,但根据文献,我们的研究发现肾上腺外定位、血管侵袭、囊膜侵袭、核多形性、高色素沉着和融合性坏死与远端器官转移有关。此外,在多变量分析中,较大的肿瘤大小(> 5.1 cm)、> 3/10 HPF有丝分裂的存在和SDHB丢失与较低的无转移生存率相关。虽然没有关于MAML3的结论,但MCM6的预后价值似乎很有希望。
本文章由计算机程序翻译,如有差异,请以英文原文为准。
求助全文
约1分钟内获得全文 求助全文
来源期刊
Journal of Endocrinological Investigation
Journal of Endocrinological Investigation ENDOCRINOLOGY & METABOLISM-
CiteScore
8.10
自引率
7.40%
发文量
242
期刊介绍: The Journal of Endocrinological Investigation is a well-established, e-only endocrine journal founded 36 years ago in 1978. It is the official journal of the Italian Society of Endocrinology (SIE), established in 1964. Other Italian societies in the endocrinology and metabolism field are affiliated to the journal: Italian Society of Andrology and Sexual Medicine, Italian Society of Obesity, Italian Society of Pediatric Endocrinology and Diabetology, Clinical Endocrinologists’ Association, Thyroid Association, Endocrine Surgical Units Association, Italian Society of Pharmacology.
×
引用
GB/T 7714-2015
复制
MLA
复制
APA
复制
导出至
BibTeX EndNote RefMan NoteFirst NoteExpress
×
提示
您的信息不完整,为了账户安全,请先补充。
现在去补充
×
提示
您因"违规操作"
具体请查看互助需知
我知道了
×
提示
确定
请完成安全验证×
copy
已复制链接
快去分享给好友吧!
我知道了
右上角分享
点击右上角分享
0
联系我们:info@booksci.cn Book学术提供免费学术资源搜索服务,方便国内外学者检索中英文文献。致力于提供最便捷和优质的服务体验。 Copyright © 2023 布克学术 All rights reserved.
京ICP备2023020795号-1
ghs 京公网安备 11010802042870号
Book学术文献互助
Book学术文献互助群
群 号:604180095
Book学术官方微信